症例・導⼊事例
※ご紹介する症例は臨床症例の一部を紹介したもので、全ての症例が同様な結果を示すわけではありません。
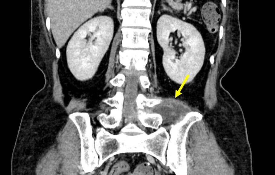
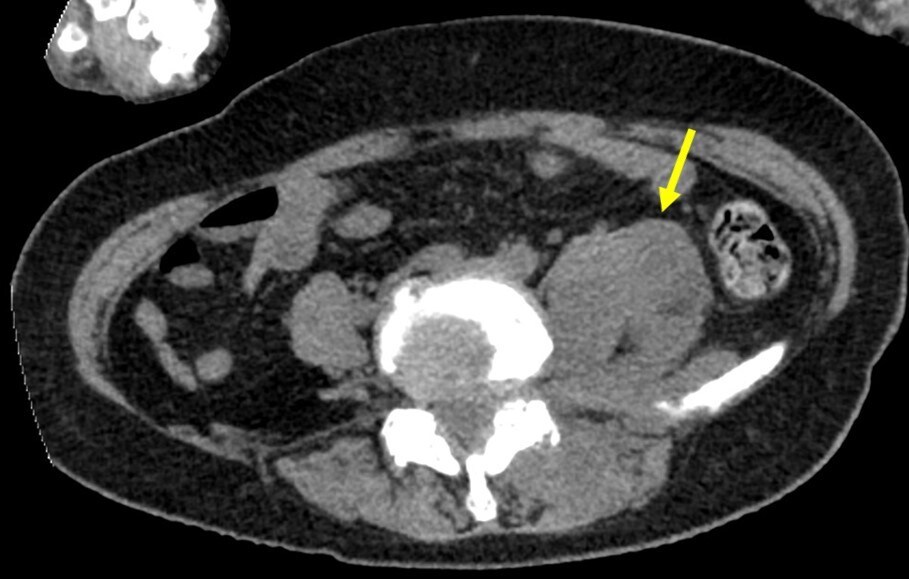
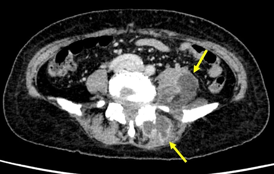
腸腰筋膿瘍の一例
施設名: 徳島大学病院
執筆者: 放射線科 音見 暢一 先生、原田 雅史 先生、医療技術部 湯浅 将生 先生
作成年月:2024年7月
※ 効能又は効果、用法及び用量、警告・禁忌を含む注意事項等情報等については、電子添文をご参照ください。
はじめに
症例背景
70歳代、女性、49kg、腸腰筋膿瘍
検査目的
腸腰筋膿瘍のドレナージ治療を検討しており、膿瘍の程度や性状の確認のため造影CTを施行した。
使用造影剤
イオプロミド300注シリンジ100mL「BYL」
症例解説
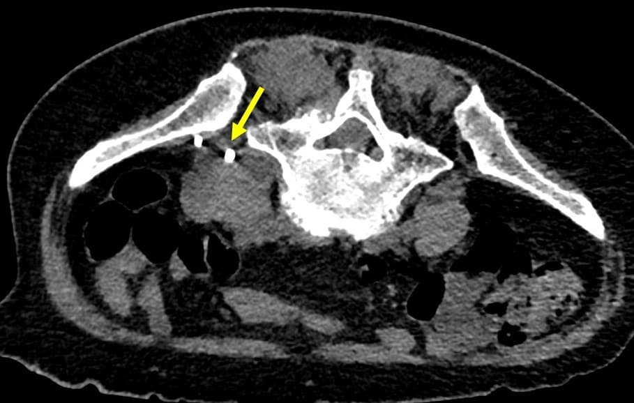
乳癌術後の再発・転移の検索目的で行われた単純CTで左腸腰筋膿瘍が疑われた。当科にCTガイド下ドレナージによる治療が依頼された。造影CTにて膿瘍は左大腰筋から左脊柱起立筋や左腰方形筋にかけて広範囲に認められた。形状は不整形で分葉状であり、辺縁に造影効果が認められ、内部は液体濃度の低吸収であり、隔壁も認められた。CTガイド下にドレナージカテーテルが膿瘍内に留置された。乳白色の膿汁がドレナージでき、ドレナージ後のCTでは膿瘍の縮小を認めた。
撮影プロトコル
表は横スクロールでご覧いただけます。
| 使用機器 | CT機種名/メーカー名 | Aquilion ONE GS / Canon |
| CT検出器の列数/スライス数 | 320列 | |
| ワークステーション名/メーカー名 | ー |
撮影条件
表は横スクロールでご覧いただけます。
| 撮影時相 | 単純 | 平衡相 |
| 管電圧 (kV) | 120 | 120 |
| AEC | あり | あり |
| (AECの設定) | SD8.0 | SD8.0 |
| ビーム幅 | 0.5×80 | 0.5×80 |
| 撮影スライス厚 (mm) | 0.5 | 0.5 |
| 焦点サイズ | 大 | 大 |
| スキャンモード | Helical | Helical |
| スキャン速度(sec/rot) | 0.5 | 0.5 |
| ピッチ | 0.813 | 0.813 |
| スキャン範囲 | 胸部から骨盤 | 胸部から骨盤 |
| 撮影時間 (sec) | 11.6 | 10.86 |
| 撮影方向 | 頭⇒足 | 頭⇒足 |
再構成条件
表は横スクロールでご覧いただけます。
| 単純 | 平衡相 | |
| ルーチン:再構成スライス厚/間隔 (mm/mm) | 1 / 1 | 1 / 1 |
| ルーチン:再構成関数/逐次近似応用法 | FC14 / AIDR3D STR | FC14 / AIDR3D STR |
造影条件
| 自動注入器機種名/メーカー名 | GX7 / Nemoto |
| 造影剤名 | イオプロミド300注シリンジ |
表は横スクロールでご覧いただけます。
| 平衡相 | |
| 造影剤:投与量 (mL) | 90 |
| 造影剤:注入速度(mL/sec)、注入時間 (sec) | 1.5、60 |
| 生食:投与量 (mL) | なし |
| 生食:注入速度 (mL/sec)、注入時間 (sec) | ー |
| スキャンタイミング | 固定法 |
| ディレイタイム | 造影剤注入開始120秒後 |
| 留置針サイズ (G) | 22 |
| 注入圧リミット (kg/cm2) | 10 |
全身検索で膿瘍の鑑別も行うため単純+平衡相で撮影しています。平衡相は造影剤注入後120秒で撮影終了しています。また患者が乳がんの病名であったため、静脈ラインは健側より確保しています。
当該疾患の診断における造影CTの役割
腸腰筋腫大の鑑別疾患として、血腫や膿瘍が挙げられる。血腫は時期にもよるが単純CTで内部が高吸収となり、造影での増強効果が乏しいことが多い。一方、膿瘍は単純CTでは等吸収~低吸収を示し、内部にガスを伴うことがあり、造影で被膜が増強されるのが特徴である。
腸腰筋膿瘍の症状として、発熱、腰痛、psoas positionの三主徴が知られているが、実際に全てが揃う頻度は高くない。単純CTでは診断が困難な場合もあり、熱源不明で発見が遅れることもある。造影CTでは膿瘍が検出しやすくなり、さらにドレナージを行う上でも膿瘍腔の形状や範囲が確認できるため、非常に有用である。
椎体、椎間板、結腸、虫垂、小腸、腎尿路系、膵などの隣接臓器からの炎症の波及による続発性の腸腰筋膿瘍の場合が多いため、膿瘍形成の原因検索においても造影CTは有用であると考えられる。
CT技術や撮像プロトコル設定について
熱源精査など全身検索の場合、造影は平衡相のみの撮影となっている。あらかじめ単純撮影は行われていたので、膿瘍鑑別のために、適量造影剤を注入後120秒後に撮影を行っている。
今回の患者の場合、乳がんの病名であったため、健側の上肢よりライン確保し、検査を施行している。
全身状態も良くないため、血管確保ルートも細目であったため、圧入は行っておりません。膿瘍のドレナージ前などは目的部位の動脈相もあれば穿刺前情報として有効と考えられる。
使用上の注意【電子添文より抜粋】
9.特定の背景を有する患者に関する注意
9.8 高齢者
患者の状態を観察しながら使用量を必要最小限にするなど慎重に投与すること。本剤は主として、腎臓から排泄されるが、高齢者では腎機能が低下していることが多いため、高い血中濃度が持続するおそれがある。[8.6、9.2.1、9.2.2 参照]