症例・導⼊事例
はじめに
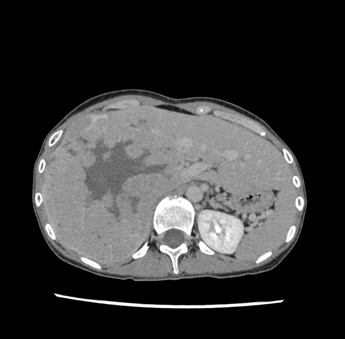
症例背景
30歳代、女性、38kg、肝細胞癌
検査目的
右上腹部違和感にて他院を受診し,CTで肝右葉を首座とする巨大肝腫瘍を認め,精査目的に当院紹介.
使用造影剤
イオプロミド370注シリンジ 80mL「BYL」/ 62mL
症例解説
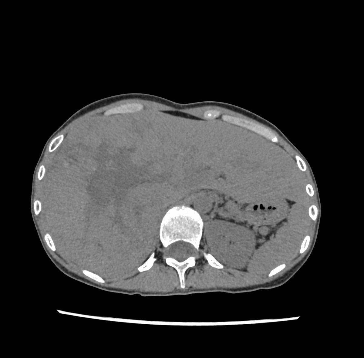
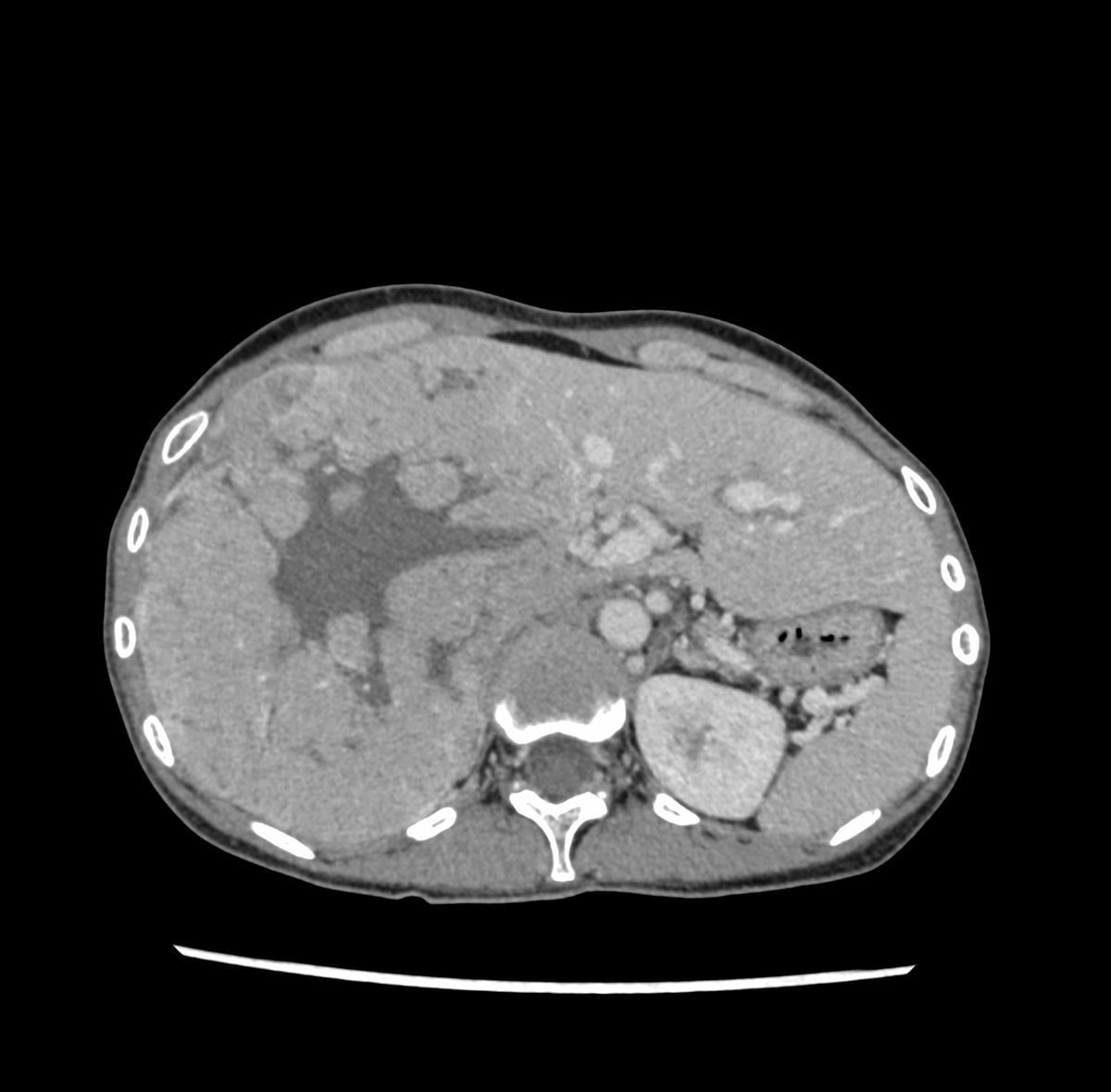
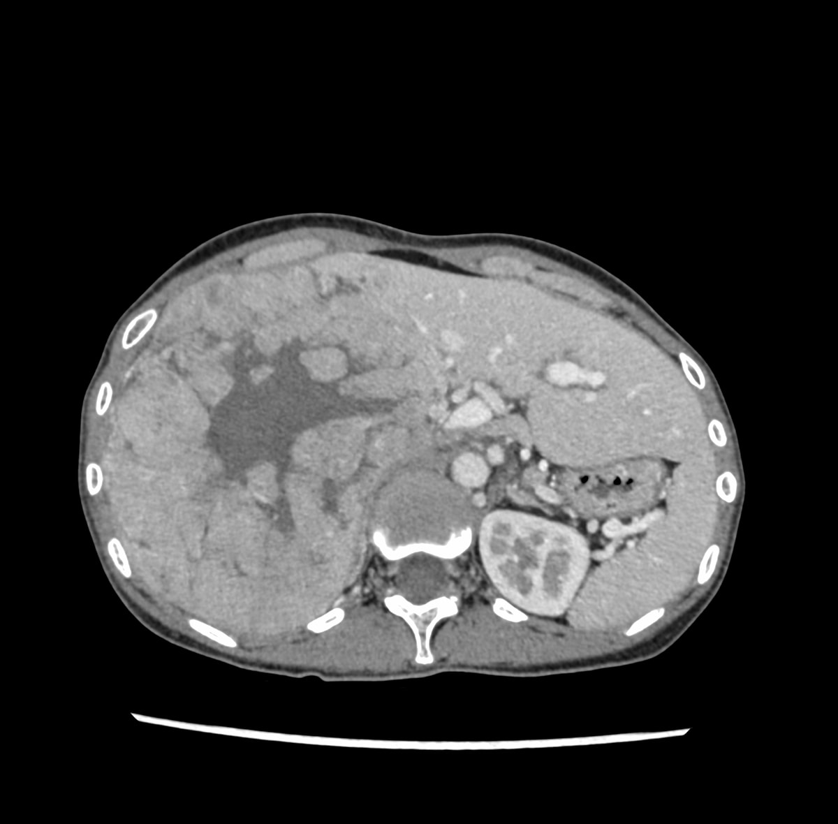
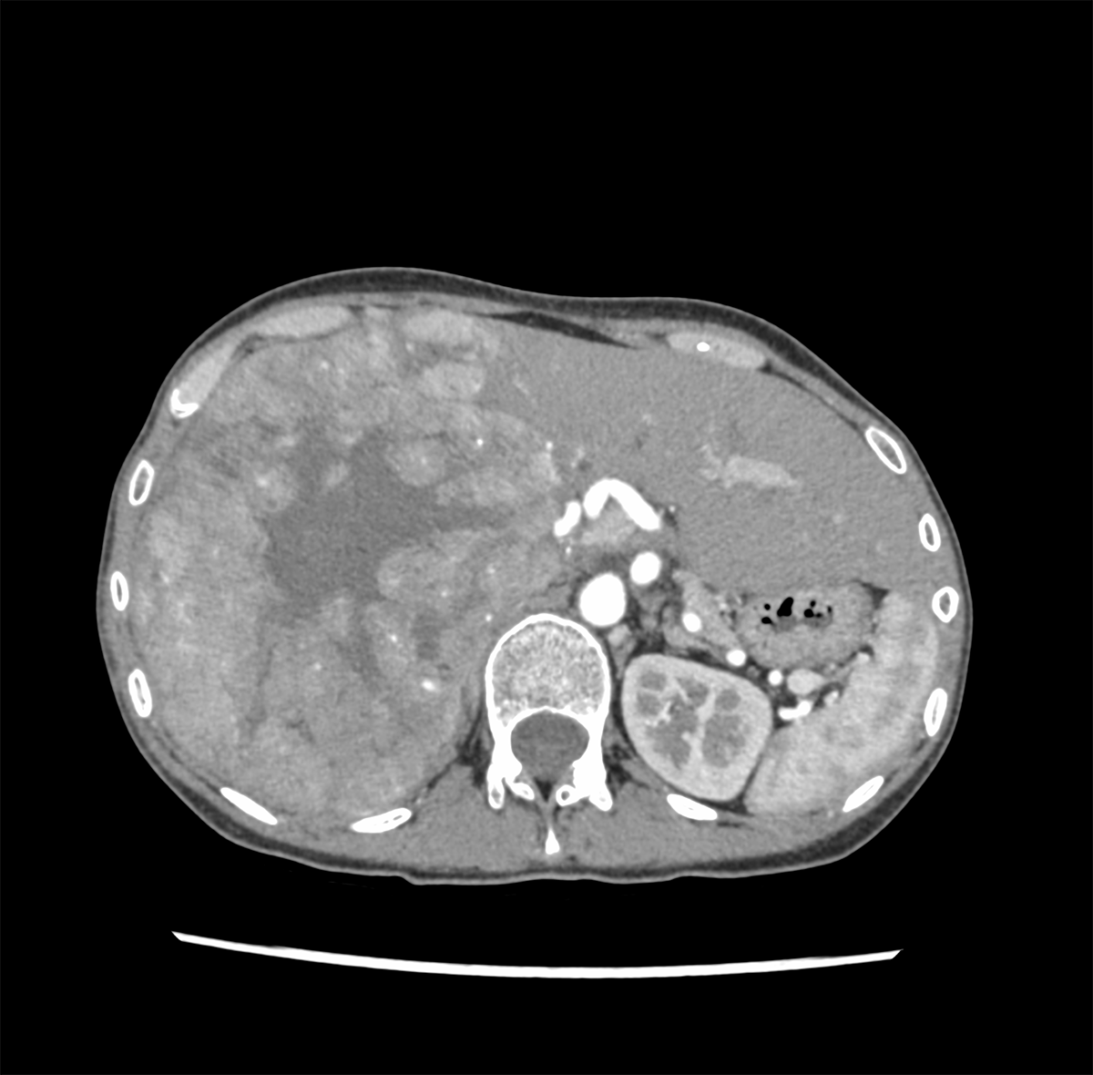
肝右葉を首座とする24cm大の多結節癒合状の腫瘤性病変を認める.単純CTでは肝実質と等吸収を示し,内部に低吸収域や石灰化を伴っている.造影後早期動脈相から後期動脈相にかけて結節間でやや不均一な早期造影効果を認め,肝静脈相以降では肝実質より相対的に低吸収を示す.門脈本幹から一次分枝レベルにて明らかな造影欠損を認めない.肝細胞癌が疑われ外科的切除が施行され,高~中分化型肝細胞癌と診断された.
撮影プロトコル
表は横スクロールでご覧いただけます。
| 使用機器 | CT機種名/メーカー名 | Aquilion ONE Vision Edition / Canon Medical Systems Corporation |
| CT検出器の列数/スライス数 | 320 | |
| ワークステーション名/メーカー名 | Ziostation 2 / Ziosoft |
撮影条件
表は横スクロールでご覧いただけます。
| 撮影時相 | 単純 | 早期動脈相 | 後期動脈相 | 門脈相 | 平衡相 |
| 管電圧 (kV) | 120 | 120 | 120 | 120 | 120 |
| AEC | volume EC | volume EC | volume EC | volume EC | volume EC |
| (AECの設定) | SD : 13 | SD : 13 | SD : 13 | SD : 13 | SD : 13 |
| ビーム幅 | 40 | 40 | 40 | 40 | 40 |
| 撮影スライス厚 (mm) | 0.5 | 0.5 | 0.5 | 0.5 | 0.5 |
| 焦点サイズ | Small | Small | Small | Small | Small |
| スキャンモード | Helical | Helical | Helical | Helical | Helical |
| スキャン速度(sec/rot) | 0.6 | 0.6 | 0.6 | 0.6 | 0.6 |
| ピッチ | 51 | 51 | 51 | 51 | 51 |
| スキャン範囲 | 上腹部 | 上腹部 | 上腹部 | 上腹部 | 上腹部 |
| 撮影時間 (sec) | 7.2 | 7.2 | 7.2 | 7.2 | 7.2 |
| 撮影方向 | 頭⇒足 | 頭⇒足 | 頭⇒足 | 頭⇒足 | 頭⇒足 |
再構成条件
表は横スクロールでご覧いただけます。
| 単純 | 早期動脈相 | 後期動脈相 | 門脈相 | 平衡相 | |
| ルーチン:再構成スライス厚/間隔 (mm/mm) | 5 / 5 | 5 / 5 | 5 / 5 | 5 / 5 | 5 / 5 |
| ルーチン:再構成関数/逐次近似応用法 | AiCE Body Sharp STD | AiCE Body Sharp STD | AiCE Body Sharp STD | AiCE Body Sharp STD | AiCE Body Sharp STD |
| 3D/MPR用:再構成スライス厚/間隔 (mm/mm) | 1.0 / 1.0 | 1.0 / 1.0 | 1.0 / 1.0 | 1.0 / 1.0 | 1.0 / 1.0 |
| 3D/MPR用:再構成関数/逐次近似応用法 | AiCE Body Sharp STD | AiCE Body Sharp STD | AiCE Body Sharp STD | AiCE Body Sharp STD | AiCE Body Sharp STD |
造影条件
| 自動注入器機種名/メーカー名 | DUAL SHOT GX 7 / 根本杏林堂 |
| 造影剤名 | イオプロミド370注シリンジ |
表は横スクロールでご覧いただけます。
| 早期動脈相 | 後期動脈相 | 門脈相 | 平衡相 | |
| 造影剤:投与量 (mgI/kg) | 600 | |||
| 造影剤:注入時間 (sec) | 30 | |||
| 生食:投与量 (mL) | なし | |||
| 生食:注入速度 (mL/sec)、注入時間 (sec) | なし | |||
| スキャンタイミング | 固定法 | |||
| ディレイタイム | 造影剤注入から 25 sec | 造影剤注入から 45 sec | 造影剤注入から 70 sec | 造影剤注入から 180 sec |
| 留置針サイズ (G) | 20 | |||
| 注入圧リミット (kg/cm2) | 15.0 | |||
本症例は通常検査枠内での腹部造影CTのため、固定法で撮像しています.
当該疾患の診断における造影CTの役割
肝腫瘍に対する造影CT検査は,画像診断のみならず,外科手術のための血管構築も役割に含まれる.肝動脈,門脈,肝静脈と腫瘍の関係性が重要であり,多時相での撮影をすることで,本症例のように血管の3D画像の作成が可能である.