症例・導⼊事例
※ご紹介する症例は臨床症例の一部を紹介したもので、全ての症例が同様な結果を示すわけではありません。
肺動静脈奇形
施設名: 埼玉医科大学病院
執筆者: 放射線科 松浦 紘一郎 先生、井上 快児 先生
作成年月:2024年5月
※ 効能又は効果、用法及び用量、警告・禁忌を含む注意事項等情報等については、電子添文をご参照ください。
はじめに
症例背景
50歳代、女性、46㎏、肺動静脈奇形
検査目的
脳膿瘍にて加療中。膿瘍の原因と思われる肺動静脈奇形が前医CTで疑われており精査目的に造影CT施行。
使用造影剤
イオプロミド300注シリンジ「BYL」/ 100ml 1本
症例解説
症例は50歳代女性。小児期に脳出血の既往があり、視野欠損あるがADLは自立している。
勤務中に寒気と呂律障害出現し前医に救急搬送される。喚語困難、意識障害を呈し、右後頭葉に膿瘍を指摘され手術目的に当院に紹介となった。前医単純CTで肺動静脈奇形を疑われており、膿瘍の原因として考えられるため精査目的にイオプロミドを用いて造影CT撮影を行った。
撮影プロトコル
表は横スクロールでご覧いただけます。
| 使用機器 | CT機種名/メーカー名 | SOMATOM Definition Flash / SIEMENS |
| CT検出器の列数/スライス数 | 64列 / 128 | |
| メーカー名 | シーメンス |
撮影条件
表は横スクロールでご覧いただけます。
| 撮影時相 | 単純 | 肺動静脈相 | 遅延相 |
| 管電圧 (kV) | 120 | 100 | 100 |
| AEC | CARE DOSE 4D | CARE DOSE 4D | CARE DOSE 4D |
| (AECの設定) | 80mAs 120kV | 140mAs 120kV | 100mAs 120kV |
| 管電流時間 (Eff.mAs) | 58 | 114 | 106 |
| ビーム幅 (mm) | 38.4 | 38.4 | 38.4 |
| 撮影スライス厚 (mm) | 5 | 2 | 5 |
| 焦点サイズ | 0.9×1.1 | 0.9×1.1 | 0.9×1.1 |
| スキャンモード | Flash spiral (2管球) | Flash spiral (2管球) | ヘリカルスキャン |
| スキャン速度(sec/rot) | 0.28 | 0.28 | 0.5 |
| ピッチ | 2.6 | 2.5 | 0.8 |
| スキャン範囲 | 胸部 | 胸部 | 胸部 |
| 撮影時間 (sec) | 1.14 | 1.14 | 6.09 |
| 撮影方向 | 頭⇒足 | 足⇒頭 | 頭⇒足 |
再構成条件
表は横スクロールでご覧いただけます。
| 単純 | 肺動静脈相 | 遅延相 | |
| ルーチン:再構成スライス厚/間隔 (mm/mm) | 5.0 / 5.0 | 2.0 / 2.0 | 5.0 / 5.0 |
| ルーチン:再構成関数/逐次近似応用法 | 31f medium smooth / SAFIRE1 | 31f medium smooth / SAFIRE1 | 31f medium smooth / SAFIRE1 |
| 3D/MPR用:再構成スライス厚/間隔 (mm/mm) | ー | 0.75 / 0.5 | 1.0 / 0.8 |
| 3D/MPR用:再構成関数/逐次近似応用法 | ー | I31f / SAFIRE強度1 | I31f / SAFIRE強度1 |
造影条件
| 自動注入器機種名/メーカー名 | デュアルショット / Nemoto |
| 造影剤名 | イオプロミド300注シリンジ |
表は横スクロールでご覧いただけます。
| 肺動静脈相 | 遅延相 | |
| 造影剤:投与量 (mL) | 計60 | ー |
| 造影剤:注入速度(mL/sec)、注入時間 (sec) | ①造影剤12ml/4.0ml/s+生理食塩水 12ml/4ml/s(テストインジェクション) ②造影剤24ml/2.4ml/s+生理食塩水 16ml/1.6ml/s ③造影剤24ml/4.0ml/s ④生理食塩水30ml/4.0ml/s | ー |
| 生食:投与量 (mL) | 計58 | ー |
| 生食:注入速度 (mL/sec)、注入時間 (sec) | 造影剤の欄を参照してください | ー |
| スキャンタイミング | TI法 | ー |
| ディレイタイム | 造影剤注入開始22秒後 | 造影剤注入開始78秒後 |
| 留置針サイズ (G) | 18 | ー |
| 注入圧リミット (kg/cm2) | 13 | ー |
肺動静脈を分離できるタイミング決定のために初めに造影剤を生理食塩水で薄めて投与し(Test Injection:TI)時間濃度曲線(Time enhancement curve:TEC)を取得する。これをもとに本番のTECを計算し、後に濃い造影剤を注入して撮影をしている。
当該疾患の診断における造影CTの役割
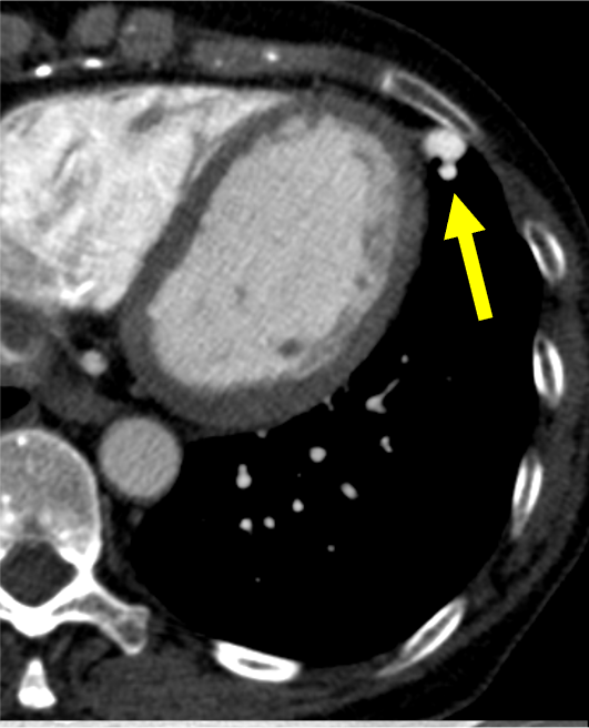
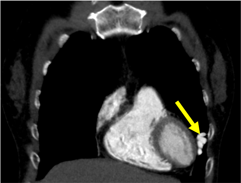
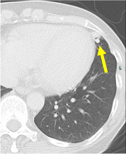
肺動静脈奇形は肺動脈・静脈が正常の毛細血管を介さずに短絡する血管奇形であり、肺動静脈瘻と呼ばれることもある。臨床症状としては低酸素血症や喀血、稀に血胸を示す。また、脳膿瘍や奇異性脳梗塞などの合併症を伴う可能性が知られている。しかし無症候性に肺結節として偶発的に指摘される例も少なくない。流入動脈、流出静脈がともに1本の場合をsimple type、複数の場合をcomplex typeと分類する。
造影CTでは肺動脈と同等の強い造影効果を呈し、単純CTに比して詳細な評価が可能となる。動静脈奇形の大きさ、流入動脈・流出静脈の数や吻合の位置をあらかじめ確認することで、治療計画に有用である。また、3D画像を再構成することでより立体的に形状を把握することができ、任意の方向から画像を観察することで塞栓時のアクセスルートを決定する一助となる。
CT技術や撮像プロトコル設定について
あらかじめ濃度の低い造影剤を少量投与する(TI)ことでTECを取得し、後に濃い造影剤を注入することで最適なタイミングで肺動静脈を撮影している。
TI法ではボーラストラッキング法に比べ、本番のスキャンとテスト用スキャンの2回の撮影が必要となるため手順は煩雑となるが柔軟に撮影のタイミングを設定できる。
希釈した造影剤を用いてのTI法では少量の造影剤を用いてTIを行う場合に比べ簡単な演算で本番スキャン時の造影剤注入条件におけるTECを推定することが可能となる。