症例・導⼊事例
※ご紹介する症例は臨床症例の一部を紹介したもので、全ての症例が同様な結果を示すわけではありません。
腸管ガスが多いときの前立腺癌の評価:ダイナミック造影MRIの役割
施設名: 島根大学医学部附属病院
執筆者: 放射線部 松尾 和明 先生、麻生弘哉 先生 / 放射線医学講座 吉田 理佳 先生、楫 靖 先生
作成年月:2024年9月
※ 効能又は効果、用法及び用量、警告・禁忌を含む注意事項等情報等については、電子添文をご参照ください。
はじめに
前立腺癌は泌尿器科領域で、最も頻度が高い悪性腫瘍である。罹患数の増加と前立腺特異抗原(prostate-specific antigen: PSA)検診の普及によってMRI検査が増加している。前立腺MRIは、撮像方法や読影方法が標準化され、治療介入が必要な前立腺癌、即ち臨床的に意義のある癌を効率的に検出できる。しかし、基礎疾患の多い高齢男性が多く、鎮痙薬も使いづらい。腸管ガスや蠕動によって画質が低下することが、臨床上問題となっている。
ガドビストを用いたMRI検査の方法
撮像パラメータ
表は横スクロールでご覧いただけます。
| 撮像名 | 撮像シー ケンス | 撮像時間 (min:sec) | TE (msec) | TR (msec) | FA (deg) | Flipback (有無) | Fat Sat (種類) | ETL (数) | P-MRI (Reduction Factor) | NEX (加算回数) | k-space |
| T2WI TRA | TSE | 3:47 | 120 | 6671 | 90 | 無 | ー | 17 | ー | 1 | cartesian asymmetric |
| T1WI TRA | TSE | 2:58 | 8.4 | 542 | 90 | 無 | ー | 4 | SENSE2 | 2 | cartesian asymmetric |
| DWI TRA | single shot EPI | 4:47 | 66 | 4226 | 90 | 無 | SPAIR | EPI factor117 | CS-SE NSE2 | 3 | single shot |
| T2WI COR | TSE | 3:27 | 120 | 5761 | 90 | 無 | ー | 22 | CS1 | 1 | cartesian asymmetric |
| +CE Dynamic T1WI TRA | TFE | 0:11 | 1.63 | 3.3 | 11 | 無 | SPAIR | 30 | AI-CS SENSE4 | 1 | cartesian Linear |
| +CE T1WI SAG | TFE | 0:14 | 1.64 | 3.3 | 10 | 無 | SPAIR | 30 | SENSE1.4 | 1 | cartesian Linear |
| +CE T1WI COR | TFE | 0:42 | 1.79 | 3.5 | 10 | 無 | SPAIR | 30 | SENSE1 | 1 | cartesian Linear |
| +CE T1WI TRA | TSE | 3:15 | 8.4 | 595 | 90 | 無 | SPIR | 4 | SENSE2 | 2 | cartesian asymmetric |
| option | ー | ー | ー | ー | ー | ー | ー | ー | ー | ー | ー |
| TSE DWI | TSE | 4:00 | 59 | 4000 | 90 | 無 | SPAIR | 38 | SENSE3 | 3 | cartesian Low-High |
表は横スクロールでご覧いただけます。
| 撮像名 | 面内分解能 (mm) | Slice厚 (mm) | FOV (mm) | Rectangular FOV(%) | 位相方向 (step数) | リード方向 (matrix数) | 実scan (%) | Slice Gap (mm) | Slice 枚数 | 3D pertition (数) | 3D over sampling(%) |
| T2WI TRA | 0.57×0.73 | 2 | 220 | 89 | RL (78%) | AP 384 | recon 512 | 0 | 36 | ー | ー |
| T1WI TRA | 0.86×1.07 | 2 | 220 | 94 | RL (80%) | AP 256 | recon 512 | 0 | 36 | ー | ー |
| DWI TRA | 1.96×1.41 | 4 | 220 | 103 | AP (140%) | RL 112 | recon 256 | 0.4 | 22 | ー | ー |
| T2WI COR | 0.57×0.76 | 2.5 | 220 | 100 | RL (75%) | AP 384 | recon 512 | 0 | 27 | ー | ー |
| +CE Dynamic T1WI TRA | 1.04×1.02 | 3 | 250 | 100 | RL (102%) | AP 240 | recon 512 | 0 | 30 | 1 | default |
| +CE T1WI SAG | 1.17×1.46 | 3 | 280 | 90 | AP (80%) | RL 240 | recon 512 | 0 | 30 | 1 | default |
| +CE T1WI COR | 1.17×1.30 | 3 | 280 | 100 | RL (90%) | AP 240 | recon 512 | 0 | 30 | 1 | default |
| +CE T1WI TRA | 0.86×1.07 | 2 | 220 | 94 | RL (102%) | AP 256 | recon 512 | 0 | 36 | ー | ー |
| option | ー | ー | ー | ー | ー | ー | ー | ー | ー | ー | ー |
| TSE DWI | 1.96×1.41 | 4 | 220 | 103 | AP (140%) | RL 112 | recon 256 | 0.4 | 22 | ー | ー |
| MRI装置 | Ingenia Elition 3.0T (PHILIPS) |
| 自動注入器 | Nemoto sonic shot 7 |
| ワークステーション | ー |
表は横スクロールでご覧いただけます。
| 造影条件 | 注入量(mL) | 注入速度(mL/sec) | 撮像タイミング | |
| ガドビスト | 6.7 (体重×0.1) | 2 | dynamic | |
| 後押し用 生理食塩水 | 50 | 1 |
CS1はdenoise効果のみ利用
SENSE1は折り返しアーチファクト防止で利用
TSE DWIは直腸ガスによる影響がある場合に追加撮像
Dynamic 撮像はpre-13 phase撮像後に他断面撮像し,約6分後にdelay phaaseを撮像
症例
症例背景と造影MRI検査の目的
70歳代、男性、75㎏、前立腺癌
PSA高値精査(12ng/ml)
症例解説
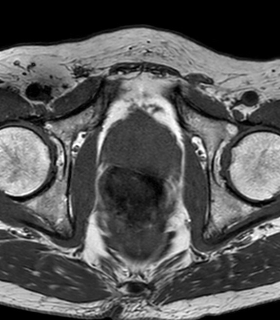
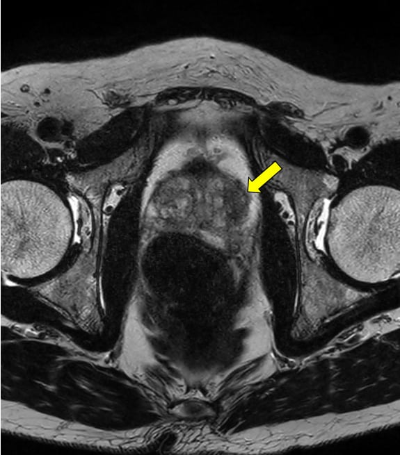
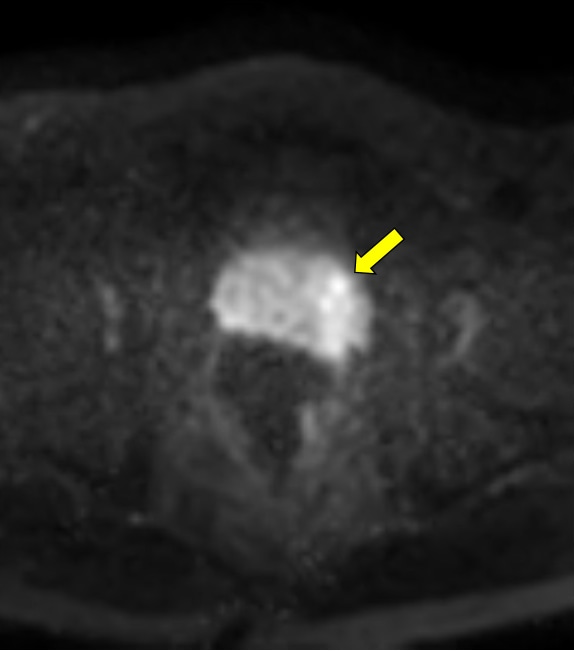
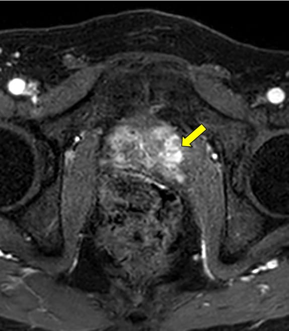
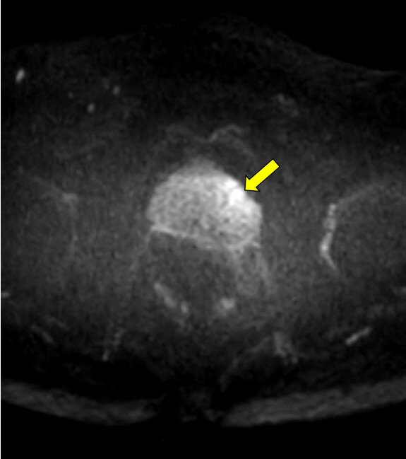
本症例ではPSA高値を契機に前立腺MRI検査を施行した。便秘症があるため、直腸は拡張し、内部にガスを含む便塊を認める。鎮痙薬は、既往症のため、使用せず、検査前の排便も不可能であったために、画質劣化が避けられない。腸管ガスによるひずみの影響で、全ての撮像シーケンスで、前立腺の後方の辺縁は不鮮明で、内部の信号が不均一となる。特に空気や蠕動の影響を受けやすい、拡散強調画像での画質劣化が著しい。
当該疾患の診断における造影MRIの役割
近年、前立腺癌のMRI診断のばらつきを減らし、撮影・読影方法を標準化するために、Prostate Imaging and Reporting and Data System(PI-RADS)が広まっている。これは、治療介入が必要な前立腺癌の検出を目的としている。現在のPI-RADS v2.1では、T2強調画像、拡散強調画像、ダイナミック造影画像を個別に評価し、各画像でスコアを付け、定められたルールに基づいて統合し、臨床的に意義のある癌の疑い度合いを5段階で分類する。PI-RADS v2.1では、質の高いT2強調画像と拡散強調画像があれば、必ずしも造影検査は必要ない。
しかし、本症例のように腸管ガスや蠕動の影響で画質が劣化する場合は、撮像の工夫が必要になる。
拡散強調画像(DWI)では、腸管ガスによるひずみの影響を減らすため、echo planar imaging(EPI)を用いたDWIよりTurbo spin echo(TSE)を用いたDWIを使用する。high b valueの画像は、computed DWIで作成することで、実際の撮像よりもノイズを低減できる場合がある。また、ダイナミック造影MRIを追加すると、短時間撮影のため前立腺の輪郭も明瞭で、癌部と非癌部のコントラストがつき、病変の検出に役立つ場合がある。
9.特定の背景を有する患者に関する注意【電子添文より抜粋】
9.8 高齢者
患者の状態を十分に観察しながら慎重に投与すること。一般に生理機能が低下している。