症例・導⼊事例
※ご紹介する症例は臨床症例の一部を紹介したもので、全ての症例が同様な結果を示すわけではありません。
小腸出血の一例
施設名: 徳島大学病院
執筆者: 放射線科 平岡 淳一郎 先生、原田 雅史 先生 / 医療技術部 湯浅 将生 先生
作成年月:2024年9月
※ 効能又は効果、用法及び用量、警告・禁忌を含む注意事項等情報等については、電子添文をご参照ください。
はじめに
症例背景
50歳代、女性、45kg、小腸出血
検査目的
主訴は下血。消化管出血の有無や出血源の精査を目的に造影CTを施行した。
使用造影剤
イオプロミド300注シリンジ「BYL」/ 90mL
症例解説
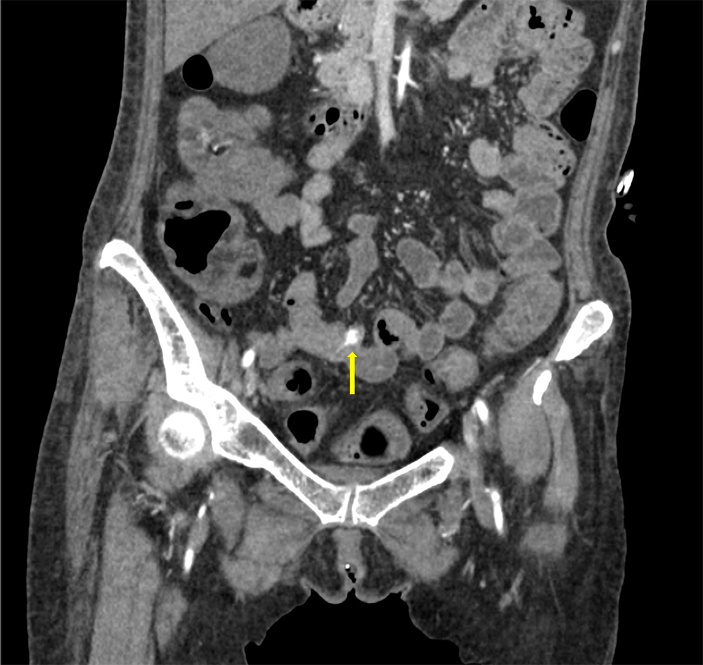
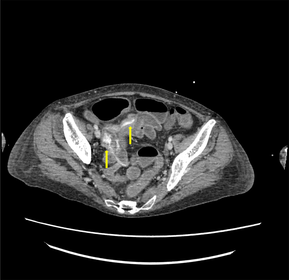
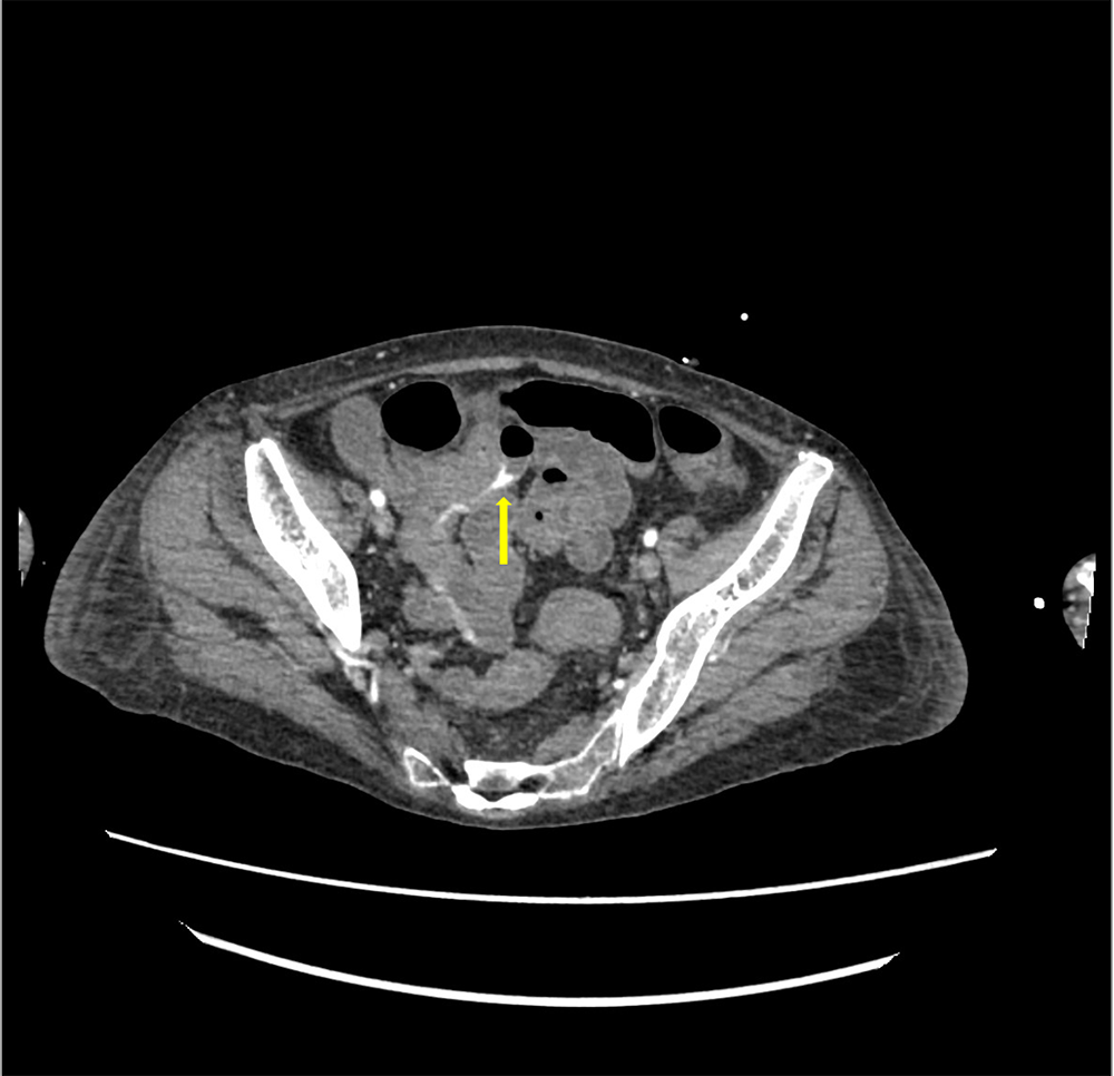
サイトメガロウイルス感染症を背景に下血がみられ消化管出血が疑われた。出血源の精査目的に造影CTが施行された。造影CTにて回腸で造影剤の血管外漏出像がみられ、出血源と考えられた。
造影CT撮像後、直ちに経カテーテル的血管塞栓術を施行し原因血管を金属コイルで塞栓し止血を得ることができた。
撮影プロトコル
表は横スクロールでご覧いただけます。
| 使用機器 | CT機種名/メーカー名 | Aquilion ONE / VISION edition |
| CT検出器の列数/スライス数 | 320列 | |
| ワークステーション名/メーカー名 | ー |
撮影条件
表は横スクロールでご覧いただけます。
| 撮影時相 | 単純 | 動脈相 | 静脈相 |
|---|---|---|---|
| 管電圧 (kV) | 120 | 120 | 120 |
| AEC | あり | あり | あり |
| (AECの設定) | SD7.5 | SD7.5 | SD7.5 |
| ビーム幅 | 80 | 80 | 80 |
| 撮影スライス厚 (mm) | 0.5 | 0.5 | 0.5 |
| 焦点サイズ | 大 | 大 | 大 |
| スキャンモード | Helical | Helical | Helical |
| スキャン速度(sec/rot) | 0.5 | 0.5 | 0.5 |
| ピッチ | PF0.8 | PF0.8 | PF0.8 |
| スキャン範囲 | 上腹部から骨盤部 | 上腹部から骨盤部 | 上腹部から骨盤部 |
| 撮影時間 (sec) | 8.9 | 8.9 | 8.9 |
| 撮影方向 | 頭から足 | 頭から足 | 頭から足 |
再構成条件
表は横スクロールでご覧いただけます。
| 単純 | 動脈相 | 静脈相 | |
|---|---|---|---|
| ルーチン:再構成スライス厚/間隔 (mm/mm) | 1 / 1 | 1 / 1 | 1 / 1 |
| ルーチン:再構成関数/逐次近似応用法 | FC14 / AIDR3D STR | FC14 / AIDR3D STR | FC14 / AIDR3D STR |
| 3D/MPR用:再構成スライス厚/間隔 (mm/mm) | ー | ー | ー |
| 3D/MPR用:再構成関数/逐次近似応用法 | ー | ー | ー |
造影条件
| 自動注入器機種名/メーカー名 | DualShot GX7/根本杏林堂 |
|---|---|
| 造影剤名 | イオプロミド300注シリンジ |
表は横スクロールでご覧いただけます。
| 撮影プロトコル | 動脈相 | 静脈相 |
| 造影剤:投与量 (mL) | 90 | |
| 造影剤:注入速度 (mL/sec) | 3 | |
| 生食:投与量 (mL) | 40 | |
| 生食:注入速度 (mL/sec) | 3 | |
| スキャンタイミング | BT法(心臓付近の下行大動脈 CT閾値140HU) | ー |
| ディレイタイム | CT閾値到達後+15秒 | 造影剤注入開始120秒後 |
| 留置針サイズ (G) | 22 | |
| 注入圧リミット (kg/cm2) | 15 | |
消化管出血の検索時には同部位の単純CTが必要です。動脈相、静脈相での比較が容易になります。今回の患者は状態が悪く、息止め不可、また両上肢は下垂の為、BT法時のROI位置が肘関節にかからない位置で(アーチファクト除去)設定しています。腹部の細血管に造影剤を送りこみたいために秒3mLで注入しています。この場合生理食塩水後押しは必須だと考えます。今回の検査で責任血管は同定できましたが、留置針が20Gであるならば秒4mL注入、また高濃度造影剤使用も考慮していいと思います。
当該疾患の診断における造影CTの役割
消化管出血において、新鮮なものであれば単純CTで消化管内の血球成分が高吸収を示し、出血の有無については判別できることもあるが、出血源の同定はしばしば困難となりうる。この場合造影ダイナミックCTによる精査が必要となる。造影CTを撮像することで、出血源の同定や出血の程度を評価することができ、経カテーテル的血管塞栓術が検討される場合に責任血管までのアクセスルートも確認することが可能である。
撮影時の注意点として、造影CTのみを撮像してしまうと消化管内に高吸収を示す残渣や憩室内の糞石などがみられた場合に造影剤の血管外漏出像との判別が困難となることがあるため、同時に単純CTもあわせて撮像することで判別の補助となりうる。また下部消化管出血はしばしば間欠的に出血するため、造影CT撮像のタイミングで出血が止まっていれば出血源の同定が困難となることがあり、注意が必要である。
CT技術や撮像プロトコル設定について
- 出血源の同定のために単純+動脈相+静脈相のCT検査施行。
- 造影剤量はイオプロミド300 90mL+生理食塩水40mLの後押し。
- 造影タイミングは動脈相は心臓部周辺の下行大動脈にROIを置きCT値140HU+15秒でスタート。
- 静脈相のディレイタイムは、造影剤注入開始120秒後としている。
- ボーラストラッキング、モニタリング位置は両上肢下垂で施行したため、肘関節からのアーチファクトを避けるため心臓部周辺の下行大動脈に設定している。