症例・導⼊事例
※ご紹介する症例は臨床症例の一部を紹介したもので、全ての症例が同様な結果を示すわけではありません。
前立腺癌ターゲット生検における造影MRIの役割
施設名: 弘前大学医学部附属病院
執筆者: 放射線診断科 対馬 史泰 先生、掛田 伸吾 先生
作成年月:2024年8月
※ 効能又は効果、用法及び用量、警告・禁忌を含む注意事項等情報等については、電子添文をご参照ください。
はじめに
前立腺癌の侵襲の度合いは緩徐なものから致死率の高いものまで様々である。サブタイプによって致死率が異なるため正確な組織診断が重要である。経直腸的な超音波ガイド下での12コアの系統的生検は最も一般的であるが、見逃しや悪性度分類の誤りが指摘されている。近年の前立腺マルチパラメトリック磁気共鳴画像法(MRI)の進歩により、特に疑わしい局在に対してMRI-US fusion下によるターゲット生検が可能になった。
ガドビストを用いたMRI検査の方法
手順と撮像 Sequence Parameter
撮像パラメータ
表は横スクロールでご覧いただけます。
| 撮像名 | 撮像 シーケンス | 撮像時間 (min:sec) | TE (msec) | TR (msec) | TI (msec) | FA (deg) | Flipback (有無) | Fat Sat (種類) | ETL (数) | P-MRI (Reduction Factor) | 息止め (有無) | NEX (加算回数) |
| T2WI Axial | FSE | 2:06 | 90 | 3000 | ー | 160 | 有 | ー | 20 | 2 | 無 | 2 |
| DWI Axial | EPI | 3:06 | 67.8 | 6000 | ー | 90 | 無 | SSRF | ー | 2 | 無 | 8 |
| T1WI Axial | FSE | 1:30 | 7.9 | 600 | ー | 160 | 無 | ー | 3 | 2 | 無 | 1 |
| T2WI Sag 3D | CUBE | 3:13 | 116 | 2000 | ー | T2 | 有 | ー | 100 | 2 | 無 | 1 |
| T2WI Cor | FSE | 2:06 | 92 | 3000 | ー | 160 | 有 | ー | 20 | 2 | 無 | 2 |
| DWI Axial | EPI | 3:06 | 63 | 6000 | ー | 90 | 無 | SSRF | ー | 2 | 無 | 8 |
| Dynamic Ax | LAVA | 0:15 | 1.5 | 3.3 | 5 | 15 | 無 | SpecIR | ー | 2 | 無 | 1 |
表は横スクロールでご覧いただけます。
| 撮像名 | k-space | 面内分解能 (mm) | Slice厚 (mm) | FOV (mm) | Rectan gular FOV(%) | 位相方向 (step数) | リード方向 (matrix数) | Slice Gap (mm) | Slice 枚数 | 3D pertition (数) | 3D実ス キャン (%) | 3D over sampling (%) |
| T2WI Axial | cartesian | 1.04×0.63 | 4 | 200 | 100 | RL (192) | 320 | 0.4 | 20 | ー | ー | ー |
| DWI Axial | cartesian | 2.34×3 | 4 | 300 | 100 | AP (128) | 100 | 0.4 | 20 | ー | ー | ー |
| T1WI Axial | cartesian | 1.04×0.63 | 4 | 200 | 100 | RL (192) | 320 | 0.4 | 20 | ー | ー | ー |
| T2WI Sag 3D | cartesian | 1.12×0.87 | 1.4 | 250 | 100 | AP (224) | 288 | -0.7 | 192 | 1 | 100 | default |
| T2WI Cor | cartesian | 1.04×0.69 | 3 | 200 | 100 | RL (192) | 288 | 0.3 | 28 | ー | ー | ー |
| DWI Axial | cartesian | 1.95×2.78 | 4 | 250 | 50 | AP (64) | 90 | 0.4 | 20 | ー | ー | ー |
| Dynamic Ax | cartesian | 1.56×1.17 | 3 | 300 | 100 | AP (192) | 256 | ー | 84 | 1 | 100 | default |
| MRI装置 | Signa HDxt 3T |
| 自動注入器 | Sonic Shot GX |
| ワークステーション | ー |
表は横スクロールでご覧いただけます。
| 造影条件 | 注入量(mL) | 注入速度 (mL/sec) | 撮像タイミング | |
| ガドビスト | 0.1mL/kg | 1mL/sec | 撮像と同時に注入 撮像は15phase | |
| 後押し用 生理食塩水 | 30mL | 1mL/sec |
症例解説
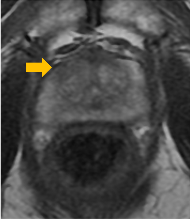
前立腺の系統的生検を以前に2回行うも癌の診断得られず。PSAが12.8まで上昇したため、ターゲット生検目的に造影MRIを撮像した。前立腺右葉移行域 11時方向に長径12mm大の病変を認め、T2強調画像で内部均一で境界不明瞭、レンズ状の低信号域(図1)、拡張強調画像で高信号(図2)、ADC map低信号(図3)、ダイナミック造影(75秒後)の結節状濃染(図4)を認めた。PI-RADSカテゴリーは4であった。
右葉移行域腹側を標的としたMRI-US fusion下ターゲット生検が行われた。3箇所よりGleason score (GS) 3+4=7, 4+5=9, 3+3=6 の検体が得られた。前立腺全摘術が施行され、病理診断では術前に指摘された病変を含め4箇所の腫瘍を認めた(図5)。右葉移行域腹側の病変が最大で径12x7mm大、GSは3+4=7であった。
当該疾患の診断における造影MRIの役割
前立腺癌移行域の局在診断は時として困難である。本症例ではT2強調画像、拡張強調画像、ADC mapからも疑わしい病変であったが、ダイナミック造影所見と合わせ、ターゲット生検の標的として適切な局在を示すことが出来た。超音波ガイド下生検と比較してMRI-US fusion下生検の生検ヒット率は高く、ターゲット生検は前立腺癌が疑われるにもかかわらず系統的生検陰性が続く症例には最も適応がある。局在診断における造影MRIの意義であるが、適切な画像であればT2強調画像/拡散強調画像のみで85-90%が診断可能であるが、10%前後の症例で診断が困難である。T2強調画像でわかりづらい前立腺癌について、ダイナミック造影所見で診断を確信する場合も少なくない。生検前にMRIを撮像し、PI-RADSに従って臨床的有意癌の可能性を判定することで、不必要な生検を回避し、かつ生検の精度を向上させることが可能と考える。
参考文献) 片平和博 画像診断Vol.40 No.6 2020