症例・導⼊事例

※ご紹介する症例は臨床症例の一部を紹介したもので、全ての症例が同様な結果を示すわけではありません。

筋力低下、歩行困難の精査中にPE/DVTを発症した症例

施設名: 東京医科大学病院
執筆者: 放射線科 梅原 龍之介 先生、齋藤 和博 先生
作成年月:2024年11月

※ 効能又は効果、用法及び用量、警告・禁忌を含む注意事項等情報等については、電子添文をご参照ください。

はじめに

症例背景

80歳代、女性、36.7kg、肺血栓塞栓症

検査目的

突然の呼吸困難の原因精査

使用造影剤

イオプロミド370注シリンジ100mL「BYL」/ 60mL

症例解説

脊柱管狭窄症に対する脊柱固定術後に下肢の筋力低下や歩行困難が出現したため、当院を紹介受診し原因精査を行っていた。来院日の朝に自宅でトイレに行こうと歩行した際に突然呼吸困難が出現し、当院に救急搬送となった。来院時にはSpO2の低下やD-ダイマーの上昇、左下肢の圧痕性浮腫を認め、精査目的で造影CTを施行した。
造影CTでは右肺動脈本幹や左肺動脈下葉枝、左膝窩静脈より末梢に血栓を認め、PE/DVTの診断となった。腎機能を考慮してエリキュースによる治療を開始し、D-ダイマーの改善を確認後にリクシアナの内服に変更となり、その後転院となった。

画像所見

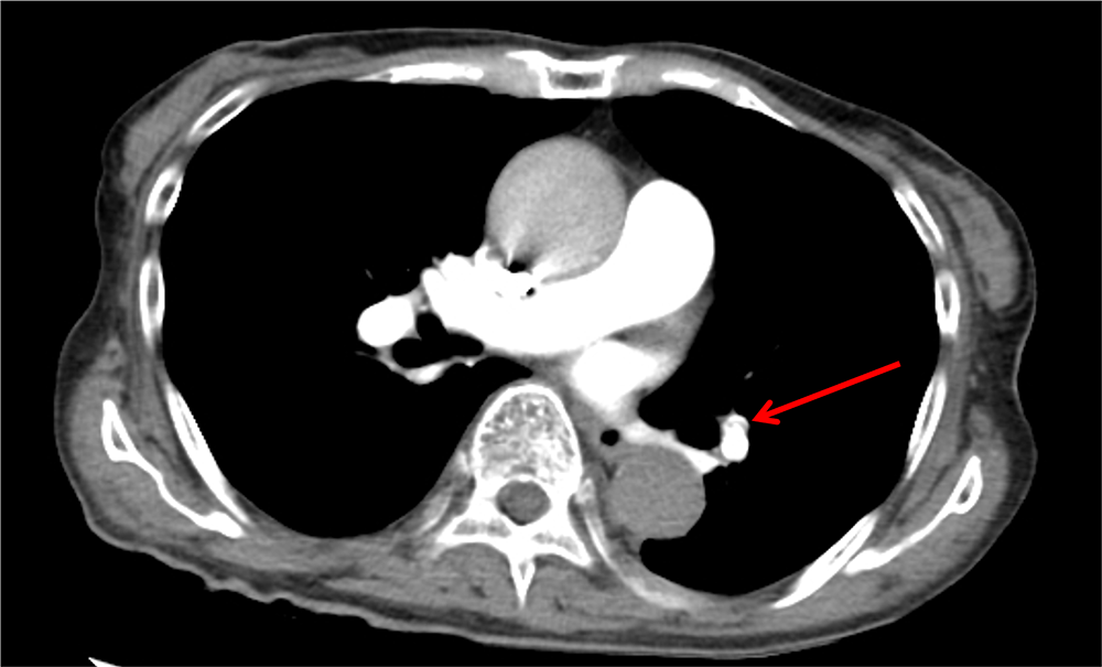
図1.治療開始前の胸部造影CT
肺動脈に血栓による造影欠損がみられる。

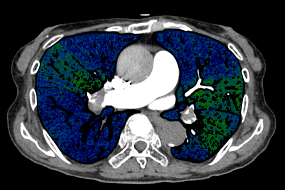
図2.図1と同部位のヨード密度画像
血流低下域(青色部分)が広範に認められる。

図3.図1と同時期の下腿造影CT
左膝窩静脈の造影欠損はわかりにくい。

図4.図3と同部位のヨード密度画像
左膝窩静脈内の大部分は筋肉と同程度の青色を示し、造影効果の低下を示している。周囲にわずかに緑色を示す領域が認められる。図3を見直すと、周囲にわずかの造影効果が疑われる。右側の静脈は緑色を示し、造影効果があることを示している。

図5.治療開始1週間後の胸部造影CT
肺動脈の血栓の消退を認める

撮影プロトコル

表は横スクロールでご覧いただけます。

使用機器CT機種名/メーカー名Revolution / GE
CT検出器の列数/スライス数256 / 256
ワークステーション名/メーカー名VINCENT WORKSTATION / 富士フィルムメディカル

撮影条件

表は横スクロールでご覧いただけます。

撮影時相肺動脈相平衡相
管電圧 (kV)80-14080-140
AEC
(AECの設定)SD12SD12
ビーム幅 (mm)8080
撮影スライス厚 (mm)55
焦点サイズLARGE BODYLARGE BODY
スキャンモードHelicalHelical
スキャン速度(sec/rot)0.50.5
ピッチ0.9920.992
スキャン範囲胸部腹部~下肢
撮影時間 (sec)
撮影方向頭→足頭→足

再構成条件

表は横スクロールでご覧いただけます。

 肺動脈相平衡相
ルーチン:再構成スライス厚/間隔 (mm/mm)5 / 55 / 5
ルーチン:再構成関数/逐次近似応用法STD / ASIR30STD / ASIR30
3D/MPR用:再構成スライス厚/間隔 (mm/mm)1.25 / 1.251.25 / 1.25
3D/MPR用:再構成関数/逐次近似応用法STD / DLIR(LOW)STD / DLIR(LOW)

造影条件

自動注入器機種名/メーカー名Dual Shot GX7 / 根本杏林堂
造影剤名イオプロミド370注シリンジ
撮影プロトコル肺動脈相平衡相
造影剤:投与量 (mgI/kg)600
造影剤:注入時間 (sec)30
生食:投与量 (㏄)20
生食:注入速度 (mL/sec)、注入時間 (sec)造影剤と同じ流速
スキャンタイミングBT法/主幹肺動脈 50HU
ディレイタイムプレップ後すぐ造影剤全投与後3分
留置針サイズ (G)22
注入圧リミット (kg/cm2)10

DUAL ENERGYで撮影するため、肺動脈相、下肢血栓の描出が容易になる、またタイミングがずれた撮影になっても低エネルギーにシフトした画像を取得できるため血栓の見逃しがない

当該疾患の診断における造影CTの役割

肺血栓塞栓症(PE)は急性と慢性に分けられる。急性肺血栓塞栓症は下腿などの深部静脈血栓(DVT)が塞栓源となり、血栓塞栓子が肺動脈を閉塞することで発症する。多くの施設において、PEの画像診断の第一選択は造影CTとなっている。肺動脈内の造影欠損や末梢肺動脈の途絶像を認めることが典型的である。肺動脈内の血栓の有無に加え、心臓の形態や静脈相における深部静脈血栓の評価、肺梗塞などの肺野病変も同時に評価する必要がある。

CT技術や撮像プロトコル設定について

当院のPEにおけるプロトコルは、造影剤4mL/秒で注入開始後、17秒後に撮像を開始することとしているが、患者の体格や心機能などにより、撮像タイミングの調整が必要な場合が多い。当院では可能な限り、肺動脈幹に関心領域を設定し、閾値が50HUを超えた6秒後に撮像を行う方法をとっている。デュアルエナジーCTのヨード密度画像を作成することで肺野の血流低下域の認識が視覚的に容易になり、患者家族などへの説明の際に役立っている。
また、原因となる深部静脈血栓症の評価のため下肢から腹部のCTを追加撮像するが、その際、下肢静脈内の造影コントラストが不十分なため、血栓の有無の評価が困難な場合が少なくない。これもデュアルエナジーCTで撮像してあれば、低エネルギー画像あるいは、今回のようなヨードマップを作成することで、血管内のコントラストが明瞭となり、血栓の有無の評価が容易になる。

使用上の注意【電子添文より抜粋】

  • 9.特定の背景を有する患者に関する注意

    9.8 高齢者
    患者の状態を観察しながら使用量を必要最小限にするなど慎重に投与すること。本剤は主として、腎臓から排泄されるが、高齢者では腎機能が低下していることが多いため、高い血中濃度が持続するおそれがある。[8.6、9.2.1、9.2.2 参照]