症例・導⼊事例

※ご紹介する症例は臨床症例の一部を紹介したもので、全ての症例が同様な結果を示すわけではありません。

海綿静脈洞部に発生した髄膜腫の術前評価

施設名: 奈良県立医科大学附属病院
執筆者: 放射線診断・IVR学講座 中野 亮汰 先生
作成年月:2024年11月

※ 効能又は効果、用法及び用量、警告・禁忌を含む注意事項等情報等については、電子添文をご参照ください。

はじめに

症例背景

40歳代、女性、45kg、右海綿静脈洞部髄膜腫

検査目的

SLEで通院加療中。右眼瞼下垂の精査で右海綿静脈洞部腫瘤を指摘され、術前精査目的に造影CTが施行された。

使用造影剤

イオプロミド370注シリンジ80mL「BYL」/ 80mL

症例解説

右眼瞼下垂の精査目的に単純MRIが撮像され、右海綿静脈洞に腫瘤を認めたため当院へ紹介された。造影CT, 造影MRIが施行され、髄膜腫が疑われた。生検目的に内視鏡下経鼻的腫瘍摘出術が施行され、組織学的に脊索腫様髄膜腫と診断された。γナイフで治療後、症状の改善が得られ、現在経過観察中である。

画像所見

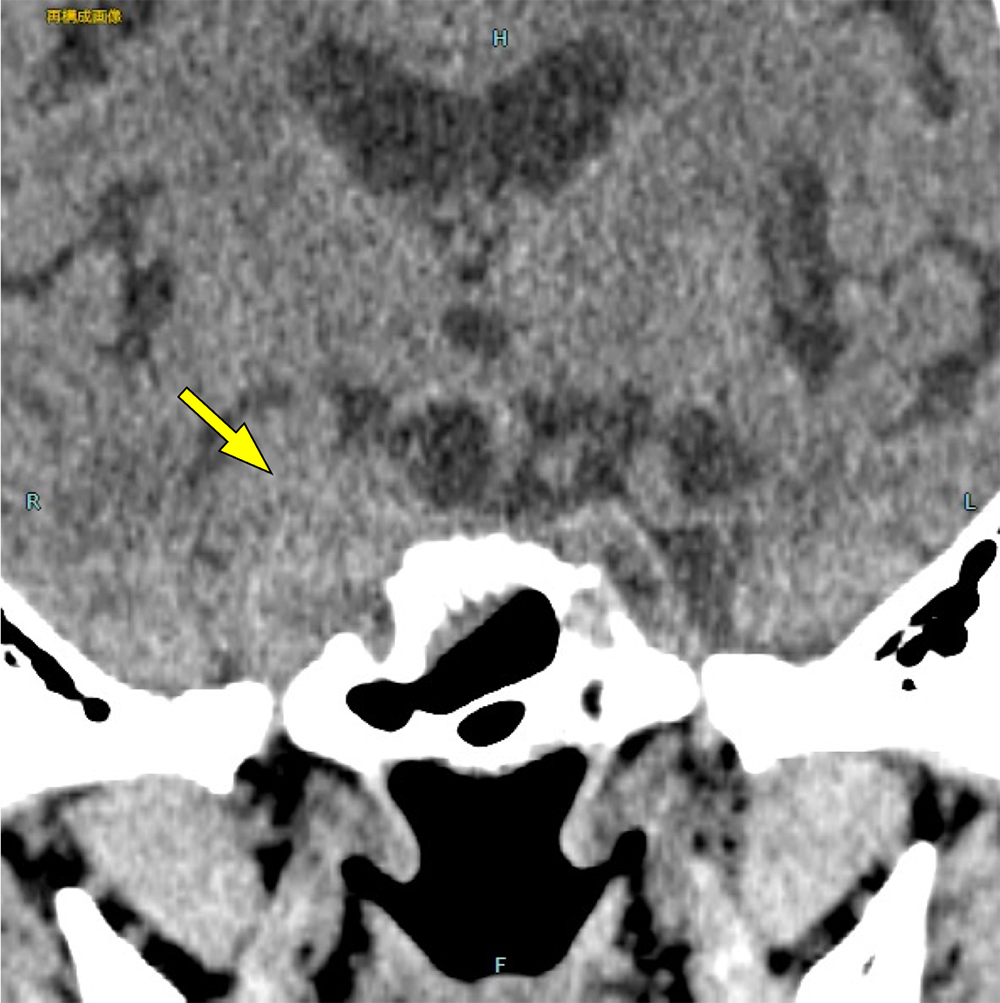
図1.単純CT
右海綿静脈洞に脳実質と等吸収の腫瘤を認める。

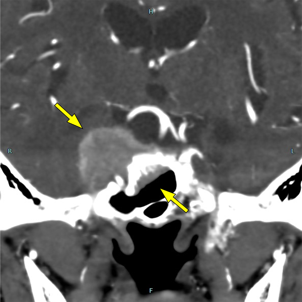
図2.造影CT(早期相)
右海綿静脈洞~蝶形骨洞の腫瘤が早期から明瞭に造影されている。

図3.造影CT(早期相)
右内頚動脈が腫瘤に取り囲まれ、対側より狭窄している。

図4.3D-CTA
右内頚動脈の海綿静脈洞部に狭窄を認める。

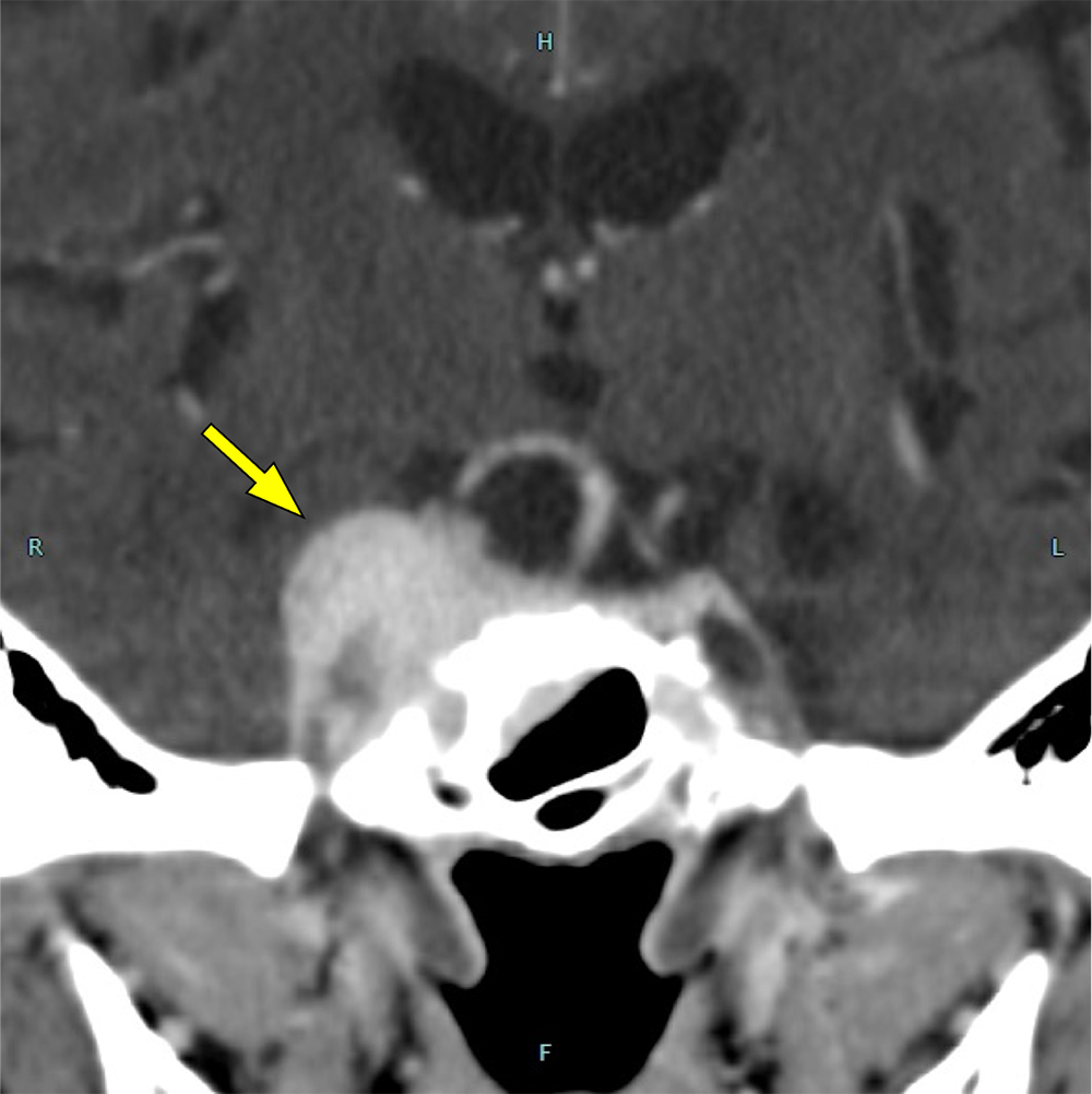
図5.造影CT(後期相)
小脳テントに沿った進展を認め、血管と同程度の強い造影効果を示している。

撮影プロトコル

表は横スクロールでご覧いただけます。

使用機器CT機種名/メーカー名Aquilion One / Canon
CT検出器の列数/スライス数320
ワークステーション名/メーカー名VINCENT / Fujifilm

撮影条件

表は横スクロールでご覧いただけます。

撮影時相肺動脈相平衡相
管電圧 (kV)80-14080-140
AEC
(AECの設定)SD12SD12
ビーム幅 (mm)8080
撮影スライス厚 (mm)55
焦点サイズLARGE BODYLARGE BODY
スキャンモードHelicalHelical
スキャン速度(sec/rot)0.50.5
ピッチ0.9920.992
スキャン範囲胸部腹部~下肢
撮影時間 (sec)
撮影方向頭→足頭→足

再構成条件

表は横スクロールでご覧いただけます。

 単純動脈相静脈相平衡相
ルーチン:再構成スライス厚/間隔 (mm/mm)3.0 / 3.03.0 / 3.03.0 / 3.03.0 / 3.0
ルーチン:再構成関数/逐次近似応用法AiCE Brain CTAAiCE Brain CTAAiCE Brain CTAFC21
3D/MPR用:再構成スライス厚/間隔 (mm/mm)0.5 / 0.50.5 / 0.50.5 / 0.50.5 / 0.5
3D/MPR用:再構成関数/逐次近似応用法AiCE Brain CTAAiCE Brain CTAAiCE Brain CTAFC21

造影条件

自動注入器機種名/メーカー名
造影剤名イオプロミド370注シリンジ

表は横スクロールでご覧いただけます。

撮影プロトコル動脈相静脈相平衡相
造影剤:投与量 (mL)80
造影剤:注入速度(mL/sec)4.0
生食:投与量 (mL)25
生食:注入速度(mL/sec)4.0
スキャンタイミングBT法(大動脈弓/200HU)固定法固定法
ディレイタイム動脈相撮影後8秒後造影剤注入開始180秒後
留置針サイズ (G)20
注入圧リミット (psi)200

当該疾患の診断における造影CTの役割

髄膜腫は髄膜皮細胞がから発生する髄外腫瘍である。髄膜に強く付着する。日本では原発性脳腫瘍の約1/4を占め、40-60歳代の中高年者に好発し、男女比は1:2で女性に多い。多くは単発で発生し、WHO grade Iの良性腫瘍である。
髄膜腫は、硬膜に広く接する髄外腫瘍である。腫瘍内は均一に充実性を示し、細胞密度の高さを反映して単純CTで軽度高吸収を示す。髄膜腫は概して多血性であり、腫瘍内は造影後に均一で明瞭な造影効果を示すことが多い。硬膜付着部から(血管造影のsun burst appearanceに似た)放射状の造影効果を示すことがある。造影CTではこれらの所見を確認することで診断に近づくことができる。
造影CTの役割は腫瘍の性状評価に限らず、脳血管の評価も含まれる。CTA, CTVを撮影することで、腫瘍内や表面、近傍を走行する重要な血管を術前に把握し、腫瘍と脳血管の関係性を正確に評価することができる。腫瘍内を貫通する血管の狭窄も評価できる。髄膜腫は非常に多血な腫瘍であるために、術中の出血量を減少させるために術前腫瘍塞栓が施行されることがあり、髄膜腫を栄養する血管や血管解剖を把握するのにも有用である。

CT技術や撮像プロトコル設定について

造影CTは、低侵襲で迅速性に優れており、頭蓋内腫瘍に対して術前精査目的に施行されることも多い。腫瘍の性状評価も目的の一つであるが、3D-CTAで血管情報を得て画像再構成を行い、腫瘍と脳血管の位置関係を把握することも安全に手術を行うために重要である。
CTAではまず脳動脈・椎骨動脈のCT値を十分に増加させることが必須の条件で、これは3次元評価が可能なVR画像の作成にも重要である。なるべく高濃度のヨード造影剤を使用し、高容量の急速静注を行い、その後可能であれば生理食塩水の後押しを行うことで、ルート内や静脈内に残存する造影剤をフラッシュして造影剤のボーラス性を高める。また低管電圧での撮影も血管内のCT値を上昇させることに寄与するが、大柄な体型の患者の場合は画質の劣化につながるので注意が必要である。次に、頭部では体幹部と違い静脈の構造が複雑で、撮影タイミングが遅いと動脈の正確な評価が困難になるため、脳静脈がなるべく描出されていない純粋な動脈相を取得することが重要である。その中でもボーラストラッキング法は簡便で汎用性が高く、多くの施設で用いられている。一般的に総頚動脈もしくは中大脳動脈近位(M1部)でCT値をモニタリングし、一定以上の吸収値に達したタイミングで撮影を開始する。画像処理については出来るだけ薄いスライスを評価に用い、上述のVR画像も有用である。また造影画像と単純画像の差分を用いるサブトラクションは、骨や血管の石灰化、クリップなどの高吸収体がある場合の病変の視認性向上に寄与する。

使用上の注意【電子添文より抜粋】

  • 9.特定の背景を有する患者に関する注意
  • 9.8 高齢者
    患者の状態を観察しながら使用量を必要最小限にするなど慎重に投与すること。本剤は主として、腎臓から排泄されるが、高齢者では腎機能が低下していることが多いため、高い血中濃度が持続するおそれがある。[8.6、9.2.1、9.2.2 参照]