症例・導⼊事例

※ご紹介する症例は臨床症例の一部を紹介したもので、全ての症例が同様な結果を示すわけではありません。

CT perfusionを用いた脳腫瘍の診断

施設名: 熊本大学大学院生命科学研究部
執筆者: 画像動態応用医学共同研究講座 上谷 浩之 先生、放射線診断学講座 平井 俊範 先生
作成年月:2024年10月

※ 効能又は効果、用法及び用量、警告・禁忌を含む注意事項等情報等については、電子添文をご参照ください。

はじめに

症例背景

50歳代、男性、67kg、転移性脳腫瘍再発

検査目的

肺腺癌、転移性脳腫瘍に対し、放射線治療後。MRIで再発または放射線治療後変化を疑う病変が出現し、CTによる術前の動静脈評価目的。

使用造影剤

イオプロミド370注シリンジ100mL「BYL」/ 50mL

症例解説

右側頭葉に増強病変が出現し、転移性脳腫瘍再発と放射線治療後変化の鑑別が問題になった。術前の血管評価目的で造影CTが依頼され、CT perfusionによる両者の鑑別と、同じ収集データから最適なCT angiographyとCT venographyを再構成した。CT perfusionでは病変のrCBVが高値であり、再発を疑って手術を施行され、病理学的に再発と診断された。

画像所見

図1.単純CT
右側頭葉皮質下白質に灰白質とほぼ等吸収な腫瘤と周囲に広範な浮腫を認めた。

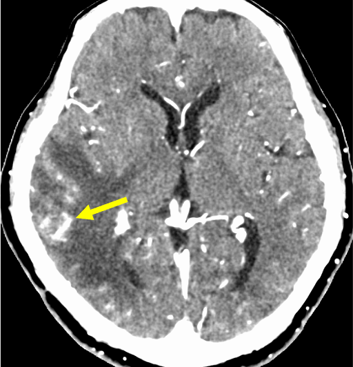
図2.造影CT動脈相
病変は軽度増強効果あり。この時相からCT angiographyのMIP像やVR像を作成した。

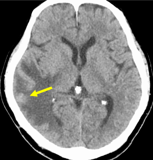
図3.造影CT静脈相
病変はリング状に増強効果あり。還流静脈評価のため、CT venographyのMIP像やVR像を作成した。

図4.CBV map
同部にCBV上昇あり。

図5.手術支援画像
CTにより骨条件画像、CT angiography、CT venography、造影後期相での増強病変を抽出し、融合して、手術支援画像を作成した。

撮影プロトコル

表は横スクロールでご覧いただけます。

使用機器CT機種名/メーカー名Aquilion ONE genesis edition / Canon Medical Systems
CT検出器の列数320列
ワークステーション名/メーカー名Vitrea / Canon Medical Systems

撮影条件

表は横スクロールでご覧いただけます。

撮影時相単純1-16相17-20相
管電圧 (kV)120100100
AECなしなしなし
管電流時間 (Eff.mAs)280mAs(439)100mAs100mAs
ビーム幅 (mm)80×0.5320×0.5320×0.5
撮影スライス厚 (mm)40160160
焦点サイズSmallSmallSmall
スキャンモードヘリカルvolumevolume
スキャン速度(sec/rot)111
ピッチ0.63711
スキャン範囲全脳全脳全脳
撮影時間 (sec)8.411
撮影方向頭→足固定固定

再構成条件

表は横スクロールでご覧いただけます。

 単純1-16相17-20相
ルーチン:再構成スライス厚/間隔 (mm/mm)5 / 50.5 / 0.50.5 / 0.5
ルーチン:再構成関数/逐次近似応用法AIDR3D / AiCEAIDR3D / AiCEAIDR3D / AiCE
3D/MPR用:再構成スライス厚/間隔 (mm/mm)0.5 / 0.50.5 / 0.250.5 / 0.25
3D/MPR用:再構成関数/逐次近似応用法AIDR3D / AiCEAIDR3D / AiCEAIDR3D / AiCE
※追加項目欄時間分解能2秒時間分解能5秒

造影条件

メーカー名根本杏林堂
造影剤名イオプロミド370注シリンジ

表は横スクロールでご覧いただけます。

撮影プロトコル1-16相17-20相
造影剤:投与量 (mL)50
造影剤:注入速度(mL/sec)、注入時間 (sec)5、10
生食:投与量 (mL)35
生食:注入速度 (mL/sec)、注入時間 (sec)5、7
スキャンタイミング固定法固定法
ディレイタイム造影剤注入開始5秒後16相目の5秒後
留置針サイズ (G)20
注入圧リミット (psi or kg/cm2)

造影剤を急速注入開始5秒後から撮影を行い、1-16相目は2秒ごと、17-20相は5秒ごとの撮影を行い、動脈相は時間分解能を高く設定し、被ばく低減のため静脈相はやや間隔を開けて撮像している。静脈が脆弱である場合は注入速度を3mL/secに低下させ、撮像開始時間を8秒からに変更する。

当該疾患の診断における造影CTの役割

脳腫瘍に対する放射線治療後の再発または放射線治療後変化の鑑別に灌流画像が有用である。MRIによるdynamic susceptibility contrast法は鑑別に有用であるが、出血合併や磁化率アーチファクトが出現しやすい部位では評価が困難となり、CT perfusionがより有用な場合がある。また、脳腫瘍術前はCT angiographyによる栄養動脈、CT venographyによる還流静脈、頭蓋骨や増強病変の画像を融合させた手術支援画像を求められることがある。同一の撮像データからCT perfusionと手術支援画像の作成が可能な撮影法は術前の脳腫瘍評価に有用である。

CT技術や撮像プロトコル設定について

320列CTは寝台を移動することなく、1回のvolume撮影で16cmの範囲を撮像でき、時間分解能が高い全脳撮影が可能である。手術支援画像のCT撮影には、単純CT、造影CT動脈相、静脈相の3相撮影が必要となるが、1回の撮影線量を減らし、20回程度の多時相撮影を行うことで、通常撮影とほぼ同等の被ばく線量で骨条件、タイミングを最適化した全脳のCT angiography、CT venography、さらにCT perfusionが評価可能となる。なるべく右肘部から20Gでルート確保を行い、5mL/sで50mLの造影剤注入と同じ速度で生理食塩水の注入を行うこととし、注入速度を下げる場合は、撮像開始時間を遅らせている。

使用上の注意【電子添文より抜粋】

  • 9.特定の背景を有する患者に関する注意
  • 9.8 高齢者
    患者の状態を観察しながら使用量を必要最小限にするなど慎重に投与すること。本剤は主として、腎臓から排泄されるが、高齢者では腎機能が低下していることが多いため、高い血中濃度が持続するおそれがある。[8.6、9.2.1、9.2.2 参照]