症例・導⼊事例
※ご紹介する症例は臨床症例の一部を紹介したもので、全ての症例が同様な結果を示すわけではありません。
Dual-energy CTによる偶発肺塞栓の検出
施設名: 熊本大学病院
執筆者: 画像診断・治療科 永山 泰教 先生
作成年月:2024年10月
※ 効能又は効果、用法及び用量、警告・禁忌を含む注意事項等情報等については、電子添文をご参照ください。
はじめに
症例背景
60歳代、女性、62kg、乳癌
検査目的
乳癌化学療法の効果判定。胸部症状なし。
使用造影剤
イオプロミド370注シリンジ100mL「BYL」/ 100mL
症例解説
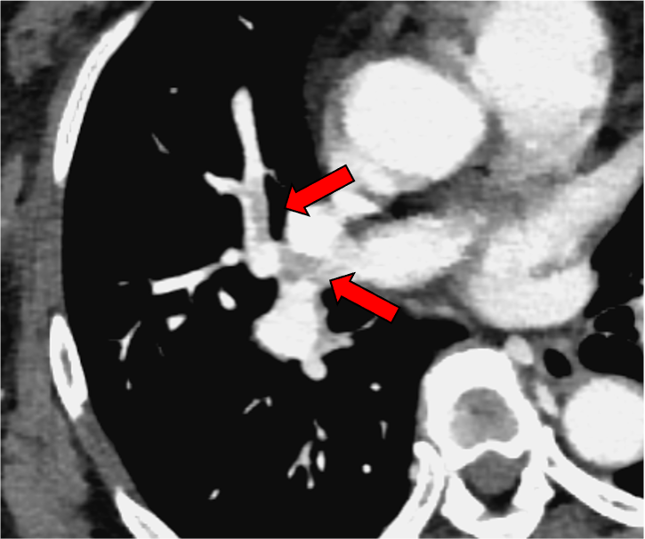
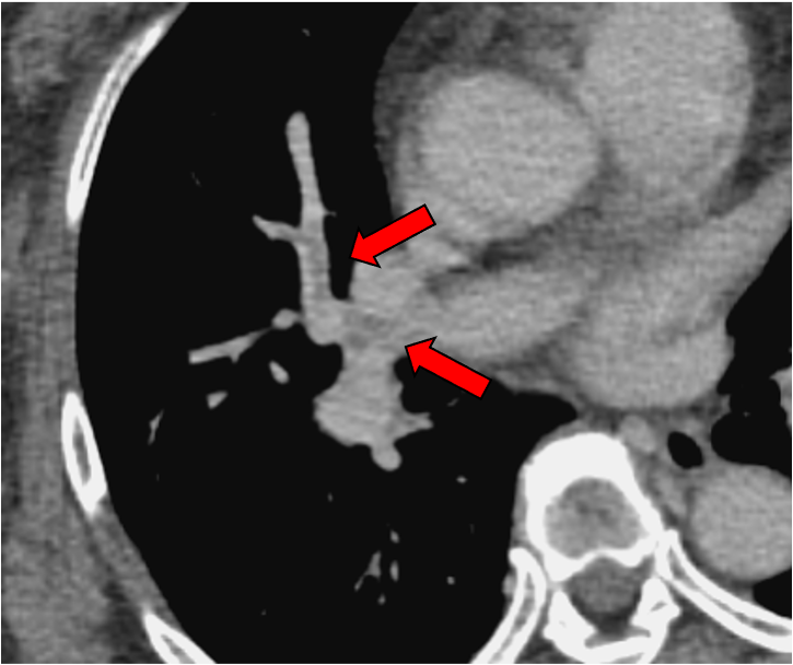
乳癌化学療法の治療効果判定CTに映り込んでいた偶発肺塞栓。通常の門脈相120kVp画像では肺動脈の造影効果が乏しく、血栓を見逃してしまうリスクがある。これに対して、Dual-energy CTの仮想単色X線エネルギー画像(MonoE 40keV)では肺動脈のヨードコントラストが劇的に向上しており、造影欠損を示す肺塞栓を高い確信度で診断可能である。本症例では肺動脈プロトコルでの再撮影を行うことなく、速やかに抗凝固療法が開始され、その後、血栓の消失が確認された。
撮影プロトコル
表は横スクロールでご覧いただけます。
| 使用機器 | CT機種名/メーカー名 | IQon / Philips |
| CT検出器の列数/スライス数 | 64列 / 128スライス | |
| ワークステーション名/メーカー名 | IntelliSpace Portal / Philips |
撮影条件
表は横スクロールでご覧いただけます。
| 撮影時相 | 単純 | 門脈相 |
| 管電圧 (kV) | 120 | 120 |
| (AECの設定) | Dose Right Index 22 | Dose Right Index 22 |
| ビーム幅 | 64*0.625 | 64*0.625 |
| 撮影スライス厚 (mm) | 0.625 | 0.625 |
| 焦点サイズ | Standard | Standard |
| スキャンモード | Helical | Helical |
| スキャン速度(sec/rot) | 0.5 | 0.5 |
| ピッチ | 0.703 | 0.703 |
| スキャン範囲 | 上腹部 | 胸部から骨盤部 |
| 撮影時間 (sec) | 6.5 | 15 |
| 撮影方向 | 頭⇒足 | 頭⇒足 |
再構成条件
表は横スクロールでご覧いただけます。
| 単純 | 門脈相 | |
| ルーチン:再構成スライス厚/間隔 (mm/mm) | 5 / 5 | 5 / 5 |
| ルーチン:再構成関数/逐次近似応用法 | iDose Level 3 | iDose Level 3 |
| 3D/MPR用:再構成スライス厚/間隔 (mm/mm) | 0.625 / 0.625 | 0.625 / 0.625 |
| 3D/MPR用:再構成関数/逐次近似応用法 | iDose Level 3 | iDose Level 3 |
| ※追加項目欄 | ー | MonoE 40 keV |
造影条件
| 自動注入器機種名/メーカー名 | Dual shot GX7 / 根本杏林堂 |
| 造影剤名 | イオプロミド370注シリンジ |
表は横スクロールでご覧いただけます。
| 撮影プロトコル | 門脈相 |
| 造影剤:投与量(mgI/kg) | 600 |
| 造影剤:注入時間 (sec) | 40 |
| 生食:投与量 (mL) | ー |
| 生食:注入速度(mL/sec)、注入時間 (sec) | ー |
| スキャンタイミング | 固定法 |
| ディレイタイム | 造影剤注入開始70秒後 |
| 留置針サイズ (G) | ー |
| 注入圧リミット (psi or kg/cm2) | ー |
当該疾患の診断における造影CTの役割
担癌患者は、腫瘍に伴う凝固能亢進に加えて、臥床、手術、中心静脈カテーテル留置、薬剤、感染症といったがん治療中に生じうる様々な要因により、肺塞栓症を生じるリスクが高い。肺塞栓症に対する画像診断のゴールドスタンダードは造影CTである。肺動脈相の撮影により非侵襲的かつ正確に血栓を検出することが可能であるが、すべての担癌患者に肺動脈相撮影を追加するのは現実的ではない。その一方で、ルーチンに実施される門脈相CTでは、肺動脈の造影効果が不十分のため、偶発的な肺塞栓症を見逃してしまうリスクがあるというジレンマが存在する。
CT技術や撮像プロトコル設定について
Dual-energy CTは、二種類のX線エネルギーレベルでデータを収集することで、様々なスペクトラル画像の取得を可能とする技術である。仮想単色X線エネルギー画像(MonoE)は低エネルギー帯でヨードの造影効果が劇的に増加するため、様々な病変の視認性が向上する。今回の症例で使用したフィリップス社製の二層検出器CT装置では、全ての撮影で後ろ向きにdual-energy解析が可能であり、予期しない偶発病変に対してもスペクトラル画像による付加情報を得ることができる。本症例のように、本来は肺動脈評価に適さない撮影条件や、想定外に造影効果不良を生じたケースでも、MonoEでヨードコントラストを後ろ向きに最適化することにより、肺動脈血栓を高い確信度で診断することが可能になる。これにより早期治療介入と予後の改善に寄与するのに加えて、肺動脈プロトコルの再撮影に伴う手間やコストを省くことができる。