症例・導⼊事例
はじめに
症例背景
60歳代、男性、61㎏、IgG4関連硬化性胆管炎、自己免疫性膵炎
検査目的
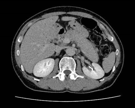
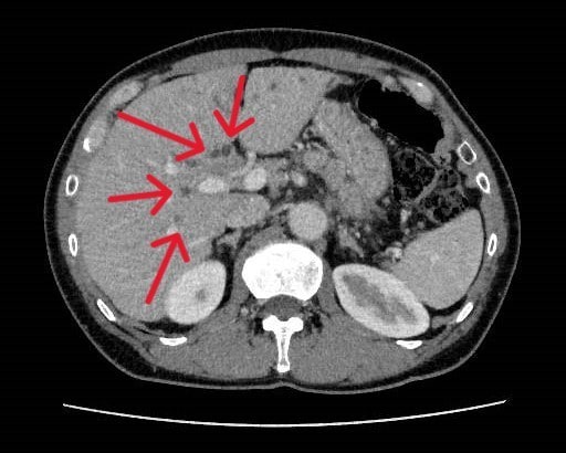
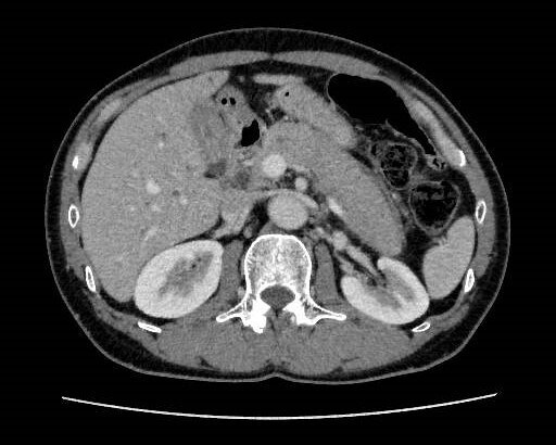
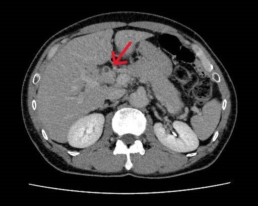
健診にて肝機能異常、皮膚黄染認め、精査目的に腹部骨盤部dynamic CT施行
使用造影剤
イオプロミド370注シリンジ「BYL」/ 97mL
症例解説
健診にて肝機能異常、皮膚黄染を認め、精査目的で当院消化器内科受診となった。今回実施されたdynamic CTではIgG4関連疾患を疑う所見が認められた。血液検査でもIgG4高値を示しており、IgG4関連硬化性胆管炎と自己免疫性膵炎が疑われ、ステロイドでの加療が開始された。
撮影プロトコル
表は横スクロールでご覧いただけます。
| 使用機器 | CT機種名/メーカー名 | Aquilion Prime SP / Canon |
| CT検出器の列数/スライス数 | 80列/160スライス | |
| ワークステーション名/メーカー名 | ー |
撮影条件
表は横スクロールでご覧いただけます。
| 撮影時相 | 単純 | 動脈相 | 門脈相 | 平衡相 |
| 管電圧 (kV) | 120 | 120 | 120 | 120 |
| AEC | SD | SD | SD | SD |
| (AECの設定) | 50-550mA | 50-550mA | 50-550mA | 50-550mA |
| ビーム幅 | 40 | 40 | 40 | 40 |
| 撮影スライス厚 (mm) | 0.5 | 0.5 | 0.5 | 0.5 |
| 焦点サイズ | small | small | small | small |
| スキャンモード | Helical scan | Helical scan | Helical scan | Helical scan |
| スキャン速度(sec/rot) | 0.5 | 0.5 | 0.5 | 0.5 |
| ピッチ | 65 | 65 | 65 | 65 |
| スキャン範囲 | 腹部 | 腹部 | 腹部 | 腹部~骨盤部 |
| 撮影時間 (sec) | 4.6 | 4.6 | 4.6 | 7.6 |
| 撮影方向 | 頭⇒足 | 頭⇒足 | 頭⇒足 | 頭⇒足 |
再構成条件
表は横スクロールでご覧いただけます。
| 単純 | 動脈相 | 門脈相 | 平衡相 | |
| ルーチン:再構成スライス厚/間隔 (mm/mm) | 2 / 2 | 2 / 2 | 2 / 2 | 2 / 2 |
| ルーチン:再構成関数/逐次近似応用法 | FC03 | FC03 | FC03 | FC03 |
| 3D/MPR用:再構成スライス厚/間隔 (mm/mm) | ー | ー | ー | ー |
| 3D/MPR用:再構成関数/逐次近似応用法 | ー | ー | ー | ー |
造影条件
| 自動注入器機種名/メーカー名 | Dual Shot GX7 / 株式会社根本杏林堂 |
| 造影剤名 | イオプロミド370注シリンジ |
表は横スクロールでご覧いただけます。
| 撮影プロトコル | 後期動脈相 | 門脈相 | 平衡相 |
| 造影剤:投与量 (mL) | 97 | ||
| 造影剤:注入速度 (mL/sec)、注入時間 (sec) | 3.0、32 | ||
| 生食:投与量 (mL) | ー | ー | ー |
| 生食:注入速度 (mL/sec)、注入時間 (sec) | ー | ー | ー |
| スキャンタイミング | 固定法 | 固定法 | 固定法 |
| ディレイタイム | 造影剤注入開始40秒後 | 造影剤注入開始70秒後 | 造影剤注入開始180秒後 |
| 留置針サイズ (G) | 22 | ||
| 注入圧リミット (kg/cm2) | 9 | ||
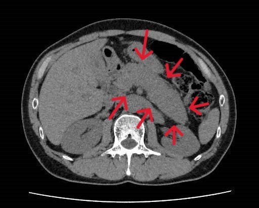
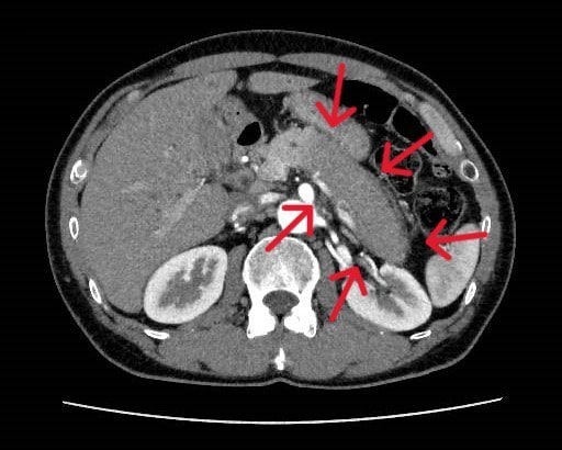
当該疾患の診断における造影CTの役割
IgG4関連疾患とは血清IgG4高値とIgG4陽性形質細胞の浸潤、線維化による臓器の腫瘤性、肥厚性病変を呈する全身性慢性疾患である。診断は臨床的及び画像学的診断、血清学的診断、病理学的診断によって行われる。今回実施されたdynamic CTでは胆道狭窄と膵臓のびまん性腫大、膵辺縁部の被膜様構造の所見があり、IgG4関連疾患の診断に有用であったといえる。