症例・導⼊事例
※ご紹介する症例は臨床症例の一部を紹介したもので、全ての症例が同様な結果を示すわけではありません。
原発性アルドステロン症に対する副腎静脈サンプリング前CT
施設名: 自治医科大学附属病院
執筆者: 画像診断部 伊東 典子 先生、山越 一統 先生
作成年月:2024年10月
※ 効能又は効果、用法及び用量、警告・禁忌を含む注意事項等情報等については、電子添文をご参照ください。
はじめに
症例背景
60歳代, 男性, 86.5kg, 原発性アルドステロン症
検査目的
副腎静脈サンプリング前のプラニングCT
使用造影剤
イオプロミド370注シリンジ100mL「BYL」/ 100mL
症例解説
高血圧, 低K血症の精査で左副腎腫瘤が指摘され, 負荷試験の結果, 原発性アルドステロン症の診断となった, 副腎静脈サンプリング前に,プランニング目的のCTが施行された, その後の副腎静脈サンプリングでは, 左副腎からの片側性のアルドステロン過剰分泌が認められ, 手術の方針となった.
撮影プロトコル
表は横スクロールでご覧いただけます。
| 使用機器 | CT機種名/メーカー名 | SOMATOM Definition Flash / Siemens |
| CT検出器の列数/スライス数 | 64列 / 128スライス | |
| ワークステーション名/メーカー名 | Ziostation2 / アミン |
撮影条件
表は横スクロールでご覧いただけます。
| 撮影時相 | 単純 | 後期動脈相 | 門脈相優位相 | 平衡相 |
| 管電圧設定 | CAREkv (semi 100kv :Dose Saving Level 3) | CAREkv (semi 100kv :Dose Saving Level 3) | CAREkv (semi 100kv :Dose Saving Level 3) | CAREkv (semi 100kv :Dose Saving Level 3) |
| 管電圧 (kV) | 100 | 100 | 100 | 100 |
| AEC | CARE Dose 4D | CARE Dose 4D | CARE Dose 4D | CARE Dose 4D |
| (AECの設定) | Quality Ref mAs 220mAs/rot @120kv | Quality Ref mAs 220mAs/rot @120kv | Quality Ref mAs 220mAs/rot @120kv | Quality Ref mAs 220mAs/rot @120kv |
| CTDI vol(mGy) | 19.0 | 17.8 | 17.8 | 17.8 |
| ビーム幅 (mm) | 38.4 | 38.4 | 38.4 | 38.4 |
| 撮影スライス厚 (mm) | 0.75 | 0.75 | 0.75 | 0.75 |
| 焦点サイズ(mm) | 0.9 x 1.1 | 0.9 x 1.1 | 0.9 x 1.1 | 0.9 x 1.1 |
| スキャンモード | spiral scan | spiral scan | spiral scan | spiral scan |
| スキャン速度 (sec/rot) | 0.5 | 0.5 | 0.5 | 0.5 |
| Pitch factor | 0.8 | 0.8 | 0.8 | 0.8 |
| スキャン範囲 | 全腹部 | 全腹部 | 全腹部 | 全腹部 |
| 撮影時間 (sec) | 11 | 10 | 10 | 10 |
| 撮影方向 | 頭⇒足 | 頭⇒足 | 頭⇒足 | 頭⇒足 |
再構成条件
表は横スクロールでご覧いただけます。
| 単純 | 後期動脈相 | 門脈相優位相 | 平衡相 | |
| ルーチン:再構成スライス厚/間隔 (mm/mm) | 3 / 3 | 3 / 3 | 3 / 3 | 3 / 3 |
| ルーチン:再構成関数/逐次近似応用法 | I40f / SAFIRE 1 | I40f / SAFIRE 1 | I40f / SAFIRE 1 | I40f / SAFIRE 1 |
| 3D/MPR用:再構成スライス厚/間隔 (mm/mm) | ー | 1 / 0.8 | 1 / 0.8 | 1 / 0.8 |
| 3D/MPR用:再構成関数/逐次近似応用法 | ー | I26f / SAFIRE 1 | I26f / SAFIRE 1 | I26f / SAFIRE 1 |
| thinMIP用:再構成スライス厚/間隔 (mm/mm) | ー | 3 / 2 | 3 / 2 | ー |
| thinMIP用:再構成関数/逐次近似応用法 | ー | I40f / SAFIRE 2 | I40f / SAFIRE 2 | ー |
造影条件
| 自動注入器機種名/メーカー名 | Dual Shot GX7 / Nemoto |
| 造影剤名 | イオプロミド370注シリンジ |
表は横スクロールでご覧いただけます。
| 撮影プロトコル | 後期動脈相 | 門脈相優位相 | 平衡相 |
| 造影剤:投与量(mgI/kg/sec) | 14 | → | → |
| 造影剤:注入速度(mL/sec), 注入時間 (sec) | 3.2, 30 | → | → |
| 生食:投与量 (mL) | 30 | ー | ー |
| 生食:注入速度 (mL/sec) | 3.2 | ー | ー |
| bolus tracking法設定, 撮影タイミング | 横隔膜レベルの下行大動脈にお いて, +100HU上昇をトリガーと し, 20sec後に撮影開始 | トリガーから40sec後, 撮影開始 | 造影剤注入開始 120sec後, 撮影 開始 |
| 留置針サイズ (G) | 22 | ||
| 注入圧リミット (kg/cm2) | 10 | ||
当該疾患の診断における造影CTの役割
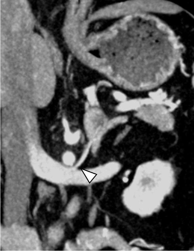
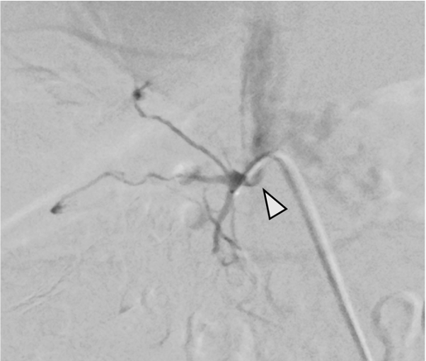
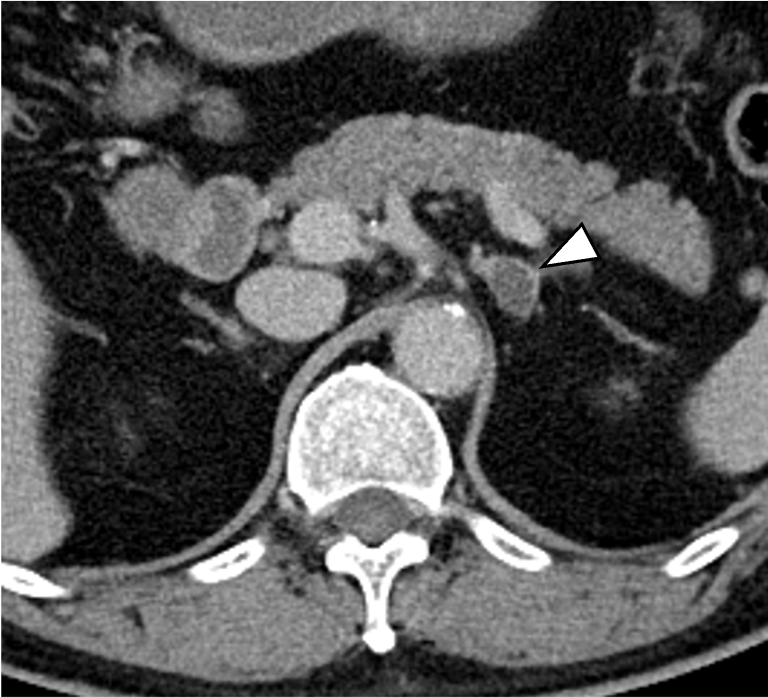
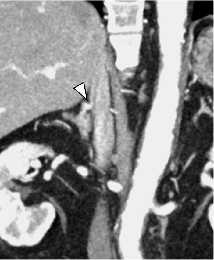
原発性アルドステロン症は, 治癒可能な二次性高血圧であり, 本態性高血圧より脳・心血管, 腎合併症の頻度が高く, その診断および治療の重要性が指摘されている, 片側性のアルドステロン症の場合, 外科的切除によりアルドステロン過剰の正常化, 高血圧および臓器障害の改善・防止が期待できる, このため, 手術が考慮される場合には副腎静脈サンプリングによる機能的局在診断を行う, 原発性アルドステロン症診療ガイドライン20211)では, この副腎静脈サンプリングの成功率を向上させる方法の一つとして, ダイナミックmulti-detector row CT(MDCT)が推奨されている, MDCTでは, 横断像やMPR(Multi planar Reconstruction)を用いて, 副腎静脈の走行やvariationの確認などを行うが, これに加え当院では,仮想透視画像を作成し, 右副腎静脈の下大静脈開口部のレベルや, 副肝静脈との位置関係など, 立体的な解剖学的把握を行っている, その結果, サンプリング時に, スムーズかつ的確なカテーテル操作が可能となる.
注意点としては, CTでは深吸気時に撮影されるのが一般的であるが, カテーテル操作は, 安静呼吸下で施行されるため, 副腎静脈の位置がやや異なることがある. 当院では, 呼吸性変動を踏まえて, 後期動脈相, 門脈優位相を呼気にて撮影し, 平衡相のみ吸気にて撮影している.
- 1) 一般社団法人 日本内分泌学会, 原発性アルドステロン症 診療ガイドライン2021, 診断と治療社, 2021, P.25
CT技術や撮像プロトコル設定について
副腎静脈サンプリングにおけるIVR支援画像としての位置付けとなるため, CT検査においての安定した呼気停止の検査説明が重要となる. 当院では位置決め撮像(Topogram), 単純, 後期動脈相, 門脈優位相を呼気停止にて撮影, 平衡相のみ副腎の呼吸性移動を観察する目的で吸気撮影を行っている. 被検者への説明を丁寧に行い理解を得ることを心がけている.
本検査における後期動脈相は, 右副腎静脈と下大静脈との合流部, また左副腎静脈と下横隔静脈, 腎静脈との合流部の形態評価が求められる重要な撮影時相である. そのため30sec注入時間固定法とbolus tracking法の併用を行い, 腹部下行大動脈において+100HUのCT値上昇をトリガーとし, 20secのdelay timeにて後期動脈相の撮影を行っている. その後の門脈優位相は, トリガーから40secの撮影とし, 主に副肝静脈と下大静脈との合流部の形態評価が目的とされる. 造影コントラスト向上のため. 可能な限り低管電圧撮影が行えるよう留意している. なお, 本症例は, 造影剤量がプロトコルより少ない症例であったが, 低管電圧撮影や後期動脈相の最適な撮影タイミングにより, 副腎静脈を良好に描出し得た.