症例・導⼊事例
※ご紹介する症例は臨床症例の一部を紹介したもので、全ての症例が同様な結果を示すわけではありません。
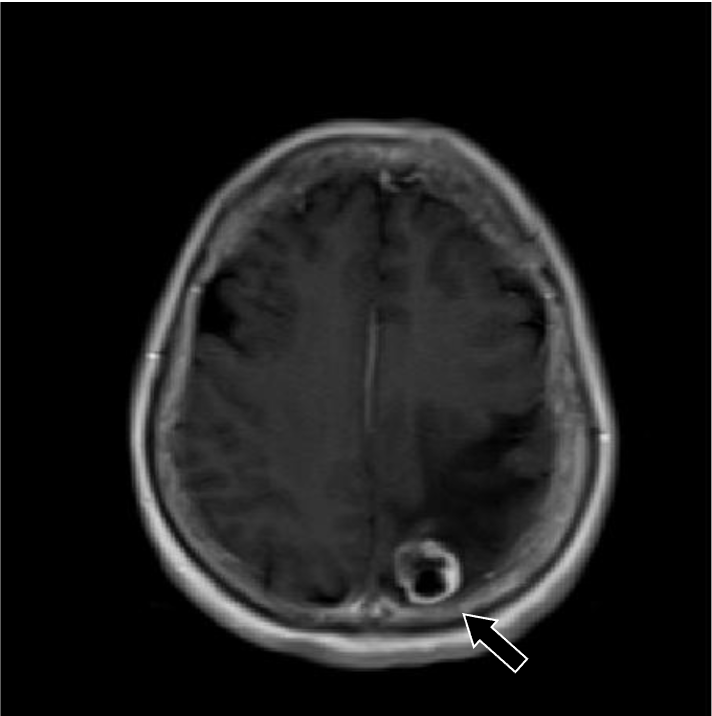
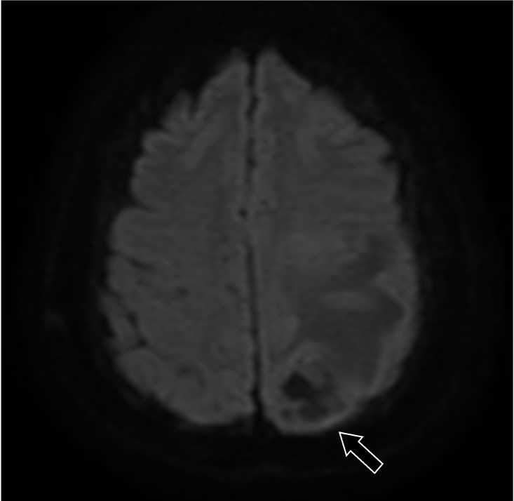
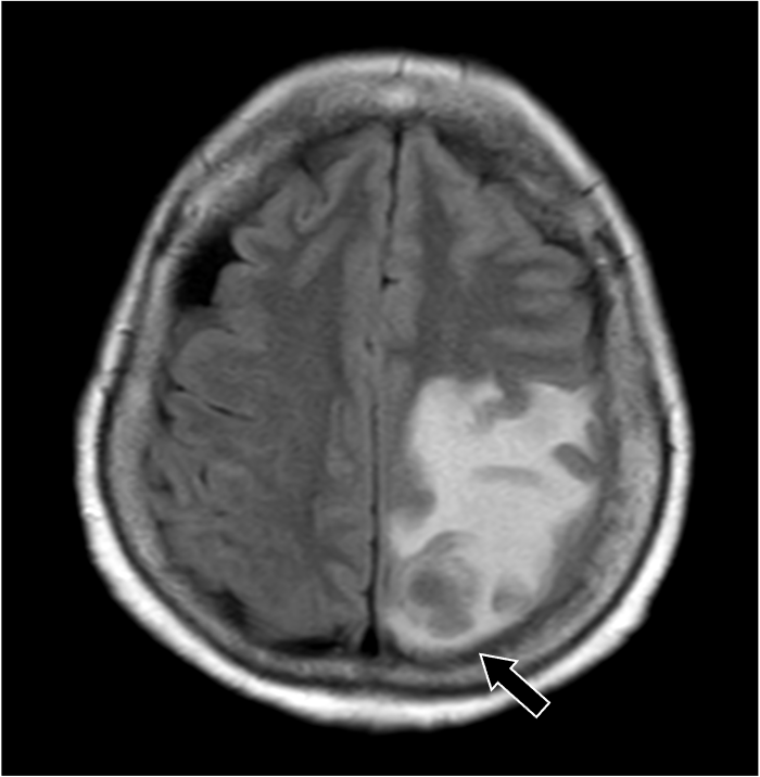
転移性脳腫瘍における造影T1強調画像の症例
施設名: 順天堂大学医学部附属練馬病院
執筆者: 放射線科 木村 琢 先生、尾﨑 裕 先生
作成年月:2024年9月
※ 効能又は効果、用法及び用量、警告・禁忌を含む注意事項等情報等については、電子添文をご参照ください。
はじめに
転移性脳腫瘍は無症状であることも多く、非侵襲的にスクリーニングが可能な画像診断が重要な役割を果たしている。単純MRIでは病変の大きさや数を過小・過大評価する傾向があり、治療方針決定のため造影併用での正確な評価が求められる。特に単純MRI検査で検出できないような小病変や、広範な浮腫を伴う症例においては、造影MRI検査を行うことで病変を検出・特定できることがあり有用である。
ガドビストを用いたMRI検査の方法
撮像パラメータ
表は横スクロールでご覧いただけます。
| 撮像名 | 撮像シーケンス | 撮像時間 | TE (msec) | TR (msec) | TI (msec) | FA (deg) | Fat Sat (種類) | ETL (数) | P-MRI (Reduction Factor) | NEX (加算回数) |
|---|---|---|---|---|---|---|---|---|---|---|
| diffusion | resolve DWI | 1min11sec | 59.2 | 4980 | ー | 180 | chess | EPI factor 62 | GRAPPA 2 | 1 |
| T2WI | FSE | 1min48sec | 88 | 4000 | ー | 150 | ー | 11 | GRAPPA 3 | 2 |
| T1WI | T1-FLAIR | 58sec | 8.4 | 2000 | 859 | 130 | ー | 6 | GRAPPA 3 | 1 |
| FLAIR | T2-FLAIR | 1min20sec | 103 | 10000 | 2638 | 180 | ー | 28 | GRAPPA 3 | 1 |
| GdT1WI | T1-FLAIR | 58sec | 8.4 | 2000 | 859 | 130 | ー | 6 | GRAPPA 3 | 1 |
表は横スクロールでご覧いただけます。
| 撮像名 | k-space | 面内分解能 (mm) | Slice厚 (mm) | FOV (mm) | Rectangular FOV(%) | 位相方向 (step数) | リード方向 (matrix数) | 実scan (%) | Slice Gap (mm) | Slice 枚数 |
|---|---|---|---|---|---|---|---|---|---|---|
| diffusion | readout segments | 1.9×1.9 | 6 | 240 | 100 | 124 | 124 | 75 | 1.2 | 22 |
| T2WI | cartesian | 0.4×0.4 | 6 | 240 | 89 | 260 | 416 | 100 | 1.2 | 22 |
| T1WI | cartesian | 0.8×0.8 | 6 | 240 | 90.60 | 174 | 320 | 100 | 1.2 | 22 |
| FLAIR | cartesian | 0.8×0.8 | 6 | 240 | 90.60 | 203 | 320 | 100 | 1.2 | 22 |
| GdT1WI | cartesian | 0.8×0.8 | 6 | 240 | 90.60 | 174 | 320 | 100 | ー | 22 |
| MRI装置 | MAGNETOM Vida 3T |
|---|---|
| 自動注入器 | ー |
| ワークステーション | ー |
表は横スクロールでご覧いただけます。
| 造影条件 | 注入量(ml/kg) | 注入速度(mL/sec) | 撮像タイミング | |
| ガドビスト | 0.1 | ー | IVから1分後 | |
| 後押し用 生理食塩水 | ー | ー |
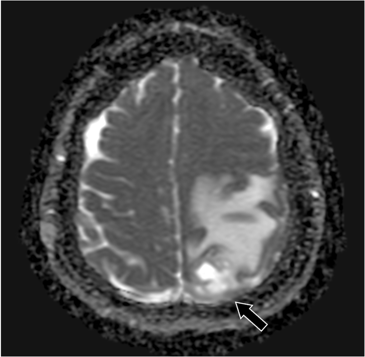
症例
症例背景と造影MRI検査の目的
70歳代、女性、60kg、転移性脳腫瘍
202X年より右手指知覚障害、頭痛を自覚。数日後から頻回嘔吐や右下肢運動障害があり、頭部造影MRIにて精査。既往に転移性肺腫瘤の治療歴あり。
症例解説
201X年腎細胞癌に対して手術を施行。術後経過で肺転移が出現。外科的切除および化学療法にて縮小を維持していた。202X年神経症状が出現し、頭部造影MRIにて左頭頂葉の孤発性脳転移と診断された。開頭腫瘍摘出術および定位照射を行い、再発なく経過している。
当該疾患の診断における造影MRIの役割
造影MRI検査は単純MRI検査と比較して、追加病変の検出能や診断精度の向上が示されている。造影MRI検査は、非腫瘍性白質疾患(慢性微小血管虚血性疾患など)を転移性腫瘍と鑑別する上でも有用である。脳腫瘍では腫瘍周囲に血管原性浮腫を認める場合があるが、高悪性度の原発性脳腫瘍と比較して、転移性脳腫瘍では腫瘍径に対する血管原性浮腫の面積が広いことが報告されている。単純MRI検査では腫瘍径を過大評価する可能性があり、術前・放射線治療計画等に際して造影MRI検査による適切な評価が求められる。
9.特定の背景を有する患者に関する注意【電子添文より抜粋】
9.8高齢者
患者の状態を十分に観察しながら慎重に投与すること。一般に生理機能が低下している。