症例・導⼊事例
※ご紹介する症例は臨床症例の一部を紹介したもので、全ての症例が同様な結果を示すわけではありません。
ガドビストによる転移性腫瘍の診断と評価
施設名: 済生会横浜市東部病院
執筆者: 放射線診断科 佐藤 浩三 先生 / 放射線部 大内 慈人 先生
作成年月:2024年10月
※ 効能又は効果、用法及び用量、警告・禁忌を含む注意事項等情報等については、電子添文をご参照ください。
はじめに
胃癌は減少傾向とはいえ依然として罹患率、死亡率ともに高い疾患の一つである。胃癌の脳転移は稀であるが予後不良因子のひとつであり、生命の危険だけでなく生活の質低下に直結するため早急に治療を導入する必要がある。原発性脳腫瘍のみならず転移性脳腫瘍においても造影MRIによる詳細な評価が必須である。
ガドビストを用いたMRI検査の方法
手順と撮像 Sequence Parameter
撮像パラメータ
表は横スクロールでご覧いただけます。
| 撮像名 | 撮像シーケンス | 撮像時間 | TE (msec) | TR (msec) | TI (msec) | FA (deg) | Flipback (有無) | Fat Sat (種類) | ETL (数) | 息止め (有無) | NEX (加算回数) |
| T2WI Ax | FSE | 1:05 | 93 | 4595 | ー | 160 | 無 | ー | 18 | 無 | 1 |
| FLAIR Ax | FSE IR | 2:50 | 79 | 10000 | 2685 | 160 | 無 | ー | 18 | 無 | 1 |
| T1WI Ax | FSE IR | 2:03 | 28 | 1300 | 570 | 130 | 無 | ー | 6 | 無 | 1 |
| DWI Ax | EPI | 0:39 | 77 | 5030 | ー | 90 | 無 | chess | 1 | 無 | 1 |
| +Gd 3D T1WI Ax | 3D FSPGR | 3:03 | 4.2 | 7.8 | 23 | 15 | 無 | Special (chess) | 1 | 無 | 1 |
| +Gd T1WI Ax | FSE IR | 2:03 | 28 | 1300 | 570 | 130 | 無 | ー | 6 | 無 | 1 |
| +Gd T1WI Cor | FSE IR | 2:11 | 21 | 1400 | 609 | 130 | 無 | ー | 6 | 無 | 1 |
| +Gd T1WI Sag | FSE IR | 2:11 | 21 | 1400 | 609 | 130 | 無 | ー | 6 | 無 | 1 |
表は横スクロールでご覧いただけます。
| 撮像名 | k-space | 面内分解能 (mm) | Slice厚 (mm) | FOV (mm) | Rectangular FOV(%) | 位相方向 (step数) | リード方向 (matrix数) | 実scan (%) | Slice Gap (mm) | Slice 枚数 | 3D pertition (数) |
| T2WI Ax | linear | 0.6x0.9 | 5 | 220 | 90 | RL | AP 352 | ー | 1 | 24 | ー |
| FLAIR Ax | linear | 0.7x1.0 | 5 | 220 | 90 | RL | AP 320 | ー | 1 | 24 | ー |
| T1WI Ax | linear | 0.6x1.0 | 5 | 220 | 90 | RL | AP 352 | ー | 1 | 24 | ー |
| DWI Ax | single shot | 1.7x1.1 | 5 | 220 | 100 | AP | RL 128 | ー | 1 | 24 | ー |
| +Gd 3D T1WI Ax | linear | 1.0x1.0 | 1 | 256 | 100 | RL | AP 256 | recon 512 | 0 | 216 | 1 |
| +Gd T1WI Ax | linear | 0.6x1.0 | 5 | 220 | 90 | RL | AP 352 | ー | 1 | 23 | ー |
| +Gd T1WI Cor | linear | 0.6x1.0 | 5 | 220 | 90 | RL | SI 352 | ー | 1 | 23 | ー |
| +Gd T1WI Sag | linear | 0.6x1.0 | 5 | 220 | 90 | AP | SI 352 | ー | 1 | 21 | ー |
| MRI装置 | Optima MR450w 1.5T |
| 自動注入器 | Nemoto sonic shot 7 |
| ワークステーション | Ziostation 2 |
表は横スクロールでご覧いただけます。
| 造影条件 | 注入量(mL) | 注入速度(mL/sec) | 撮像タイミング | |
| ガドビスト | 5 | 1 | 注入後すぐ | |
| 後押し用 生理食塩水 | なし | なし |
症例
症例背景と造影MRI検査の目的
70歳代、男性、54kg、胃癌脳転移
主訴:複視・体幹失調。診断名:胃癌脳転移。複視などの訴えにより非造影MRI施行し、多発脳転移が疑われ、全身精査にて胃癌の脳転移と考えられた。
検査目的:転移性脳腫瘍の質的診断と存在診断、放射線治療の適応検索。
症例解説
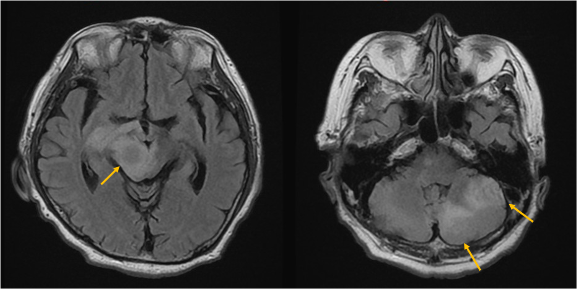
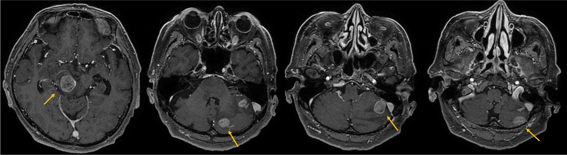
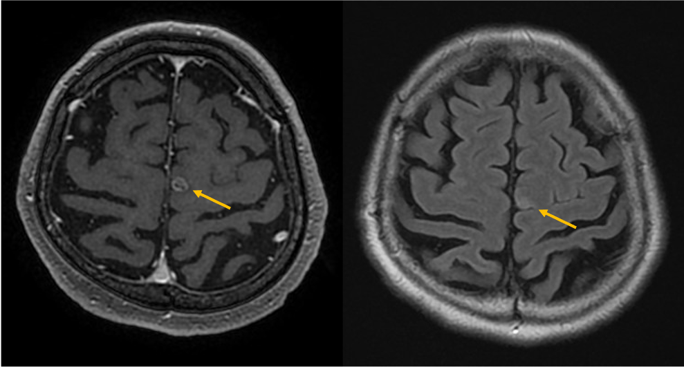
症例は70歳代男性。物が二重に見える、ふらつくとの訴えで来院。非造影MRIにて脳幹部や小脳に4個の多発脳腫瘍が認められ、症状と合致した。全身精査にて進行胃癌が発見され、その脳転移と診断された。放射線治療の適応判定のため造影MRIを施行し、新たに大脳に3個の微小転移が同定された。病変のサイズ・分布から微小転移を含む7個の腫瘍に対して定位放射線治療が可能と判断され、速やかに治療導入に至った。
当該疾患の診断における造影MRIの役割
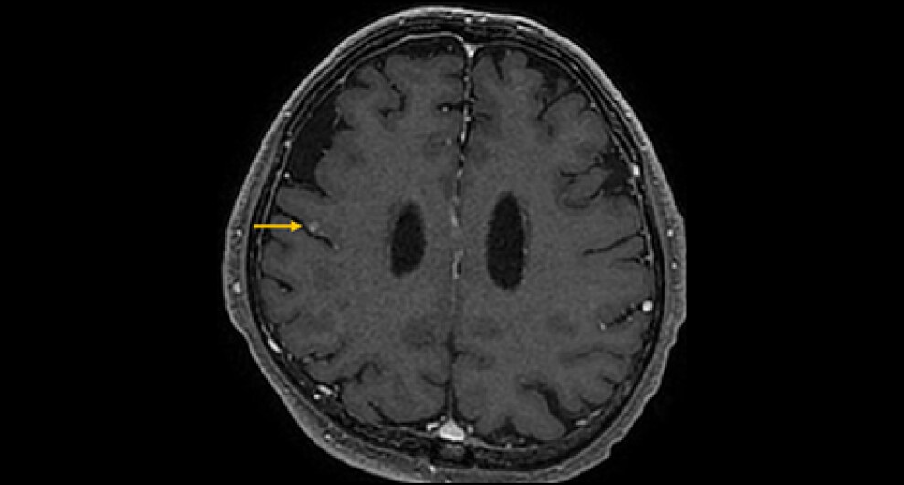
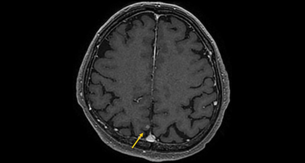
本症例では先行する非造影MRIにて右中脳や左小脳の多発腫瘤が指摘され、周囲に浮腫を伴うことから転移が疑われていたが、病変数や大きさ・範囲ははっきりしなかった。造影MRIを実施することにより、右中脳に1個、左小脳に3個の2㎝大の輪郭の明瞭な腫瘍が確認されたほか、1㎝未満の3個の微小病変を新たに検出できた。非造影MRIを見直したところ7㎜の結節はFLAIRでも淡い高信号を示していたが質的診断は困難であった。3㎜の病変は非造影MRIでは存在診断不能であった。微小病変のうち2個は高位前頭葉の機能的に重要な部位に位置しており、治療適応と考えられた。造影MRIにより腫瘍の正確な個数とサイズ、分布の正確な情報を確認した後、定位放射線治療が可能と判断され、3D-FSPGR画像を治療計画に利用して迅速に治療が開始された。
適切な造影剤使用により精緻な造影MRI画像が取得でき、迅速に治療に結び付けることが可能であった典型的症例のひとつと考えている。
9.特定の背景を有する患者に関する注意【電子添文より抜粋
9.8 高齢者
患者の状態を十分に観察しながら慎重に投与すること。一般に生理機能が低下している。