症例・導⼊事例
※ご紹介する症例は臨床症例の一部を紹介したもので、全ての症例が同様な結果を示すわけではありません。
Dual-energy CTによる小膵癌検出
施設名: 熊本大学病院
執筆者: 画像診断・治療科 永山 泰教 先生
作成年月:2024年10月
※ 効能又は効果、用法及び用量、警告・禁忌を含む注意事項等情報等については、電子添文をご参照ください。
はじめに
症例背景
70歳代、男性、62kg、膵体部癌
検査目的
検診超音波検査にて膵に異常を指摘され、精査目的に膵ダイナミックCT施行
使用造影剤
イオプロミド370注シリンジ100mL「BYL」/ 100mL
症例解説
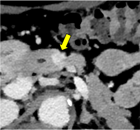
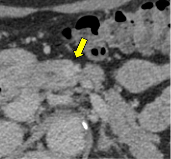
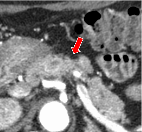
膵ダイナミックCTの膵実質相120kVp画像(図1)で膵体部に限局性萎縮(赤矢印)を認めるが、膵癌を疑わせるような低吸収域は同定できない。遅延相120kVp画像(図2)では萎縮部近傍にごく淡い高吸収域(黄矢印)を認め、線維性間質に富む膵癌の可能性が示唆される。Dual-energy CTの仮想単色低エネルギー画像(図3)およびヨード密度画像(図4)では遅延濃染域が明瞭化しており、膵癌の診断確信度が向上する。膵体尾部切除術が施行され、高分化型浸潤性膵管癌(腫瘍径6mm、pT1a)と最終診断された。術後、補助化学療法が行われ、現在まで無再発で経過している。
撮影プロトコル
表は横スクロールでご覧いただけます。
| 使用機器 | CT機種名/メーカー名 | IQon / Philips |
| CT検出器の列数/スライス数 | 64列 / 128スライス | |
| ワークステーション名/メーカー名 | IntelliSpace Portal / Philips |
撮影条件
表は横スクロールでご覧いただけます。
| 撮影時相 | 単純 | 早期動脈相 | 膵実質相 | 門脈相 | 遅延相 |
| 管電圧 (kV) | 120 | 120 | 120 | 120 | 120 |
| (AECの設定) | Dose Right Index 22 | Dose Right Index 22 | Dose Right Index 22 | Dose Right Index 22 | Dose Right Index 22 |
| ビーム幅 | 64*0.625 | 64*0.625 | 64*0.625 | 64*0.625 | 64*0.625 |
| 撮影スライス厚 (mm) | 0.625 | 0.625 | 0.625 | 0.625 | 0.625 |
| 焦点サイズ | Standard | Standard | Standard | Standard | Standard |
| スキャンモード | Helical | Helical | Helical | Helical | Helical |
| スキャン速度(sec/rot) | 0.5 | 0.5 | 0.5 | 0.5 | 0.5 |
| ピッチ | 0.703 | 0.703 | 0.703 | 0.703 | 0.703 |
| スキャン範囲 | 上腹部 | 上腹部 | 上腹部 | 胸部から骨盤部 | 上腹部 |
| 撮影時間 (sec) | 6.5 | 6.5 | 6.5 | 15 | 6.5 |
| 撮影方向 | 頭⇒足 | 頭⇒足 | 頭⇒足 | 頭⇒足 | 頭⇒足 |
再構成条件
表は横スクロールでご覧いただけます。
| 単純 | 早期動脈相 | 膵実質相 | 門脈相 | 遅延相 | |
| ルーチン:再構成スライス厚/間隔 (mm/mm) | 5 / 5 | 1 / 1 | 1 / 1 | 1 / 1 | 1 / 1 |
| ルーチン:再構成関数/逐次近似応用法 | iDose Level 3 | iDose Level 3 | iDose Level 3 | iDose Level 3 | iDose Level 3 |
| 3D/MPR用:再構成スライス厚/間隔 (mm/mm) | 0.625 / 0.625 | 0.5 / 0.5 | 0.5 / 0.5 | 0.5 / 0.5 | 0.5 / 0.5 |
| 3D/MPR用:再構成関数/逐次近似応用法 | iDose Level 3 | iDose Level 3 | iDose Level 3 | iDose Level 3 | iDose Level 3 |
| ※追加項目欄 | ー | MonoE 40keV | MonoE 40keV | MonoE 40keV | MonoE 40keV |
| ※追加項目欄 | ー | Iodien density | Iodine density | Iodine density | Iodine density |
造影条件
| 自動注入器機種名/メーカー名 | Dual shot GX7 / 根本杏林堂 |
| 造影剤名 | イオプロミド370注シリンジ |
表は横スクロールでご覧いただけます。
| 撮影プロトコル | 早期動脈相 | 膵実質相 | 門脈相 | 遅延相 |
| 造影剤:投与量(mgI/kg) | 600 | |||
| 造影剤:注入時間 (sec) | 30 | |||
| 生食:投与量 (mL) | ー | |||
| 生食:注入速度(mL/sec)、注入時間 (sec) | ー | |||
| スキャンタイミング | BT(腹部大動脈/150HU) | 固定法 | ||
| ディレイタイム | BTトリガーから5秒後 | BTトリガーから23秒後 | BTトリガーから55秒後 | 造影剤注入開始180秒後 |
| 留置針サイズ (G) | ー | |||
| 注入圧リミット (psi or kg/cm2) | ー | |||
当該疾患の診断における造影CTの役割
膵癌は最も予後不良な悪性腫瘍のひとつであり、早期診断が極めて重要である。CTは膵癌診断の主軸を担う画像診断モダリティで、病変の検出や病期診断などに必要不可欠な役割を果たしている。膵癌は線維性間質に富む腫瘍であり、造影CTで早期相から遅延相にかけて漸増性に増強される。これに対して正常膵は膵実質相で造影効果が最大化し、その後漸減する。このため、典型的な膵癌は膵実質相において低吸収を示し、このタイミングで最も明瞭に描出される。しかし、サイズの小さな早期膵癌は線維性間質や壊死が少なく、膵実質相で等吸収を示す傾向がある。その場合、限局性の膵萎縮や淡い遅延性増強効果が病変検出の鍵となるが、これらの変化はわずかなことが多く、従来のsingle-energy CTでは、早期膵癌を高い確信度で診断するのが困難である。
CT技術や撮像プロトコル設定について
提示症例では、膵実質相で膵体部に限局性の膵萎縮を認めるのみで、膵癌を思わせる低吸収域は同定できない。早期膵癌の検出において、遅延相撮影を追加することの重要性が示唆される。早期膵癌による遅延性濃染はわずかな変化に留まることが多いが、Dual-energy CTの仮想単色X線エネルギー画像やヨード密度画像ではヨードコントラストの向上により病変が顕在化するため、診断に有用である。今回の症例で使用したDual-energy CT装置はフィリップス社製の二層検出器CT装置である。この装置は、すべての撮影でDual-energy解析が可能であり、異なるエネルギーデータ間に空間的・時間的なミスレジストレーションが存在しないため、40keVのような低エネルギー画像においてもノイズの増加が目立たないという特性がある。この画質特性により、コントラストのわずかな早期膵癌もノイズに妨げられることなく明瞭に描出され、検出能や診断確信度の向上に大きく寄与する。
使用上の注意【電子添文より抜粋】
9.特定の背景を有する患者に関する注意
9.8 高齢者
患者の状態を観察しながら使用量を必要最小限にするなど慎重に投与すること。本剤は主として、腎臓から排泄されるが、高齢者では腎機能が低下していることが多いため、高い血中濃度が持続するおそれがある。[8.6、9.2.1、9.2.2 参照]