症例・導⼊事例
※ご紹介する症例は臨床症例の一部を紹介したもので、全ての症例が同様な結果を示すわけではありません。
前交通動脈瘤破裂によるくも膜下出血の症例
施設名: 山形大学医学部附属病院
執筆者: 放射線診断科 菅井 康大 先生、鹿戸 将史 先生 / 放射線部 佐藤 俊光 先生
作成年月:2024年9月
※ 効能又は効果、用法及び用量、警告・禁忌を含む注意事項等情報等については、電子添文をご参照ください。
はじめに
症例背景
50歳代、女性、53kg、くも膜下出血
検査目的
意識障害
使用造影剤
イオプロミド370注シリンジ100mL「BYL」/ 42mL
症例解説
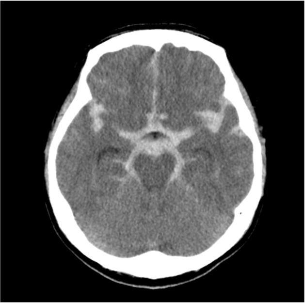
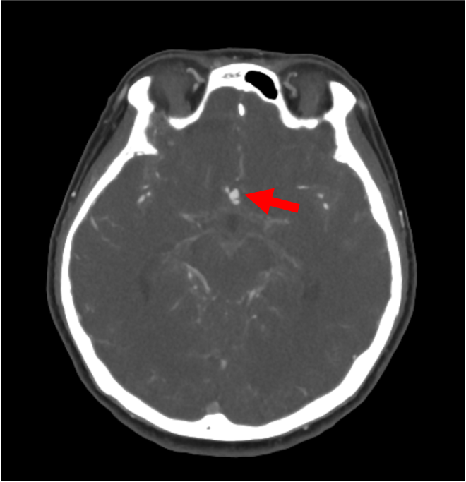
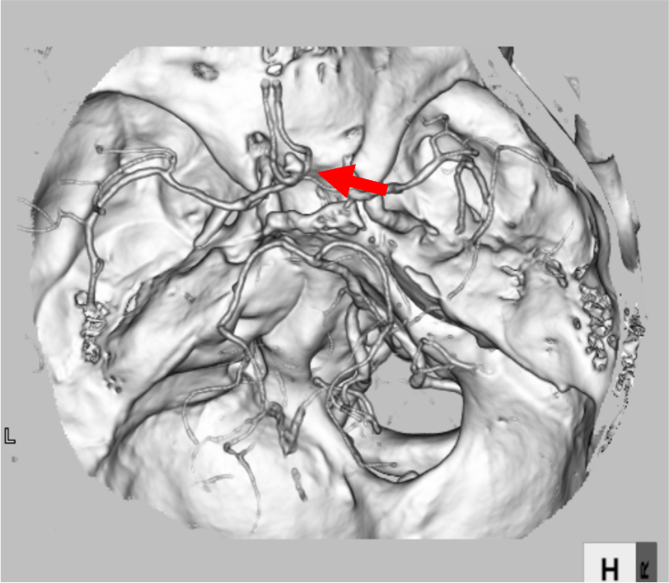
勤務中に急に意識消失し救急要請された。収縮期血圧200㎜Hgを超える高血圧も伴い、脳卒中が疑われた。頭部CTではクモ膜下腔に広範に広がる血腫を認め、くも膜下出血と診断された。前交通動脈にブレブを伴う歪な動脈瘤を認め、責任病変が疑われた。
撮影プロトコル
表は横スクロールでご覧いただけます。
| 使用機器 | CT機種名/メーカー名 | Aquilion ONE PRISM Edition / キヤノンメディカルシステムズ |
| CT検出器の列数/スライス数 | 320 / 80 | |
| ワークステーション名/メーカー名 | Ziostation2 / ザイオソフト |
撮影条件
表は横スクロールでご覧いただけます。
| 撮影時相 | 動脈相 |
| 管電圧 (kV) | 100 |
| AEC | 有り |
| (AECの設定) | SD:5(5mm) |
| ビーム幅 (mm) | 40 |
| 撮影スライス厚 (mm) | 0.5 |
| 焦点サイズ | Small |
| スキャンモード | Helical |
| スキャン速度(sec/rot) | 0.5 |
| ピッチ | 0.813 |
| スキャン範囲 | 気管分岐部~頭頂 |
| 撮影時間 (sec) | 5.2 |
| 撮影方向 | 足→頭 |
再構成条件
表は横スクロールでご覧いただけます。
| 動脈相 | |
| ルーチン:再構成スライス厚/間隔 (mm/mm) | 1.0 / 1.0 |
| ルーチン:再構成関数/逐次近似応用法 | AiCE BrainCTA |
| 3D/MPR用:再構成スライス厚/間隔 (mm/mm) | 0.5 / 0.25 |
| 3D/MPR用:再構成関数/逐次近似応用法 | AiCE BrainCTA |
造影条件
| 自動注入器機種名/メーカー名 | デュアルショットGX7 / 根本杏林堂 |
| 造影剤名 | イオプロミド370注シリンジ |
表は横スクロールでご覧いただけます。
| 撮影プロトコル | 動脈相 |
| 造影剤:投与量 (mgI/mL) | 290 |
| 造影剤:注入時間 (sec) | 12 |
| 生食:投与量 (mL) | 42 |
| 生食:注入速度 (mL/sec)、注入時間 (sec) | 3.5、12 |
| スキャンタイミング | BT法(C4レベル/総頚動脈/+100HU) |
| ディレイタイム | トリガー後4s |
| 留置針サイズ (G) | 20 |
| 注入圧リミット (kg/cm2) | 13 |
ROIの位置は基本C4レベルの総頚動脈としているが、総頚動脈がはっきりしない場合や体動が予想される場合は空中にROIを設定し、目視にてスキャン開始のタイミングを決定することも想定に入れておかなくてはならない。
当該疾患の診断における造影CTの役割
意識障害の原因の一つとして脳卒中があり、その中の一つにくも膜下出血が含まれる。くも膜下出血の診断は単純CTで行われる。くも膜下出血の原因の多くが脳動脈瘤の破裂である。脳動脈瘤の検索にCT angiographyが有用であり、侵襲性が少なくアクセスのしやすさからも好まれる。Volume Rendering (VR) 像は全体を俯瞰でき動脈瘤を容易に認識できることが多いが、サイズや形態により動脈瘤が分かりにくいこともあるため、元画像の確認を怠らないことが大切である。また、脈瘤破裂の他、脳動静脈奇形や脳動脈解離もくも膜下出血の原因となり、これらの有無も合わせて確認する必要がある。
CT技術や撮像プロトコル設定について
急性期のくも膜下出血では脳圧亢進しており、通常の造影剤注入速度ではCT値の低下が考えられる。したがって、通常よりもやや造影剤注入速度を上げる、または注入持続時間を延ばして撮影開始タイミングを遅らせるなどの工夫が必要となる。また、診断価値のあるVR像を作成するにはCT値が400以上は必要であると考えているため、管電圧を100kVとしてCT値を確保するようにしている。