症例・導⼊事例

※ご紹介する症例は臨床症例の一部を紹介したもので、全ての症例が同様な結果を示すわけではありません。

造影CTによる血管破格の評価

施設名: 昭和大学横浜市北部病院
執筆者: 放射線科 福谷 光平 先生、竹山 信之 先生、藤澤 英文 先生
作成年月:2024年9月

※ 効能又は効果、用法及び用量、警告・禁忌を含む注意事項等情報等については、電子添文をご参照ください。

はじめに

症例背景

70歳代、女性、55kg、左鎖骨下動脈狭窄症

検査目的

主訴: 左手しびれ、血圧左右差
主訴の原因として血管病変が疑われ、精査目的に造影CT施行。

使用造影剤

イオプロミド370注シリンジ100mL「BYL」/ 100mL

症例解説

患者は左手しびれ、血圧の左右差で循環器内科を受診し、造影CTが施行された。左鎖骨下動脈は石灰化で高度狭窄が疑われたが、末梢の描出は保たれていた。また、Bovine archおよび左椎骨動脈の大動脈弓直接起始といった血管破格も発見された。本症例は中枢神経疾患の精査目的に脳神経外科に紹介された。

画像所見

図1.造影CT早期動脈相冠状断
左鎖骨下動脈起始部に著明な石灰化を認めた。末梢の描出は保たれていた。

図2.造影CT早期動脈相矢状断
左鎖骨下動脈起始部は石灰化により高度狭窄が疑われた。

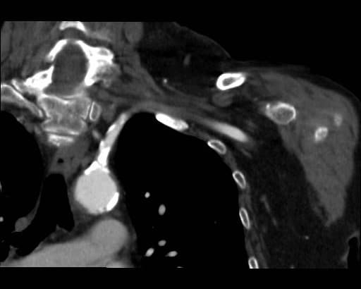
図3.造影CT早期動脈相MIP画像 LAO 45°
図2同様、左鎖骨下動脈起始部は石灰化により高度狭窄が疑われた。

図4.胸部血管 VR (Volume Rendering) 画像 正面像
Bovine archを認める。

図5.胸部血管 VR (Volume Rendering) 画像 LAO 60°
左椎骨動脈の大動脈弓直接起始を認める。

撮影プロトコル

表は横スクロールでご覧いただけます。

使用機器CT機種名/メーカー名Aquilion ONE / Canon
CT検出器の列数/スライス数320 / 640
ワークステーション名/メーカー名Ziostation REVORAS / ザイオソフト株式会社

撮影条件

表は横スクロールでご覧いただけます。

撮影時相単純早期動脈相後期相
管電圧 (kV)120120120
AECvolumEC SD:5.0volumEC SD:5.0volumEC SD:5.0
(AECの設定)150-500mA150-500mA150-500mA
ビーム幅404040
撮影スライス厚 (mm)0.50.250.25
焦点サイズsmallsmallsmall
スキャンモードHelicalHelicalHelical
スキャン速度(sec/rot)0.50.50.5
ピッチ656565
スキャン範囲胸部胸部胸部
撮影時間 (sec)488
撮影方向足⇒頭足⇒頭足⇒頭

再構成条件

表は横スクロールでご覧いただけます。

 単純早期動脈相後期相
ルーチン:再構成スライス厚/間隔 (mm/mm)7 / 72 / 22 / 2
ルーチン:再構成関数/逐次近似応用法FC03FC03FC03
3D/MPR用:再構成スライス厚/間隔 (mm/mm)0.5 / 0.30.5 / 0.30.5 / 0.3
3D/MPR用:再構成関数/逐次近似応用法FC03FC03FC03

造影条件

自動注入器機種名/メーカー名Dual Shot GX7 / 株式会社根本杏林堂
造影剤名イオプロミド370注シリンジ

表は横スクロールでご覧いただけます。

 早期動脈相後期相
造影剤:投与量 (mL)100(体重により可変)
造影剤:注入速度(mL/sec)33(体重により可変)
生食:投与量 (mL)
生食:注入速度(mL/sec)、注入時間 (sec)
スキャンタイミングBT法BT法
ディレイタイムトリガー後18secトリガー後180sec
留置針サイズ (G)20-22
注入圧リミット (kg/cm2)10(142psi)

当該疾患の診断における造影CTの役割

本症例は鎖骨下動脈狭窄症評価目的に施行された造影CTである。鎖骨下動脈狭窄症では上肢の疲労感や冷感、しびれなどが出現する。椎骨動脈分岐部より中枢側で狭窄をきたした場合は脳虚血のリスクになり、血行動態を把握することは重要である。造影CTでは比較的非侵襲的に血行動態を観察するのに有用である。鎖骨下動脈の評価のみならず、その他の血管について、狭窄や瘤形成、破格などを観察できる。今後脳梗塞をきたし、カテーテル治療をする場合は事前に血管破格などを知ることができる。今回は椎骨動脈直接起始という血管破格もみつかり、鎖骨下動脈狭窄が椎骨動脈血流低下を及ぼすリスクを評価できた。

使用上の注意【電子添文より抜粋】

  • 9.特定の背景を有する患者に関する注意

    9.8 高齢者
    患者の状態を観察しながら使用量を必要最小限にするなど慎重に投与すること。本剤は主として、腎臓から排泄されるが、高齢者では腎機能が低下していることが多いため、高い血中濃度が持続するおそれがある。[8.6、9.2.1、9.2.2 参照]