症例・導⼊事例
※ご紹介する症例は臨床症例の一部を紹介したもので、全ての症例が同様な結果を示すわけではありません。
子宮筋腫に対する塞栓術中の血管造影下CTをイオプロミド300で施行した症例
施設名: 東京医科大学病院
執筆者: 放射線科 蓼原 郁斗 先生
作成年月:2024年11月
※ 効能又は効果、用法及び用量、警告・禁忌を含む注意事項等情報等については、電子添文をご参照ください。
はじめに
症例背景
40歳代、女性、58kg、子宮筋腫
検査目的
子宮筋腫のUAE術前の血流評価目的。
使用造影剤
イオプロミド300注シリンジ100mL「BYL」/ 5.4mL、5.2mL
症例解説
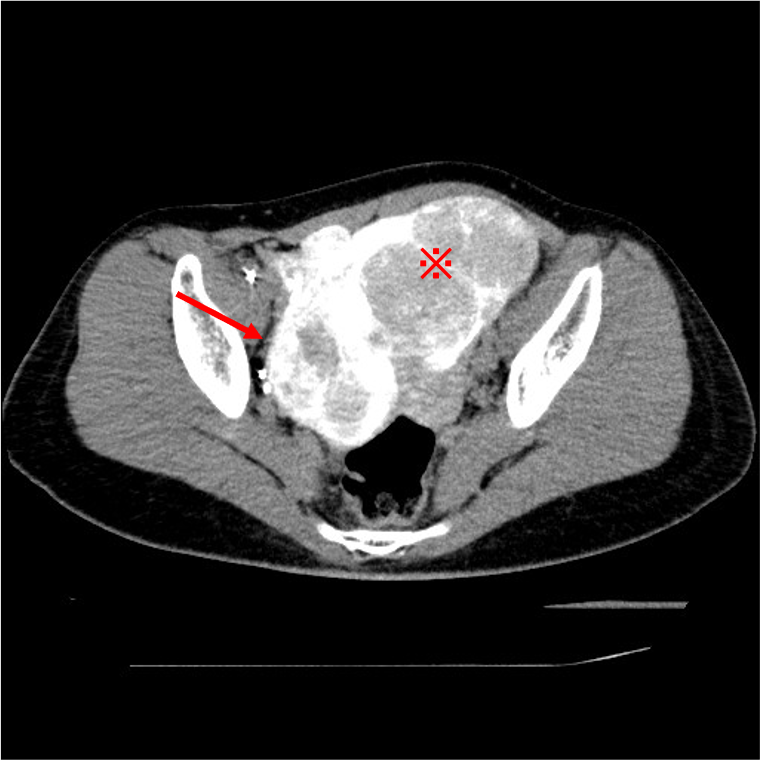
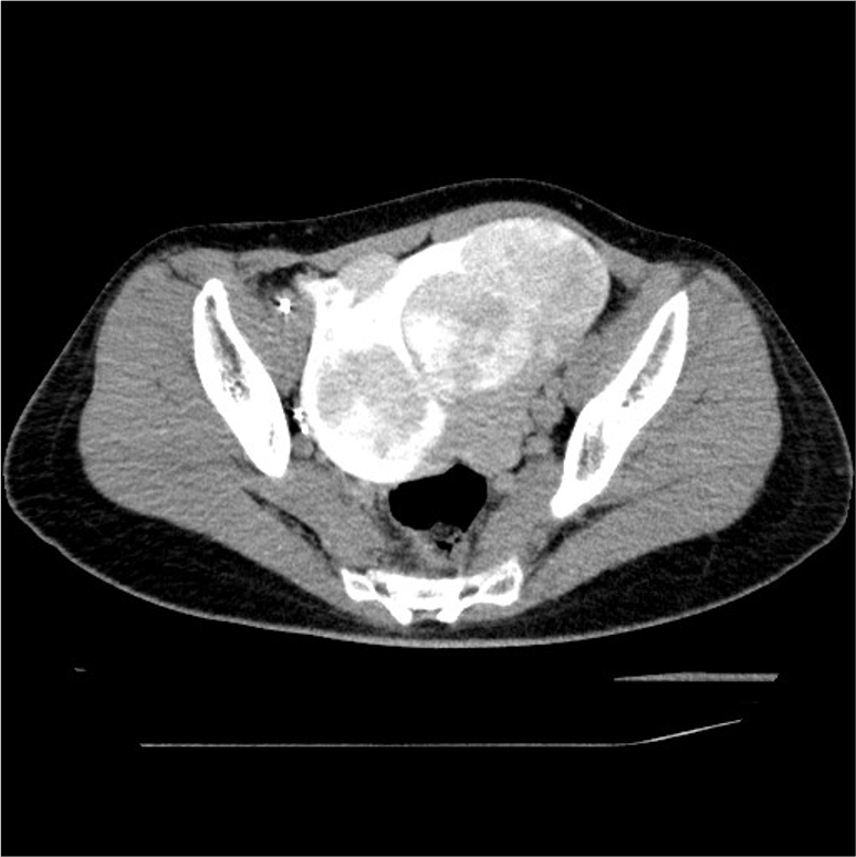
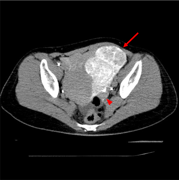
40歳代女性。過多月経、月経困難症状のある径95mm大までの多発子宮筋腫に対して子宮動脈塞栓術の依頼となり当科受診となった。塞栓物質注入開始前に、子宮筋腫の血流状態及び子宮卵巣動脈吻合の有無の確認目的で子宮動脈からの血管造影下CT(CT Uterine Arteriography (CTUA))を撮像した。
画像所見
撮影プロトコル
表は横スクロールでご覧いただけます。
| 使用機器 | CT機種名/メーカー名 | Aquilion PRIME / canon |
| CT検出器の列数/スライス数 | 80列 / 80スライス | |
| ワークステーション名/メーカー名 | Vincent / 富士フィルムメディカル株式会社 |
撮影条件
表は横スクロールでご覧いただけます。
| 撮影時相 | Pre UAE 単純 | 左UA造影 早期相 | 左UA造影 後期相 | 右UA造影 早期相 | 右UA造影 後期相 | Post UAE 単純 |
| 管電圧 (kV) | 120 | 120 | 120 | 120 | 120 | 120 |
| AEC | volumeEC 5mm SD14 | volumeEC 5mm SD14 | volumeEC 5mm SD14 | volumeEC 5mm SD14 | volumeEC 5mm SD14 | volumeEC 5mm SD14 |
| ビーム幅 (mm) | 40 | 40 | 40 | 40 | 40 | 40 |
| 撮影スライス厚 (mm) | 5 | 5 | 5 | 5 | 5 | 5 |
| 焦点サイズ | small | small | small | small | small | small |
| スキャンモード | Helical | Helical | Helical | Helical | Helical | Helical |
| スキャン速度(sec/rot) | 0.5 | 0.5 | 0.5 | 0.5 | 0.5 | 0.5 |
| ピッチ | 65 | 65 | 65 | 65 | 65 | 65 |
| スキャン範囲 | 骨盤部 | 骨盤部 | 骨盤部 | 骨盤部 | 骨盤部 | 骨盤部 |
| 撮影時間 (sec) | 6.6 | 4.1 | 4.1 | 3.8 | 3.8 | 4.1 |
| 撮影方向 | 頭から足 | 頭から足 | 頭から足 | 頭から足 | 頭から足 | 頭から足 |
再構成条件
表は横スクロールでご覧いただけます。
| Pre UAE 単純 | 左UA造影 早期相 | 左UA造影 後期相 | 右UA造影 早期相 | 右UA造影 後期相 | Post UAE 単純 | |
| ルーチン:再構成スライス厚/間隔 (mm/mm) | 5 / 5 | 5 / 5 | 5 / 5 | 5 / 5 | 5 / 5 | 5 / 5 |
| ルーチン:再構成関数/逐次近似応用法 | STD / AIDR-3D | STD / AIDR-3D | STD / AIDR-3D | STD / AIDR-3D | STD / AIDR-3D | STD / AIDR-3D |
| 3D/MPR用:再構成スライス厚/間隔 (mm/mm) | 1 / 0.8 | 1 / 0.8 | 1 / 0.8 | 1 / 0.8 | 1 / 0.8 | 1 / 0.8 |
| 3D/MPR用:再構成関数/逐次近似応用法 | STD / AIDR-3D Mild | STD / AIDR-3D Mild | STD / AIDR-3D Mild | STD / AIDR-3D Mild | STD / AIDR-3D Mild | STD / AIDR-3D Mild |
造影条件
| 自動注入器機種名/メーカー名 | PRESS DUO / 根本杏林堂 |
| 造影剤名 | イオプロミド300注シリンジ |
表は横スクロールでご覧いただけます。
| 撮影プロトコル | 左UA造影 早期相 | 左UA造影 後期相 | 右UA造影 早期相 | 右UA造影 後期相 |
| 造影剤:投与量 (mL) | 5.4 | 5.2 | ||
| 造影剤:注入速度(mL/sec)、注入時間 (sec) | 1.5、13 | 1.5、13 | ||
| 生食:投与量 (mL) | 21.6 | 20.8 | ||
| 生食:注入速度 (mL/sec)、注入時間 (sec) | 1.5、13 | 1.5、13 | ||
| ディレイタイム | 造影剤注入開始9秒後 | 造影剤注入開始25秒後 | 造影剤注入開始9秒後 | 造影剤注入開始25秒後 |
| 留置針サイズ (G) | ー | |||
| 注入圧リミット (psi or kg/cm2) | ー | |||
血管造影:右橈骨動脈よりアプローチ、共用カテーテルを使用。ACISTを用いてLCA・RCA 3mL/secを冠動脈より注入。一回撮影の造影剤量6.2mL使用。
当該疾患の診断における造影CTの役割
子宮筋腫に対する子宮動脈塞栓術(UAE)は、症候性の子宮筋腫で、挙児希望のない閉経前の女性に対して行われる。カテーテルを用いて子宮動脈から塞栓物質を注入し、子宮動脈の塞栓を行う手技である。
UAEの合併症には下腹部痛、術後感染、筋腫の子宮内腔脱落の他に、卵巣機能不全(45歳未満:0-3%、45歳以上:20-40%1))、非標的塞栓などがある。そのため、UAEを施行する際には、術前にMRIやCTにより子宮筋腫の局在や血管走行を確認してから治療を行う必要がある。我々は血管造影時に選択的子宮動脈造影と血管造影下CT (CT Uterine Arteriography :CTUA)を施行することにより、卵巣の濃染の有無や、拡張した子宮卵巣動脈吻合の有無、膣や子宮頸部の濃染の有無を確認し、UAEを施行している2)。Type1BやType3の子宮卵巣動脈吻合3)がみられた場合、UAEにより塞栓物質が子宮卵巣動脈吻合に流入し、卵巣機能不全に陥る可能性がある。そのためCTUAにより子宮卵巣吻合の分岐を確認し、子宮卵巣吻合のType分類を行い、子宮卵巣吻合が太く、卵巣への血流が豊富な場合(Type1B,Type3)には、子宮卵巣動脈吻合のコイル塞栓を施行している。CTUAを施行することにより、塞栓物質の非標的塞栓や子宮卵巣動脈吻合への塞栓物質の流入を防ぎ、安全にUAEが可能である。
1) Dariushnia SR,et al:JVIR 2014;25(11):1737-1747
2) 中井貴資:INNERVISION 2024(4):20-24
3) Mahmood K Razavi,et al:Radiology 224:707-712,2002
CT技術や撮像プロトコル設定について
当院はIVR-CT装置(Aquilion PRIME, Canon)を使用している。
以下に、当院でのCT Uterine Arteriography(CTUA)のプロトコルを下記に示す。
使用造影剤:5倍希釈造影剤、注入速度:1.5mL/sec、Scan時間:撮像範囲による(本症例では約4秒)、Scan delay時間:9秒、造影剤の注入量:(Scan時間+Scan delay9秒)×1.5mL/sec。
本症例ではイオプロミド300注を使用し、一度のCTUAでの造影剤使用量は約4.0mL相当である。
子宮筋腫の濃染をみたいため、CTUA中は造影剤を注入している。Scan時間は子宮サイズに影響を受ける。
造影剤の逆流により、子宮頸部が造影されたり、Type3の子宮卵巣動脈吻合と誤認してしまうのを防ぐため、造影剤を強く注入しすぎないように注意し、撮像前にはAngio造影を見て、注入速度や注入量の微調整を行っている。
子宮動脈塞栓術施行後には単純CTを撮像して、目的の子宮筋腫への造影剤の貯留があるかで塞栓範囲を確認している。