症例・導⼊事例
※ご紹介する症例は臨床症例の一部を紹介したもので、全ての症例が同様な結果を示すわけではありません。
Dual energy CTやMulti-planar reconstructionを用いた膵dynamic CTによる早期膵癌の診断
施設名: 愛媛大学医学部附属病院
執筆者: 松田 恵 先生、小林 彩 先生、末国 宏 先生、城戸 輝仁 先生
作成年月:2024年5月
※ 効能又は効果、用法及び用量、警告・禁忌を含む注意事項等情報等については、電子添文をご参照ください。
はじめに
症例背景
60歳代、男性、52.1kg、早期膵癌
検査目的
主膵管拡張の精査目的に膵臓dynamic CT施行
使用造影剤
イオプロミド370注シリンジ「BYL」/ 100ml
症例解説
食後の心窩部痛を主訴に近医を受診。腹部超音波検査で主膵管拡張を指摘され、精査加療目的に当院を受診された。
Dual energy CT を用いた膵dynamic CT検査にて膵頭部癌と診断。膵頭十二指腸切除術および門脈(上腸管膜静脈)合併切除再建術を施行され、浸潤性膵管癌、浸潤径約10mm(pT1b)、脈管浸潤なしと診断された。
画像所見
撮影プロトコル
表は横スクロールでご覧いただけます。
| 使用機器 | CT機種名/メーカー名 | SOMATOM Force / Siemens |
| CT検出器の列数/スライス数 | 96列 / 192スライス | |
| メーカー名 | syngo via / Siemens |
撮影条件
表は横スクロールでご覧いただけます。
| 撮影時相 | 単純 | 膵実質相 | 門脈相 | 遅延相 |
| 管電圧 (kV) | 100 / Sn150 | 100 / Sn150 | 100 / Sn150 | 100 / Sn150 |
| AEC | CARE Dose4D | CARE Dose4D | CARE Dose4D | CARE Dose4D |
| (AECの設定) | ref.mAs 260 | ref.mAs 260 | ref.mAs 260 | ref.mAs 260 |
| ビーム幅 | 128×0.6 | 128×0.6 | 128×0.6 | 128×0.6 |
| 撮影スライス厚 (mm) | 0.6 | 0.6 | 0.6 | 0.6 |
| スキャンモード | helcal(Dual Energy) | helcal(Dual Energy) | helcal(Dual Energy) | helcal(Dual Energy) |
| スキャン速度(sec/rot) | 0.5 | 0.5 | 0.5 | 0.5 |
| ピッチ | 0.6 | 0.6 | 0.6 | 0.6 |
| スキャン範囲 | 上腹部 | 上腹部 | 上腹部 | 上腹部 |
| 撮影時間 (sec) | 6 | 6 | 6 | 15 |
| 撮影方向 | 頭→足 | 頭→足 | 頭→足 | 頭→足 |
再構成条件
表は横スクロールでご覧いただけます。
| 単純 | 膵実質相 | 門脈相 | 遅延相 | |
| ルーチン:再構成スライス厚/間隔 (mm/mm) | 5.0 / 5.0 | 5.0 / 5.0 | 5.0 / 5.0 | 5.0 / 5.0 |
| ルーチン:再構成関数/逐次近似応用法 | Br40 / ADMIRE:3 | Br40 / ADMIRE:3 | Br40 / ADMIRE:3 | Br40 / ADMIRE:3 |
| 3D/MPR用:再構成スライス厚/間隔 (mm/mm) | 0.6 / 0.6 | 0.6 / 0.6 | 0.6 / 0.6 | 0.6 / 0.6 |
| 3D/MPR用:再構成関数/逐次近似応用法 | Br40 / ADMIRE:3 | Br40 / ADMIRE:3 | Br40 / ADMIRE:3 | Br40 / ADMIRE:3 |
造影条件
| 自動注入器機種名/メーカー名 | Stellant D Dual Flow / Bayer |
| 造影剤名 | イオプロミド370注シリンジ |
表は横スクロールでご覧いただけます。
| 膵実質相 | 門脈相 | 遅延相 | |
| 造影剤:投与量 (mgI/kg) | 657 (体表面積法) | ー | ー |
| 造影剤:注入時間 (sec) | 30 | ー | ー |
| 生食:投与量 (mL) | 後押しなし | ー | ー |
| 生食:注入速度 (mL/sec)、注入時間 (sec) | ー | ー | ー |
| スキャンタイミング | BT法(ROI位置:横隔膜/CT閾 値:150HU) | ー | ー |
| ディレイタイム | 閾値に達してから15秒後 | 後期動脈相から20秒後 | 門脈相から55秒後 |
| 留置針サイズ (G) | 20 | ||
| 注入圧リミット (psi) | 150 | ||
当該疾患の診断における造影CTの役割
膵癌は予後不良な悪性腫瘍として知られる一方で、2017年に膵癌早期診断研究会が報告した早期膵癌症例の10年生存率はStage0で94.7%、StageⅠ(TS1a)で93.8%、StageⅠ(TS1b)で78.9%と、小径で診断された早期膵癌の予後は良好であることが報告されている(1)。
小径の膵癌の検出能向上、精度の高い病期診断により、早期かつ適切な治療介入、予後改善に繋がると考えられる。
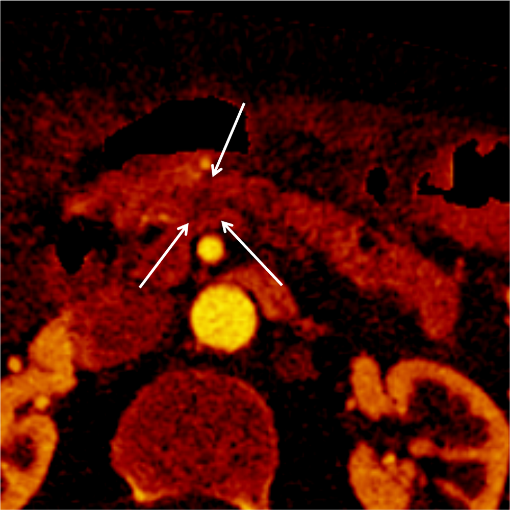
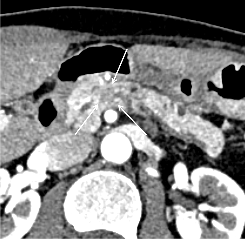
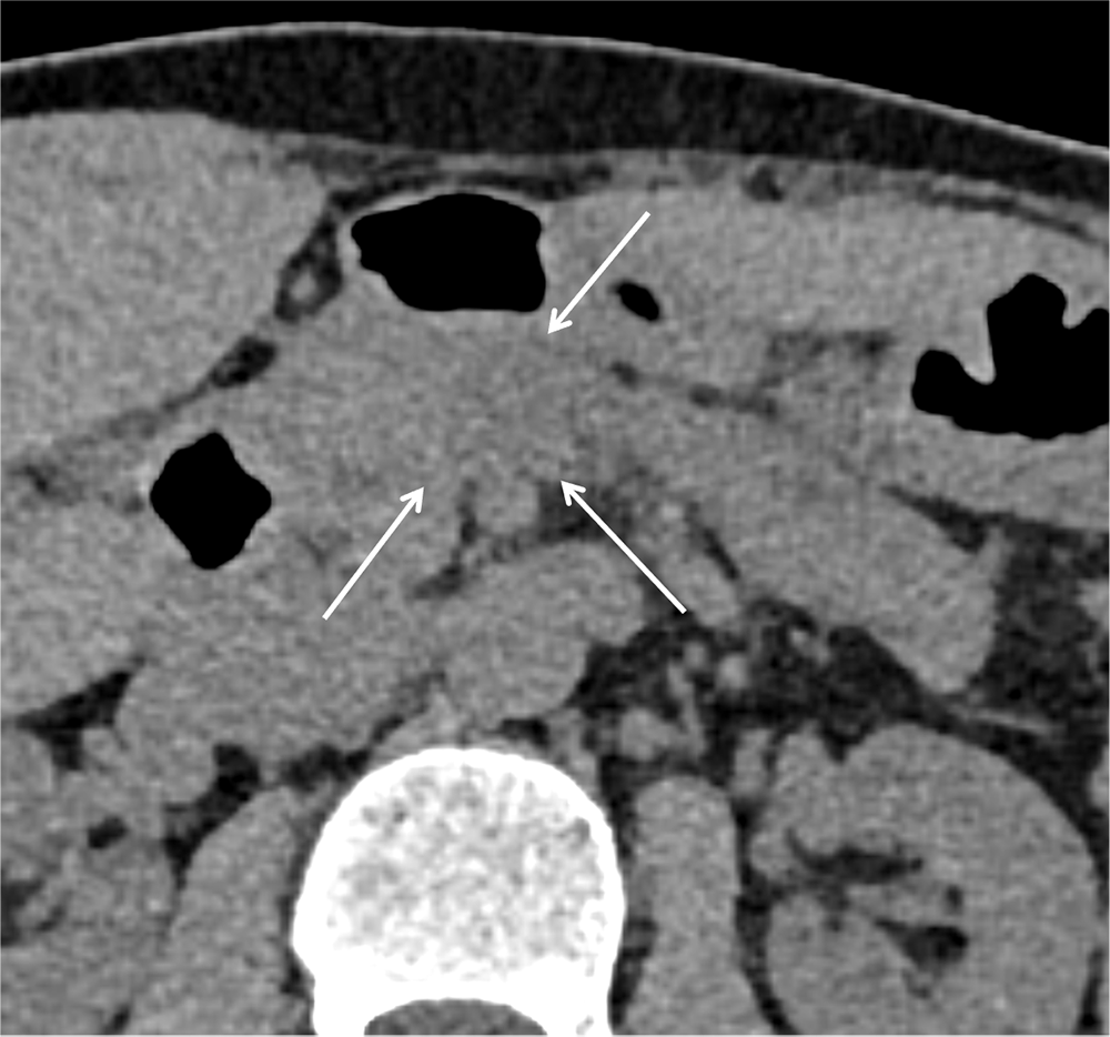
本症例では、腫瘤形成以外に尾側の主膵管拡張を認めたため、単純CTでも病変の存在を指摘することは可能であったが、通常膵癌は単純CTでは正常膵実質と等吸収を呈するため、特に小径の膵癌の場合は随伴する主膵管拡張などの所見がはっきりしない場合もあり、指摘困難な場合がある。典型的な膵癌のDynamic CTでの造影パターンは、病変が最も明瞭となる膵実質相では周囲膵実質と比較して相対的に低吸収で、漸増性に造影され、遅延相では相対的に等~軽度高吸収を呈する。しかし、小径の膵癌(3cm以下)の場合は、膵実質相や門脈相で低吸収を呈さず、遅延相で高吸収として描出される傾向にあると言われており(2)、注意を要す。Dynamic CTは、正常膵実質と腫瘤部とのコントラストを得ることで病変の検出が容易となり、形状や造影パターンなどを評価することで他の膵病変と膵癌との鑑別にも有用である。また、局所進展度の評価にも有用で、膵癌の診断や治療方針決定に重要な役割を担う。
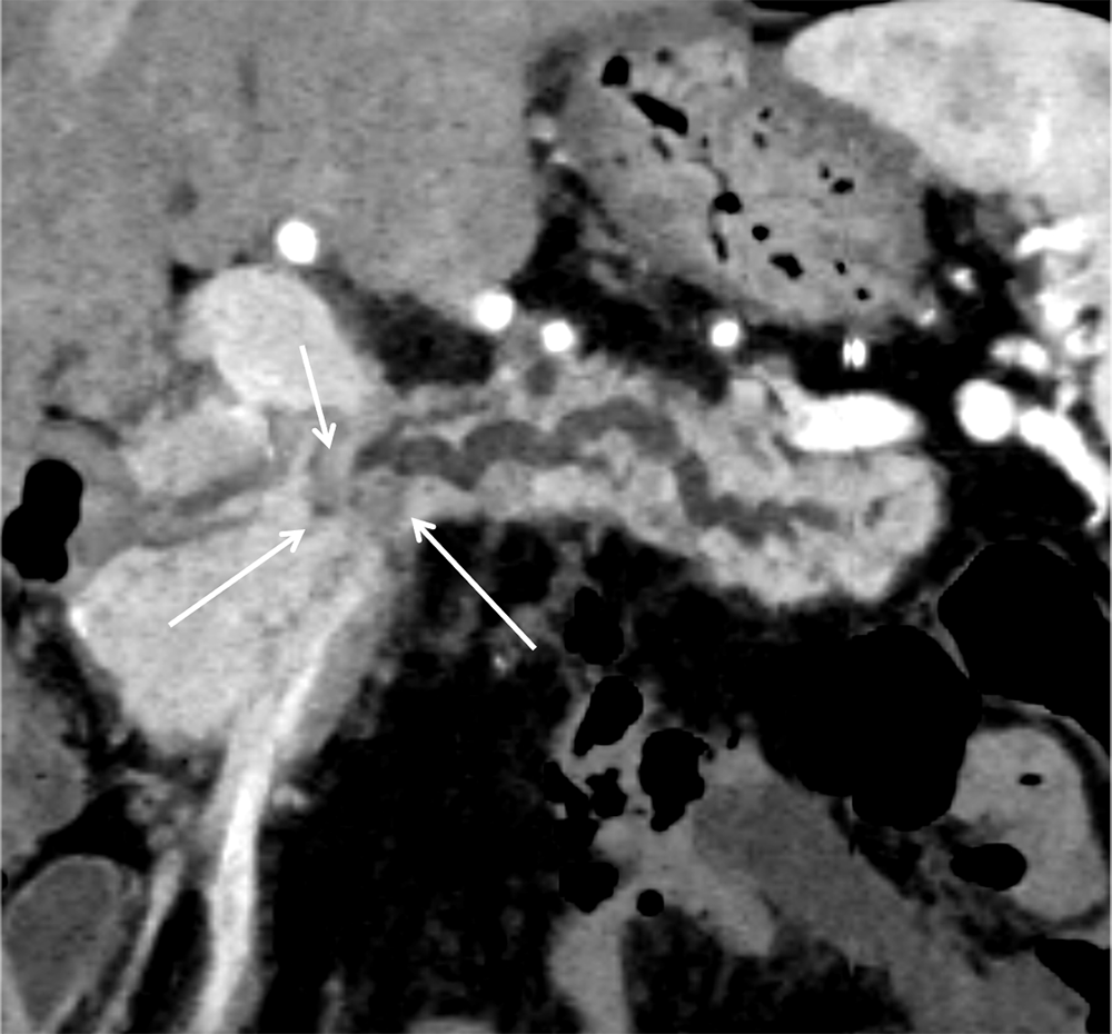
さらにthinスライスのCT画像、MPR(multi-planar reconstruction)、Dual-energy CTを用いた低エネルギーレベルの仮想単色X線画像やIodine mapの併用で、検出能向上や病期診断の精度向上につながると考えられる。Iodine mapは、Dual energy CTのデータからヨード造影剤を抽出して画像化したもので、ヨード濃度とその分布を把握することができる。本症例でも、Iodine mapでは病変と周囲膵実質のヨード濃度の差がわかりやすく、病変をより認識しやすくなった。また、MPR像を用いることで、通常の水平断面像と比べて、病変と主膵管との位置関係の把握が容易となった。
CT技術や撮像プロトコル設定について
当院では腹部Dynamic CT検査では造影剤量を体表面積法に基づいて決定している。標準体型(165cm、60kg)の方で600mgI/kgになるよう計算しており、そこから体表面積に応じて増減する設定となっている。本症例では120kVp相当になるようDE コンポジション0.6で再構成しているが、腎機能低下症例など造影剤を減量したい場合には100kVp相当では造影剤量を2割減、80kVp相当では造影剤量を4割減にして撮影している。低管電圧では管電流が不足しがちであるが、2管球CT ではDual energy で仮想低電圧画像を再構成するか、低管電圧のSingle energy で2管球使用することで大柄な方にも対応することができる。
参考文献
(1)
Kanno A, et al. Japan Study Group on the Early Detection of Pancreatic Cancer (JEDPAC). Multicenter study of early pancreatic cancer in Japan. Pancreatology. 2018 Jan; 18(1): 61-67.
(2)
Yoon SH et al. Small (≦20mm) pancreatic adenocarcinomas: analysis of enhancement patterns and secondary signs with multiphasic multidetector CT. Radiology. 2011 May; 259(2): 442-452.