症例・導⼊事例
※ご紹介する症例は臨床症例の一部を紹介したもので、全ての症例が同様な結果を示すわけではありません。
腹部大動脈瘤におけるTypeⅡエンドリークの診断と責任血管の検出
施設名: 東京医科大学病院
執筆者: 放射線科 佐藤 壮男 先生
作成年月:2024年11月
※ 効能又は効果、用法及び用量、警告・禁忌を含む注意事項等情報等については、電子添文をご参照ください。
はじめに
症例背景
87歳、男性、58kg、腹部大動脈瘤、右総腸骨動脈瘤
検査目的
EVAR後のエンドリーク精査
使用造影剤
イオプロミド370注シリンジ100mL「BYL」/ 60mL
症例解説
症例は80代男性。7年前に腹部大動脈瘤と右総腸骨動脈瘤に対しEVAR、2年前に腹部大動脈瘤のエンドリークに対し、下腸間膜動脈からコイル塞栓を行っている。動脈瘤が拡大傾向であったため、超音波検査が行われ、エンドリークが疑われた。評価と治療方針決定が必要と判断されたが、腎機能障害があったため入院での造影CTが計画された。
撮影プロトコル
表は横スクロールでご覧いただけます。
| 使用機器 | CT機種名/メーカー名 | Revolution / GE |
| CT検出器の列数/スライス数 | 256 / 256 | |
| ワークステーション名/メーカー名 | VINCENT WORKSTATION / 富士フィルムメディカル |
撮影条件
表は横スクロールでご覧いただけます。
| 撮影時相 | 動脈相 | 平衡相 |
|---|---|---|
| 管電圧 (kV) | 80-140 | 120 |
| AEC | 有 | 有 |
| (AECの設定) | SD12 | SD12 |
| ビーム幅 (mm) | 40 | 40 |
| 撮影スライス厚 (mm) | 5 | 5 |
| 焦点サイズ | LARGE BODY | LARGE BODY |
| スキャンモード | Helical | Helical |
| スキャン速度(sec/rot) | 0.5 | 0.5 |
| ピッチ | 0.984 | 0.984 |
| スキャン範囲 | 腹部 | 腹部 |
| 撮影時間 (sec) | ー | ー |
| 撮影方向 | 頭→足 | 頭→足 |
再構成条件
表は横スクロールでご覧いただけます。
| 動脈相 | 平衡相 | |
|---|---|---|
| ルーチン:再構成スライス厚/間隔 (mm/mm) | 5 / 5 | 5 / 5 |
| ルーチン:再構成関数/逐次近似応用法 | STD / ASIR30 | STD / ASIR30 |
| 3D/MPR用:再構成スライス厚/間隔 (mm/mm) | 1.25 / 1.25 | 1.25 / 1.25 |
| 3D/MPR用:再構成関数/逐次近似応用法 | STD / DLIR(LOW) | STD / DLIR(LOW) |
造影条件
| 自動注入器機種名/メーカー名 | Dual Shot GX7 / 根本杏林堂 |
|---|---|
| 造影剤名 | イオプロミド370注シリンジ |
表は横スクロールでご覧いただけます。
| 撮影プロトコル | 動脈相 | 平衡相 |
| 造影剤:投与量 (mgI/kg/sec) | 22.0 | |
| 造影剤:注入速度(mgI/kg/sec)、注入時間 (sec) | 22.0、17 | |
| 生食:投与量 (㏄) | 20 | |
| 生食:注入速度 (mL/sec)、注入時間 (sec) | 造影剤と同じ流速 | |
| スキャンタイミング | BT法/下行大動脈 100HU | ー |
| ディレイタイム | プレップ後すぐ | 造影剤全投与後2分 |
| 留置針サイズ (G) | 22 | |
| 注入圧リミット (kg/cm2) | 10 | |
17秒で造影剤を注入、その後生食で後押しすることで右心系の造影剤を洗い出し、大動脈のアーチファクトを起きないようにしている。動脈相はDUAL ENERGYで撮影することで大動脈瘤で灌流が生じた場合でも低エネルギーにシフトしての画像再構成が可能なため、通常の造影剤よりも少ない量で血管描出が可能
当該疾患の診断における造影CTの役割
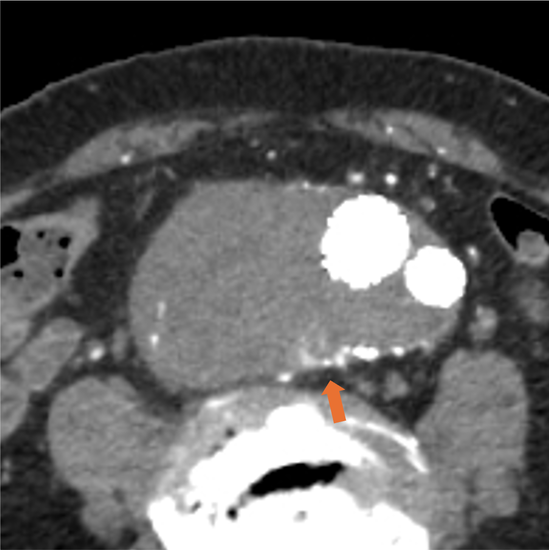
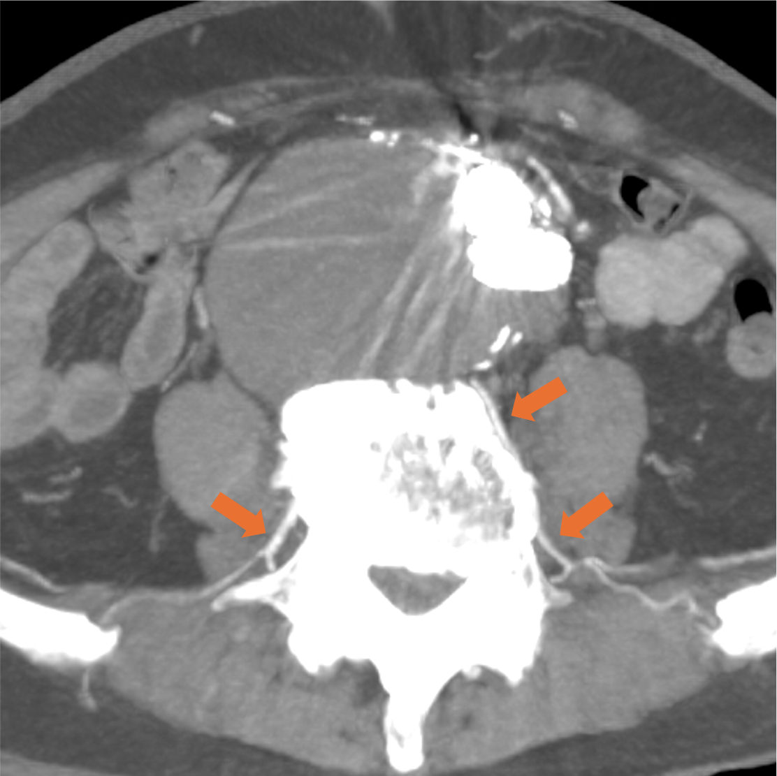
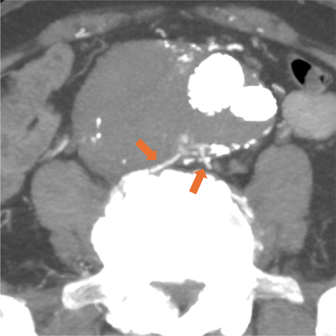
大動脈瘤は様々な要因で生じ、破裂により80-90%と非常に高い致死率を引き起こす疾患である。治療にはしばしば大動脈ステントグラフト内挿術(EVAR)が選択され、破裂のリスクを大きく減少させることが可能である。一方、ときにEVAR後も瘤が増大し、破裂する場合があるため、治療後の経過観察が必要である。増大が継続する場合、その原因としては瘤内への血流の残存(エンドリーク)があることが多い。エンドリークはその原因によって4つのタイプに分類され、それぞれ治療法が異なる。そのため、多くの施設において、エンドリークが疑われた症例では造影CTが行われ、治療方針の検討に使用されている。本症例のように分枝血管からの逆流はTypeⅡに分類され、その治療にはコイルや液体塞栓物質によるTAEや開腹手術が行われる。腹部大動脈瘤であれば上下腸間膜動脈や腰動脈、腸腰動脈等、様々な血管が流入血管となり得るが、本症例のように造影CTで予め流入血管とその経路を同定しておくことで、円滑な治療のアプローチを行うことが可能である。
CT技術や撮像プロトコル設定について
当院で使用されているCTは256列でのDual energy CTの撮影が可能なGEヘルスケア社のRevolution CTである。従来のSingle energy CTは1種類の管電圧を使用し、1種類のX線エネルギーを使用した撮像を行うが、本機種では高管電圧と低管電圧の2種類の異なる管電圧からそれぞれのX線エネルギーを使用した撮像が可能である。それにより、高画質かつ高コントラストの水密度画像とヨード密度画像が作成可能で、Deep learningを用いて解析を行うことでノイズの低減されたCT画像を再構成できる。本症例のようにTypeⅡエンドリークでは微小な血管が関与している場合があり、その検出と詳細な血管走行の確認において高コントラストかつ高画質の画像が求められ、Dual energy CTは有用である。
使用上の注意【電子添文より抜粋】
9.特定の背景を有する患者に関する注意
9.8 高齢者
患者の状態を観察しながら使用量を必要最小限にするなど慎重に投与すること。本剤は主として、腎臓から排泄されるが、高齢者では腎機能が低下していることが多いため、高い血中濃度が持続するおそれがある。[8.6、9.2.1、9.2.2 参照]