症例・導⼊事例
※ご紹介する症例は臨床症例の一部を紹介したもので、全ての症例が同様な結果を示すわけではありません。
MRI用造影剤ガドビストを用いた非浸潤性乳管癌の広がり診断
施設名: 産業医科大学病院
執筆者: 放射線科 是枝 侑希 先生、青木 隆敏 先生
作成年月:2024年10月
※ 効能又は効果、用法及び用量、警告・禁忌を含む注意事項等情報等については、電子添文をご参照ください。
はじめに
乳癌は女性で最も罹患率が高い癌である1)。検診ではマンモグラフィーやエコーが用いられることが多いが、MRIは広がり診断においてマンモグラフィーやエコーより精度が高く、乳癌診療において大きな役割を担っている2)。近年では、超高速造影ダイナミックMRI(UF-DCE MRI)も可能となり、良悪性の評価や化学療法の治療効果予測に有用であると報告されている3)。当院でもUF-DCE MRIを行っており、術前の広がり診断評価でMRIが有用であった1例を紹介する。
参考文献
- 1) 一般社団法人 日本乳癌学会: 乳癌診療ガイドライン②疫学・診断編2022年版, 236‐239(2022)
- 2) 公益社団法人 日本医学放射線学会: 画像診断ガイドライン 2021年版, 434-437 (2021)
- 3) Cao Y et al. Early prediction of pathologic complete response of breast cancer after neoadjuvant chemotherapy using longitudinal ultrafast dynamic contrast-enhanced MRI.Diagn Interv Imaging. 605-614 2023
ガドビストを用いたMRI検査の方法
手順と撮像 Sequence Parameter
撮像パラメータ
表は横スクロールでご覧いただけます。
| 撮像名 | 撮像シーケンス | 撮像時間 | TE (msec) | TR (msec) | TI (msec) | FA (deg) | Flipback (有無) | Fat Sat (種類) | ETL (数) | P-MRI (Reduction Factor) | NEX (加算回数) |
| locarizer3R | single shot FSE | 14sec | 63 | 500 | ー | 90 | 無 | ー | ー | 2(ARC) | 1 |
| Vibrant Flex Ax | 3DGRE-Flex | 1:02sec | 1.2, 2.3 | 4.2 | ー | 12 | 無 | Dixon | ー | 2(ARC) | 2 |
| T2 Flex Ax | FSE-Flex | 2:06sec | 90 | 4000 | ー | 110 | 無 | Dixon | ー | 2(ARC) | 1 |
| DWI Ax | single shot EPI-DWI | 2:40sec | 65 | 7500 | 220 | 90 | 無 | STIR +SSRF | ー | 2(ASSET) | 1 |
| R) T2fsat-FSE Sag | T2-FSE fsat | 1:36sec | 85 | 6800 | ー | 110 | 無 | chess | 16 | ー | 1 |
| L) T2fsat-FSE Sag | T2-FSE fsat | 1:36sec | 85 | 6800 | ー | 90 | 無 | chess | 16 | ー | 1 |
| IDEAL-IQ | 3DGRE-6po intFlex | 51sec | 0.9~4.3 | 5.8 | ー | 3 | 無 | Dixon | 3 | 3(ARC) | 1 |
| pre Dyn Vibrant Ax | 3DGRE-Flex | 7 secx 8 | 13 | 4.2 | ー | 12 | 無 | Aspir | ー | 2(ASSET) | ー |
| CE+ 1~8phase Ultra fast Dyn Ax | 3DGRE-Flex | 7sec | 2.1 | 3.6 | ー | 12 | 無 | Aspir | ー | 3(ASSET) | ー |
| CE+1~4 phase Dyn Vibrant Ax | 3DGRE-Flex | 1:06sec× 4 | 13 | 4.2 | ー | 12 | 無 | Aspir | ー | 2(ASSET) | ー |
表は横スクロールでご覧いただけます。
| 撮像名 | k-space | 面内分解能(mm) | Slice厚(mm) | FOV (mm) | Rectan gular FOV(%) | 位相方向 (step数) | リード方向(matrix数) | 実scan % | Slice Gap (mm) | 3D partition (数) | 3D over samplin g(%) |
| locarizer3R | single shot | 1.3×1.8 | 10 | 400 | 100 | AP 300 | RL 200 | recon 512 | 50 | ー | ー |
| Vibrant Flex Ax | cartesian linear | 1.5×0.8 | 0.5 | 350 | 100 | RL 416 | AP 244 | recon 512 | ー | ー | ー |
| T2 Flex Ax | cartesian linear | 0.8×0.9 | 5 | 330 | 100 | RL 384 | AP 416 | recon 512 | 0.5 | ー | ー |
| DWI Ax | cartesian linear | 2.6×1.0 | 5 | 360 | 70 | RL 256 | AP 140 | recon 512 | 0 | ー | ー |
| R) T2fsat-FSE Sag | cartesian linear | 0.9×1.1 | 5 | 230 | 100 | AP 224 | SI 288 | recon 512 | 0.5 | 1 | default |
| L) T2fsat-FSE Sag | cartesian linear | 0.9×1.1 | 5 | 230 | 100 | AP 224 | SI 288 | recon 512 | 0.5 | ー | ー |
| IDEAL-IQ | cartesian linear | 2.8×1.7 | 4 | 440 | 100 | RL 256 | AP 160 | recon 512 | ー | ー | ー |
| pre Dyn Vibrant Ax | cartesian centric | 0.9×0.9 | 0.5 | 340 | 100 | RL 400 | AP 400 | recon 512 | ー | ー | ー |
| CE+ 1~8phase Ultra fast Dyn Ax | cartesian linear | 1.4×1.4 | 1.2 | 320 | 100 | AP 308 | AP 162 | recon 512 | ー | ー | ー |
| CE+1~4 phase Dyn Vibrant Ax | cartesian centric | 0.9×0.9 | 0.5 | 340 | 100 | RL 400 | AP 400 | recon 512 | ー | ー | ー |
| MRI装置 | Signa premier |
| 自動注入器 | Nemoto sonic shot 7 |
| ワークステーション | Advantage Workstation |
表は横スクロールでご覧いただけます。
| 造影条件 | 注入量 | 注入速度 | 撮像タイミング | |
| ガドビスト | 0.1mL/kg | 2mL/sec | Ultrafast Dynamic 開始5sec後 | |
| 後押し用 生理食塩水 | 20mL | 20mL |
症例
症例背景と造影MRI検査の目的
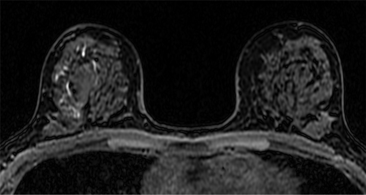
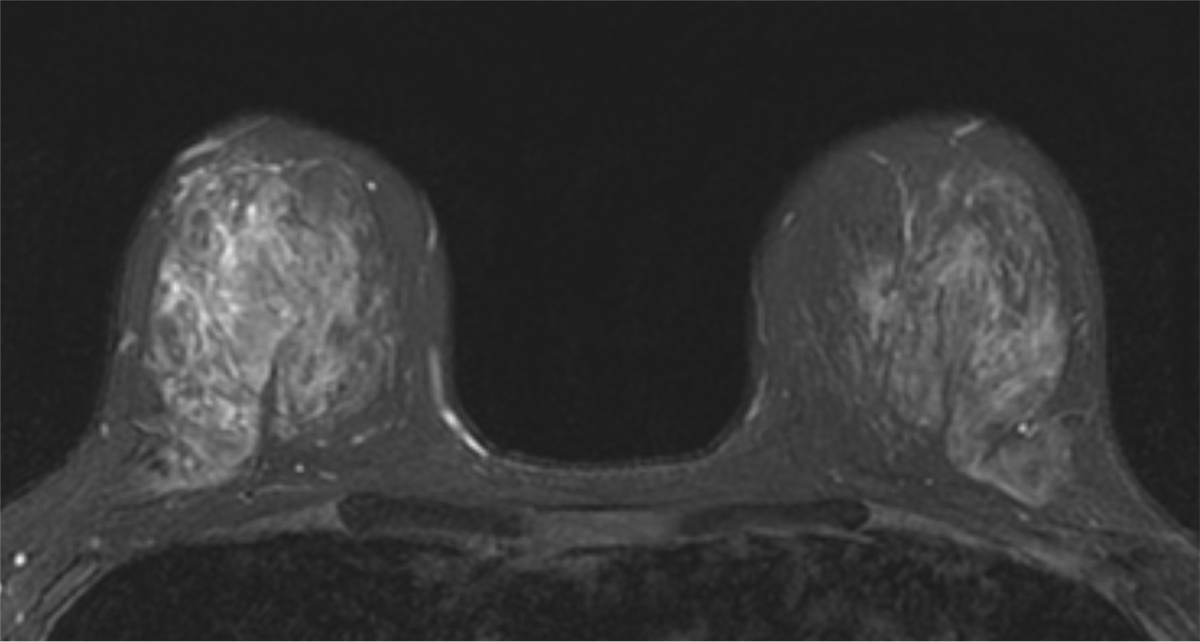
40歳代、女性、非浸潤性乳管癌 ductal carcinoma in situ (DCIS)
右乳腺AC-C区域を中心に複数の低エコー域を認めた。針生検でDCISと診断され手術加療の方針となり、術前広がり診断目的でMRI撮像した。
症例解説
40歳代女性。201X年より超音波検査で低エコー領域として描出される両側乳腺症に対してフォローアップされていた。初回より12年後のフォローアップで、右乳腺C区域からAC区域に広がる低エコー域に血流シグナルを認め悪性の可能性が示唆された。
針生検の結果、ductal carcinoma in situ (DCIS)が疑われた。手術加療の方針となり、術前の広がり評価目的に造影MRIを撮像した。乳房全切除術及びセンチネルリンパ節生検を施行し、最終病理診断はDCISであった。
当該疾患の診断における造影MRIの役割
乳腺MRIは乳癌の広がりを高精度に診断できる。この症例においてもマンモグラフィーでは病変を指摘出来なかったが、MRIでは病変が明瞭に描出され、エコーで捉えられる領域よりも広範に及んでいる事が示された。3D解析を用いることでより俯瞰的な評価ができ、術式の選択や切除範囲の一助となった。
近年では、圧迫センシングなどの撮像技術の進歩によりUF-DCE MRIが可能となった。造影直後の超早期からの数秒毎の撮像を行うことで、乳腺組織とのコントラストを高め、血流豊富な腫瘍と腫瘍関連血管の評価に優れている。使用する造影剤量の増加や撮像時間の延長なく、良悪性の鑑別や薬物療法の治療効果予測に役立つと報告されており、更なる臨床応用が期待されている。
参考文献
Kataoka M et al. Ultrafast Dynamic Contrast-Enhanced MRI of the Breast: From Theory to Practice. J Magn Reson Imaging. 401-416(2024)