症例・導⼊事例
※ご紹介する症例は臨床症例の一部を紹介したもので、全ての症例が同様な結果を示すわけではありません。
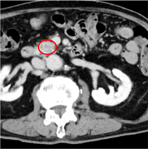
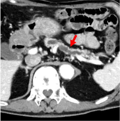
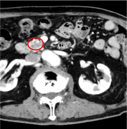
フォトンカウンティングCTにて局在を同定した膵頭部癌の一例
施設名: 名古屋市立大学
執筆者: 放射線医学分野 高石 拓 先生
作成年月:2024年10月
※ 効能又は効果、用法及び用量、警告・禁忌を含む注意事項等情報等については、電子添文をご参照ください。
はじめに
症例背景
80歳代、男性、56kg、膵頭部癌疑い
検査目的
主膵管拡張精査
使用造影剤
イオプロミド370注シリンジ100mL「BYL」/ 100mL
症例解説
気管支炎精査のため近医にて胸部CTを撮像された際に主膵管拡張を指摘、当院に紹介となった。精査目的のため、造影CTが施行された。
撮影プロトコル
表は横スクロールでご覧いただけます。
| 使用機器 | CT機種名/メーカー名 | NAEOTOM Alpha / SIEMENS |
| CT検出器の列数/スライス数 | 288 row | |
| ワークステーション名/メーカー名 | ー |
撮影条件
表は横スクロールでご覧いただけます。
| 撮影時相 | 単純 | 動脈相 | 門脈相 | 平衡相 |
| 管電圧 (kV) | 140 | 140 | 140 | 140 |
| AEC | CARE keV | CARE keV | CARE keV | CARE keV |
| (AECの設定) | IQ level 190 | IQ level 190 | IQ level 190 | IQ level 190 |
| ビーム幅 | 57.6 | 57.6 | 57.6 | 57.6 |
| 撮影スライス厚 (mm) | 0.4 | 0.4 | 0.4 | 0.4 |
| 焦点サイズ (mm) | 0.8*1.2 | 0.8*1.2 | 0.8*1.2 | 0.8*1.2 |
| スキャンモード | Helical | Helical | Helical | Helical |
| スキャン速度(sec/rot) | 0.5 | 0.5 | 0.5 | 0.5 |
| ピッチ | 0.8 | 0.8 | 0.8 | 0.8 |
| スキャン範囲 | 胸腹骨盤部 | 上腹部 | 胸上腹部 | 腹骨盤部 |
| 撮影時間 (sec) | 14 | 5 | 9 | 9 |
| 撮影方向 | 頭⇒足 | 頭⇒足 | 頭⇒足 | 頭⇒足 |
再構成条件
表は横スクロールでご覧いただけます。
| 単純 | 動脈相 | 門脈相 | 平衡相 | |
| ルーチン:再構成スライス厚/間隔 (mm/mm) | 5 / 5, 1 / 1 | 3 / 3, 1 / 1 | 3 / 3, 1 / 1 | 3 / 3, 1 / 1 |
| ルーチン:再構成関数/逐次近似応用法 | QR40 / QIR2 | QR40 / QIR2 | QR40 / QIR2 | QR40 / QIR2 |
| 3D/MPR用:再構成スライス厚/間隔 (mm/mm) | ー | ー | ー | ー |
| 3D/MPR用:再構成関数/逐次近似応用法 | ー | ー | ー | ー |
造影条件
| 自動注入器機種名/メーカー名 | デュアルショットGX7 / Nemoto |
| 造影剤名 | イオプロミド370注シリンジ |
表は横スクロールでご覧いただけます。
| 撮影プロトコル | 動脈相 | 門脈相 | 平衡相 |
| 造影剤:投与量 (mgI/kg) | 660 | ||
| 造影剤:注入時間 (sec) | 30 | ||
| 生食:投与量 (mL) | ー | ー | ー |
| 生食:注入速度 (mL/sec)、注入時間 (sec) | ー | ー | ー |
| スキャンタイミング | BT法 下行大動脈 ROI 150HU | ー | ー |
| ディレイタイム | prep後20sec | prep後50sec | prep後160sec |
| 留置針サイズ (G) | 22 | ||
| 注入圧リミット (kg/cm2) | 12 | ||
当該疾患の診断における造影CTの役割
膵癌は、乏血性の境界不明瞭な腫瘤で、造影後期相で漸増性濃染を示すとともに、上流側主膵管の拡張を示すが、本症例はこの典型像に合致していた。主膵管拡張を来す乏血性の腫瘤の鑑別としては、groove pancreatitisなどの良性病変もあるが、膵頭部癌との鑑別は非常に困難とされており1)、疑わしい症例は早期に内視鏡下生検などの精査を依頼するのが望ましい。
本症例では造影CTにて膵頭部に乏血性病変を認めた。Vater乳頭部にも近接していたため、胆膵内視鏡(ERCP)にて検体採取が可能と判断し、病理学的精査を推奨した。消化器内科にて超音波内視鏡下生検(EUS-FNA)を施行、浸潤性膵管癌(invasive ductal adenocarcinoma)の診断が確定した。近傍のSMAへの浸潤はなく、遠隔転移もなかったことから切除可能であり、約7週間後に消化器外科にて膵頭十二指腸切除術を実施、その後順調な経過をたどっている。
- 1) Raman et al. Groove Pancreatitis: Spectrum of Imaging Findings and Radiology-Pathology Correlation. Am J Roentgenol. 2013;201(1):W29‒W39.
CT技術や撮像プロトコル設定について
Photon Counting CTはX線光子を直接電気信号に変換することができる。従来のCTにおいてはX線光子をシンチレータで光信号に変換して、その後フォトダイオードを介して電気信号に変換していたが、Photon Counting CTはこの間接的なプロセスを省略することができる。これによって、空間分解能と画像コントラストが向上し、病変の視認性が良くなる2)。
当院で採用されているNeotom alphaはスライス厚を最小で0.2mmに設定でき、微細な血管まで描出できることから、外科系診療科より術前シミュレーション画像として非常に有益であると好評を得ている。また、Photon Counting CTは信号の変換効率が良いため、従来より低線量かつ高画質の撮像が可能となった。昨今、特に複数回のダイナミック造影を行う肝胆膵領域などにおいて患者の被曝線量の厳密な管理が求められているが、当院でもCare keVなどのプロトコルを用いることで被曝低減につとめている。
- 2) Flohr et al. Technical Basics and Clinical Benefits of Photon-Counting CT.Invest Radiol. 2023;58(7):441-450.
使用上の注意【電子添文より抜粋】
9.特定の背景を有する患者に関する注意
9.8 高齢者
患者の状態を観察しながら使用量を必要最小限にするなど慎重に投与すること。本剤は主として、腎臓から排泄されるが、高齢者では腎機能が低下していることが多いため、高い血中濃度が持続するおそれがある。[8.6、9.2.1、9.2.2 参照]