症例・導⼊事例

※ご紹介する症例は臨床症例の一部を紹介したもので、全ての症例が同様な結果を示すわけではありません。

部分肺静脈還流異常を伴う静脈洞型心房中隔欠損症

施設名: 横浜市立大学附属病院
執筆者: 放射線診断科 安田 尚史 先生、宇都宮 大輔 先生 / 放射線部 泉 敏治 先生
作成年月:2024年8月

※ 効能又は効果、用法及び用量、警告・禁忌を含む注意事項等情報等については、電子添文をご参照ください。

はじめに

症例背景

10歳代、男性、36kg、静脈洞型心房中隔欠損症、部分肺静脈還流異常

検査目的

経胸壁心臓超音波検査で指摘された部分肺静脈還流異常の精査目的に心臓大血管CT施行

使用造影剤

イオプロミド300注シリンジ100mL「BYL」/ 68mL

症例解説

患者は学校の心臓検診の心電図検査で不完全右脚ブロックを指摘された。他院の経胸壁心臓超音波検査で部分肺静脈還流異常が疑われ、精査加療目的に当院紹介となった。造影CT検査で静脈洞型心房中隔欠損と右下肺静脈の下大静脈への流入を認めた。右室の拡大もみられ、将来的な右心不全や不整脈発症のリスクを考慮され外科的修復術が施行された。術後の経過は良好で、3ヶ月後の造影CT検査でも右肺静脈の還流に異常はなく、右心系の拡大は改善を認めた。

画像所見

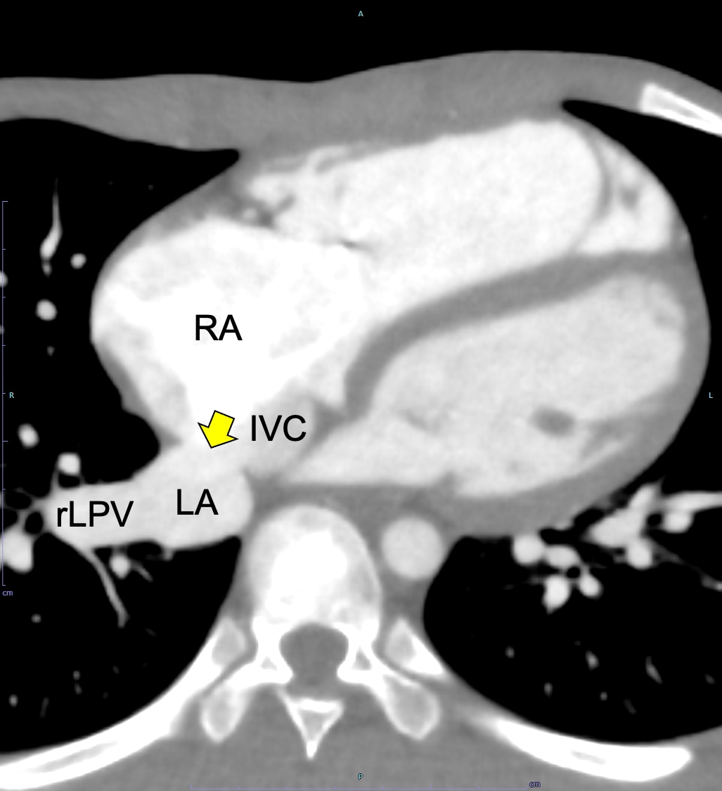
図1.心電図同期造影CT水平断(動脈相、欠損孔レベル)
下大静脈付近で左右の心房間に欠損孔(矢印)を認める。RA: 右心房、 LA:左心房、rLPV: 右下肺静脈、IVC: 下大静脈

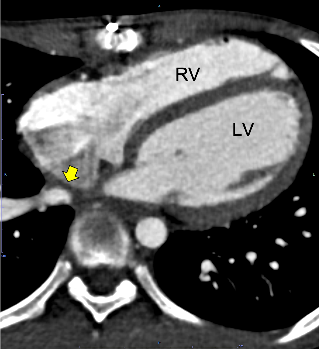
図2.心電図同期造影CT水平断(動脈相、心尖部レベル)
右室の拡大を認める。RV: 右心室、LV: 左心室

図3.心電図同期造影CTボリューム・レンダリング画像(動脈相)
右下肺静脈は右心房直下の下大静脈および左心房に流入している。(矢印)

図4.心電図同期造影CTボリューム・レンダリング画像(動脈相)
25×15mm大の欠損孔を認める。(矢印)

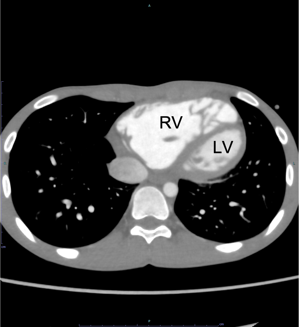
図5.心電図同期造影CT水平断(動脈相、外科的修復術後)
欠損孔は閉鎖されている。(矢印)右室の拡大にも改善を認める。

撮影プロトコル

表は横スクロールでご覧いただけます。

使用機器CT機種名/メーカー名Aquilion ONE PRISM Edition / Canon
CT検出器の列数/スライス数320列
ワークステーション名/メーカー名ZAIO Station / ZAIO soft

撮影条件

表は横スクロールでご覧いただけます。

撮影時相動脈相
管電圧 (kV)80
AEC (mm)30 / 0.5
ビーム幅0.5×160
撮影スライス厚 (mm)0.5
焦点サイズL
スキャンモードHelical
スキャン速度(sec/rot)0.275
ピッチ0.125
スキャン範囲胸部
撮影時間 (sec)10
撮影方向頭⇒足

再構成条件

表は横スクロールでご覧いただけます。

 動脈相
ルーチン:再構成スライス厚/間隔 (mm/mm)2.0 / 2.0
ルーチン:再構成関数/逐次近似応用法AiCE Cardiac Standerd
3D/MPR用:再構成スライス厚/間隔 (mm/mm)0.5 / 0.3
3D/MPR用:再構成関数/逐次近似応用法AiCE Cardiac Standerd

造影条件

自動注入器機種名/メーカー名デュアルショットGX-7 / 根本杏林堂
造影剤名イオプロミド300注シリンジ

表は横スクロールでご覧いただけます。

 動脈相
造影剤:投与量 (mL)68
造影剤:注入速度 (mL/sec)3.0
生食:投与量 (mL)15
生食:注入速度 (mL/sec)3.0
スキャンタイミング固定法
ディレイタイム造影剤注入開始25秒後
留置針サイズ (G)22
注入圧リミット (kg/cm2)10

小児先天性心疾患では被曝低減を目的にスキャンタイミングを固定法で行っている。今回は肺動静脈還流異常の評価を主目的とし、冠動脈、心房中隔欠損の評価も兼ねていたため心電同期によるダイナミック撮影を行った。撮影後の3D作成を考慮し高いCT値になるよう造影剤の注入レートおよび撮像条件を設定した。

当該疾患の診断における造影CTの役割

心房中隔欠損(atrial septal defect: ASD)は、欠損孔の部位に基づいて二次孔欠損、一次孔欠損、静脈洞欠損(上位型・下位型)、冠静脈洞欠損に分類される。その中でも静脈洞欠損型は、心房中隔欠損全体の4-11%に生じ、さらに下大静脈近傍に両心房間の交通を認める下位型は非常に稀(ASD全体の1%未満)である1)。基本は左ー右短絡となるが、肺高血圧の進行により右ー左短絡の出現(Eisenmenger症候群)がみられる。他のASDの型と比較し、静脈洞欠損型は経胸壁心臓超音波検査では検出困難であることが多い。治療方針の決定には欠損孔の正確な位置やサイズ、冠動脈を含めた心臓の解剖学的構造の評価が重要であり、造影CT検査ではこれらの評価が可能である。また心房中隔欠損のおよそ30%に何らかの先天性心病変を合併するとされ、特に肺静脈還流異常の合併例は外科的治療となるのが一般的であり、他の心血管系病変の合併についても見落とすことがないように注意が必要となる2)。ただし、小児では造影剤を使用することや被ばくの問題があり、造影CT検査から得られる 3D 画像情報のもたらす利益が、放射線被ばくや造影剤による不利益を明らかに上回る場合にのみ実施される必要がある3)

参考文献

1)

Brida M, Chessa M, Celermajer D, Li W, Geva T, Khairy P, Griselli M, Baumgartner H, Gatzoulis MA. Atrial septal defect in adulthood: a new paradigm for congenital heart disease. Eur Heart J. 2022 Jul 21;43(28):2660-2671.

2)

Geva T, Martins JD, Wald RM. Atrial septal defects. Lancet. 2014 May 31;383(9932):1921-32. doi: 10.1016/S0140-6736(13)62145-5. Epub 2014 Apr 8.

3)

先天性心疾患並びに小児期心疾患の診断検査と薬物療法ガイドライン(2018年改訂版)

使用上の注意【電子添文より抜粋】

  • 9.特定の背景を有する患者に関する注意

    9.7. 小児等
    小児等を対象とした有効性及び安全性を指標とした臨床試験は実施していない。