症例・導⼊事例
※ご紹介する症例は臨床症例の一部を紹介したもので、全ての症例が同様な結果を示すわけではありません。
Low grade glioma(oligodendroglioma)
施設名: 金沢医科大学病院
執筆者: 放射線科 南 哲弥 先生、医療技術部診療放射線技術部門 平田 恵哉 先生
作成年月:2024年12月
※ 効能又は効果、用法及び用量、警告・禁忌を含む注意事項等情報等については、電子添文をご参照ください。
はじめに
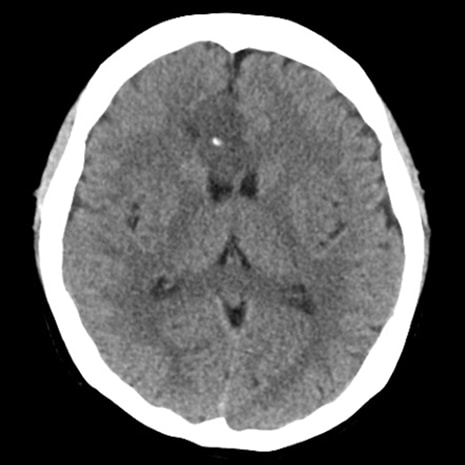
回転性めまいで救急搬送された患者。左上脱力あり。脳卒中を疑いCT/MRI検査したところ、右前頭葉に石灰化を伴う腫瘤を認めた。後日術前精査目的で造影MRI施行となった。
ガドビストを用いたMRI検査の方法
手順と撮像 Sequence Parameter
撮像パラメータ
表は横スクロールでご覧いただけます。
| 撮像名 | 撮像シーケ ンス | 撮像 時間 (min: sec) | TE (msec) | TR (msec) | TI (msec) | FA (deg) | Flipback (有無) | Fat Sat (種類) | ETL (数) | P-MRI (Reduction Factor) | NEX (加算 回数) | k-space |
|---|---|---|---|---|---|---|---|---|---|---|---|---|
| DWI TRA | single shot SE EPI | 1:19 | 76 | 3100 | ー | 90 | 無 | Fat Sat (chess) | EPI factor 160 | 3 | 5 | single shot |
| T2WI TRA | TSE | 1:38 | 95 | 4200 | ー | 150 | 無 | ー | 11 | 3 | 2 | cartesian linear |
| T1WI TRA | T1 FLAIR | 1:40 | 9.2 | 2100 | 894 | 130 | 無 | ー | 6 | 3 | 1 | cartesian centric |
| FLAIR TRA | TSE IR | 2:50 | 92 | 12000 | 2800 | 150 | 無 | ー | 18 | 3 | 1 | cartesian linear |
| DSC-Perfu sion | single shot FID EPI | 1:46 | 40 | 1980 | ー | 90 | 無 | Fat Sat (chess) | EPI factor 116 | 3 | 1 | single shot |
| +CE 3D TRA T1 | 3D MPRAGE | 3:39 | 2.92 | 1570 | 800 | 9 | 無 | ー | ー | 2 | 1 | cartesian linear |
| +CE T1WI TRA | T1 FLAIR | 1:40 | 9.2 | 2100 | 894 | 130 | 無 | ー | 6 | 3 | 1 | cartesian centric |
| MRS | CSI SE 2D | 5:06 | 30/135 | 2000 | ー | 90 | 無 | Weak water sup | ー | ー | 1 | ー |
表は横スクロールでご覧いただけます。
| 撮像名 | 面内分解能 (mm) | Slice厚 (mm) | FOV (mm) | Rectan gular FOV(%) | 位相方向 (step数) | リード方向 (matrix数) | 実scan % | Slice Gap (mm) | Slice 枚数 | 3D pertition (数) | 3D実ス キャン (%) | 3D over samplin g(%) |
|---|---|---|---|---|---|---|---|---|---|---|---|---|
| DWI TRA | 1.38×1.38 | 5 | 220 | 100 | AP (100%) 160 | RL 160 | recon 320 | 1.5 | 25 | ー | ー | ー |
| T2WI TRA | 0.66x0.43 | 5 | 220 | 90.6 | RL(65%) 302 | AP 512 | recon 512 | 1.5 | 25 | ー | ー | ー |
| T1WI TRA | 0.72x0.57 | 5 | 220 | 90.6 | RL(80%) 278 | AP 384 | recon 384 | 1.5 | 25 | ー | ー | ー |
| FLAIR TRA | 0.76x0.57 | 5 | 220 | 90.6 | RL(75%) 261 | AP 384 | recon 384 | 1.5 | 25 | ー | ー | ー |
| DSC-Perfu sion | 1.80x1.80 | 1 | 230 | 90 | AP (100%) 128 | RL 128 | recon 256 | 1.5 | 25 | ー | ー | ー |
| +CE 3D TRA T1 | 0.90x0.90 | 1 | 230 | 100 | RL(100%) 256 | AP 256 | recon 512 | 0 | 192 | 192 | 100 | 16.7 |
| +CE T1WI TRA | 0.72x0.57 | 5 | 220 | 90.6 | RL(80%) 278 | AP 384 | recon 384 | 1.5 | 25 | ー | ー | ー |
| MRS | 10x10 | 15 | 160 | 100 | 16 | 16 | recon 32 | ー | 1 | ー | ー | ー |
再構成条件
| MRI装置 | MAGNETOM Trio, A tim system 3.0T |
| 自動注入器 | Nemoto sonic shot Gx |
| ワークステーション | ZIO Station 2 |
表は横スクロールでご覧いただけます。
| 造影条件 | 注入量(mL) | 注入速度(mL/sec) | 撮像タイミング(DSC-Perfusion) | |
| ガドビスト | 5 | 3 | 撮像開始後2スキャン程度待ってから注入。50sスキャン撮像 | |
| 後押し用 生理食塩水 | 40 | 3 |
症例
症例背景と造影MRI検査の目的
40歳代、女性、50kg、乏突起神経膠腫
脳腫瘍術前精査目的
症例解説
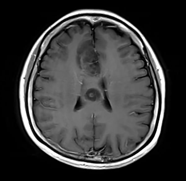
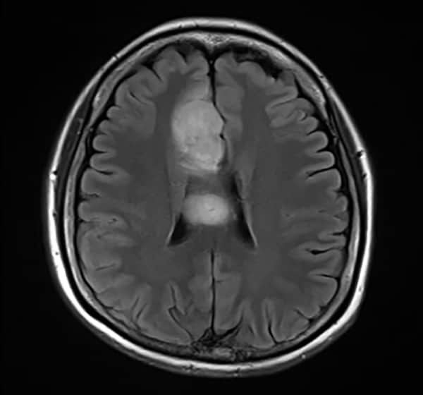
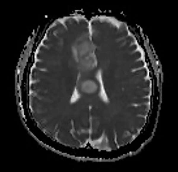
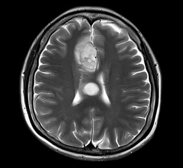
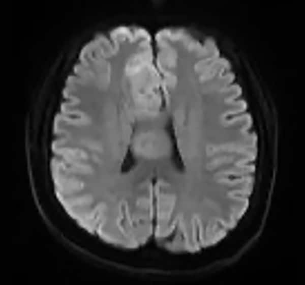
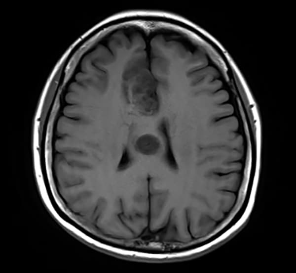
T1WI低信号、T2WI高信号、FLAIR高信号、DWIでやや高信号の腫瘤。Gdで腫瘤は造影されず、DSC-Perfusionでは辺縁~中心部に一部血流の高い部分あり。MRスペクトロスコピーではCho上昇とNAA低下がみられる。Low grade gliomaを疑う。後日、摘出手術が施行され、病理診断はoligodendroglioma NOS(Grade 2)であった。
当該疾患の診断における造影MRIの役割
発症当日に施行された単純CT/MRIにて偶発的に腫瘤が発見された。MRIでは通常のT1WI、T2WI、FLAIR、造影T1WIなどの多彩なコントラスト画像に加えて、本症例のように造影効果が乏しい腫瘤では造影剤を用いたDSC-PerfusionやMRスペクトロスコピーの所見が診断の一助となる場合がある。