症例・導⼊事例

※ご紹介する症例は臨床症例の一部を紹介したもので、全ての症例が同様な結果を示すわけではありません。

冠動脈CTにて侵襲的検査が回避できた一例

施設名: 自治医科大学附属病院
執筆者: 画像診断部 伊東 典子 先生、山越 一統 先生
作成年月:2024年10月

※ 効能又は効果、用法及び用量、警告・禁忌を含む注意事項等情報等については、電子添文をご参照ください。

はじめに

症例背景

70歳代, 女性, 43kg, 肺癌, 糖尿病

検査目的

肺癌化学療法前の心エコーで基部下壁中隔の壁運動低下が指摘され, 冠動脈評価のため, 冠動脈CTが施行された.

使用造影剤

イオプロミド370注シリンジ100mL「BYL」/ 47mL

症例解説

本症例は右冠動脈優位型で, 下壁と側壁の一部を灌流していた. 右冠動脈(RCA)には石灰化プラークに伴う軽度狭窄がみられた. 左冠動脈主幹部(LMT)は保たれており, 左前下行枝(LAD)近位部に石灰化プラークによる軽度狭窄が見られた. 第1対角枝(D1)は前述の石灰化のため評価困難だった. 回旋枝(LCX)は低形成であったが, 概ね保たれていた. RCAに有意狭窄なく, 灌流域を踏まえても下壁基部のみの壁運動異常では説明がつかず, 心エコーの過大評価の可能性が考えられ,冠動脈造影は行わない方針となった.

画像所見

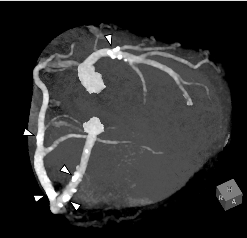
図1.volume rendering(VR)画像
右冠動脈(RCA)は下壁および側壁の一部を広く灌流している.

図2.volume rendering (VR)画像
前下行枝(LAD)は末梢まで描出されている. 回旋枝(LCX)は低形成である(矢頭).

図3.angiographic view
RCA近位部~中間部とLAD近位部に石灰化がみられる(矢頭).

図4.石灰化スコア(Agatstonスコア)

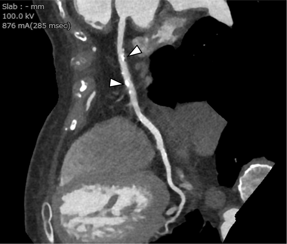
図5.curved multiplanar reconstruction(CPR)
RCAには石灰化プラークによる軽度狭窄がみられるが(矢頭),有意狭窄は認めない.

撮影プロトコル

表は横スクロールでご覧いただけます。

使用機器CT機種名/メーカー名SOMATOM Definition Flash / Siemens
CT検出器の列数/スライス数64列 / 128スライス
ワークステーション名/メーカー名SYNAPSE VINCENT / 富士フイルムメディカル

撮影条件

表は横スクロールでご覧いただけます。

撮影時相カルシウムスコア冠動脈相
管電圧設定固定CAREkv (Dose Saving Level 11)
管電圧 (kV)120100
AECCARE Dose 4DCARE Dose 4D
(AECの設定)Quality Ref mAs 120mAs/rotQuality Ref mAs 350mAs/rot @120kv
CTDI vol(mGy)2.848.0
HR(bpm)min60 max84 ave.76min81 max84 ave.82
ビーム幅 (mm)38.438.4
撮影スライス厚 (mm)0.750.75
焦点サイズ(mm)0.9 x 1.10.9 x 1.1
スキャンモードprospective ECG-gated sequential scanretrospective ECG-gated spiral scan
スキャン速度 (sec/rot)0.280.28
Pitch factor0.17
スキャン範囲心臓全体冠動脈の最高位値+15m mを上限として心臓全体
撮影時間 (sec)97
撮影方向頭⇒足頭⇒足

再構成条件

表は横スクロールでご覧いただけます。

 カルシウムスコア冠動脈相
ルーチン:再構成スライス厚/間隔 (mm/mm)3 / 30.75 / 0.45
ルーチン:再構成関数/逐次近似応用法B26f / FBPI36f / SAFIRE 3
3D/MPR用:再構成スライス厚/間隔 (mm/mm)0.75 / 0.45
3D/MPR用:再構成関数/逐次近似応用法I36f / SAFIRE 3
再構成位相diastolic phase (-270ms)diastolic phase (-205ms)

造影条件

自動注入器機種名/メーカー名Dual Shot GX7 / Nemoto
造影剤名イオプロミド370注シリンジ

表は横スクロールでご覧いただけます。

撮影プロトコル冠動脈相
造影剤:投与量(mgI/kg/sec)32(体重, HR, スキャンタイムにより可変)
造影剤:注入速度(mL/sec), 注入時間 (sec)3.5, 12(患者体重により可変)
生食:投与量 (mL)30
生食:注入速度 (mL/sec)3.5(造影剤注入と同値)
Testbolus設定上行大動脈においてTestbolus 3.5ml/sec 造影剤 5ml+生食20ml
ディレイタイム造影剤注入開始14sec後 (Testpeak時間+3sec)
留置針サイズ (G)20 (耐圧ポート専用ヒューバー針使用)
注入圧リミット (kg/cm2)10

当該疾患の診断における造影CTの役割

冠動脈CTは, 多列検出器の進展とともに普及し, 現在では多くの施設で施行されている. 冠動脈CTの特徴は, その高い陰性的中率をもって閉塞性病変を除外できることである. 冠動脈疾患が疑われ, 中等度以上のリスクを有する患者のスクリーニングに有用である.

冠動脈CTでは, 横断像の他, multiplanar reconstruction(MPR)や maximum intensity projection(MIP), curved multiplanar reconstruction (CPR)等を用いて冠動脈を多角的に観察することで, 解剖学的な把握や冠動脈の狭窄の有無や程度, プラークの性状などの詳細な評価ができる. 2021年には, Society of Cardiovascular Computed Tomography(SCCT)より, 冠動脈のスコアリングシステムであるCAD-RADS(Coronary Artery Disease Reporting and Data System) による評価が推奨されている.

良好な再構成画像を得るためには, 心拍数のコントロールや冠動脈の十分な拡張が重要である. 当院では可能な症例には, 事前にβ遮断薬を投与し, 検査直前には亜硝酸剤の舌下噴霧を行っている. 注意点としては, 石灰化の強い症例で内腔の評価が難しくなることや, 高心拍や不整脈によるアーチファクトが生じうることである.

CT技術や撮像プロトコル設定について

当院では, 冠動脈造影CTにおいて, 右室の造影剤滞留を軽減することを重視する観点から, 少量造影剤注入によるTest Bolus法を採用している. 時間濃度曲線(Time Enhancement Curve:TEC)を作成し, test peak時間から+3secの補正をし, 本注入のpeak時間を推定し撮影開始時間を決定している. 使用装置はDual Source CTであり, 直前のHRにより最適なPitch factorを選択するため, スキャンタイムがHRに応じて変化する. そのため, 造影剤注入時間も直前に計算されたスキャンタイムに応じて変化させている. 本症例においては, 32mgI/kg/sec 12sec注入であった.

本症例は血管確保困難例であり, 肺癌の治療のため右上腕に留置された造影剤高圧注入対応CVポートから造影剤注入することとなった. 直前のECG波形においてPVCが認められたため, 低Pitch factorのfull-dose spiral scanとなる. 尚, 本症例はβ遮断薬が投与されていない患者である. 収縮期と拡張中期の心位相を再構成して, -205msの拡張中期画像が3D/CPR用画像として採用された.

使用上の注意【電子添文より抜粋】

  • 9.特定の背景を有する患者に関する注意

    9.8 高齢者
    患者の状態を観察しながら使用量を必要最小限にするなど慎重に投与すること。本剤は主として、腎臓から排泄されるが、高齢者では腎機能が低下していることが多いため、高い血中濃度が持続するおそれがある。[8.6、9.2.1、9.2.2 参照]