症例・導⼊事例
※ご紹介する症例は臨床症例の一部を紹介したもので、全ての症例が同様な結果を示すわけではありません。
右腎癌術後の左腎転移、膵転移、前縦郭転移の1例
施設名: 群馬大学医学部付属病院
執筆者: 放射線診断核医学科 安井 宏有貴 先生
作成年月:2024年2月
※ 効能又は効果、用法及び用量、警告・禁忌を含む注意事項等情報等については、電子添文をご参照ください。
はじめに
症例背景
60歳代、女性、47kg、右腎癌術後、多発遠隔転移
検査目的
右腎癌術後の転移経過観察目的に腎ダイナミック造影CTを施行
使用造影剤
イオプロミド300注シリンジ「BYL」/ 94mL
症例解説
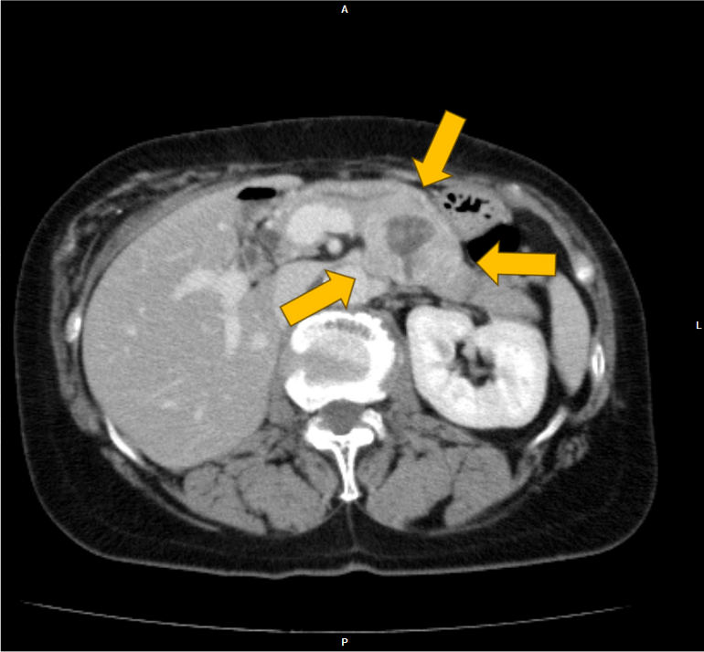
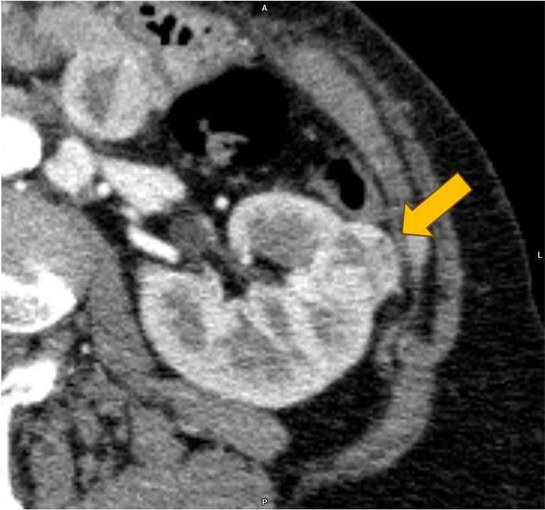
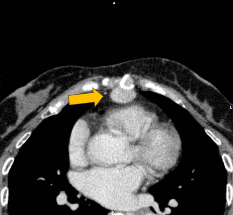
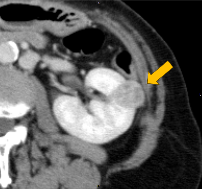
右腎癌(淡明細胞型腎細胞癌)術後の経過観察中に、左腎、膵尾部、胸骨の腫瘍が明らかとなり、胸骨病変の組織診断により右腎癌の転移の確定診断となった。本CTは化学療法中の治療効果判定目的に施行された腎ダイナミック造影CTである。
撮影プロトコル
表は横スクロールでご覧いただけます。
| 使用機器 | CT機種名/メーカー名 | Aquilion ONE Vision Edition / canon |
| CT検出器の列数/スライス数 | 320列 | |
| ワークステーション名/メーカー名 | Ziostation2 / Ziosoft |
撮影条件
表は横スクロールでご覧いただけます。
| 撮影時相 | 単純 | 動脈相 | 実質相 |
| 管電圧 (kV) | 120 | 120 | 120 |
| AEC | ON | ON | ON |
| (AECの設定) | SD12 | SD12 | SD12 |
| ビーム幅 | 40 | 40 | 40 |
| 撮影スライス厚 (mm) | 0.5 | 0.5 | 0.5 |
| 焦点サイズ | Large | Large | Large |
| スキャンモード | Helical | Helical | Helical |
| スキャン速度(sec/rot) | 0.5 | 0.5 | 0.5 |
| ピッチ | 0.813 | 0.813 | 0.813 |
| スキャン範囲 | 上腹部 | 上腹部 | 胸部ヵら骨盤部 |
| 撮影時間 (sec) | 4 | 4 | 10 |
| 撮影方向 | 頭⇒足 | 頭⇒足 | 頭⇒足 |
再構成条件
表は横スクロールでご覧いただけます。
| 単純 | 動脈相 | 実質相 | |
| ルーチン:再構成スライス厚/間隔 (mm/mm) | 5 / 5 | 5 / 5 | 5 / 5 |
| ルーチン:再構成関数/逐次近似応用法 | FC13 / AIDR 3D weak | FC13 / AIDR 3D weak | FC13 / AIDR 3D weak |
| 3D/MPR用:再構成スライス厚/間隔 (mm/mm) | 1 / 1 | 1 / 1 | 1 / 1 |
| 3D/MPR用:再構成関数/逐次近似応用法 | FC13 / AIDR 3D Mild | FC13 / AIDR 3D Mild | FC13 / AIDR 3D Mild |
造影条件
| 自動注入器機種名/メーカー名 | デュアルショットGX7 / 根本杏林堂 |
| 造影剤名 | イオプロミド300注シリンジ |
表は横スクロールでご覧いただけます。
| 動脈相 | 実質相 | |
| 造影剤:投与量 (mgI/kg) | 600 | ー |
| 造影剤:注入時間 (sec) | 30 | ー |
| 生食:投与量 (mL) | ー | ー |
| 生食:注入速度 (mL/sec)、注入時間 (sec) | ー | ー |
| スキャンタイミング | BT法(腹腔動脈分岐レベル / 220HU) | ー |
| ディレイタイム | 8s(220HU到達後) | 55s |
| 留置針サイズ (G) | 22 | |
| 注入圧リミット (kg/cm2) | 12 | |
造影剤は600mgI/kgを使用し、動脈相はボーラストラッキング法を使用している。腹腔動脈分岐レベルの大動脈にROIを置き220HUに達してから8s後に撮影している。実質相は動脈相の55s後に撮影している。
当該疾患の診断における造影CTの役割
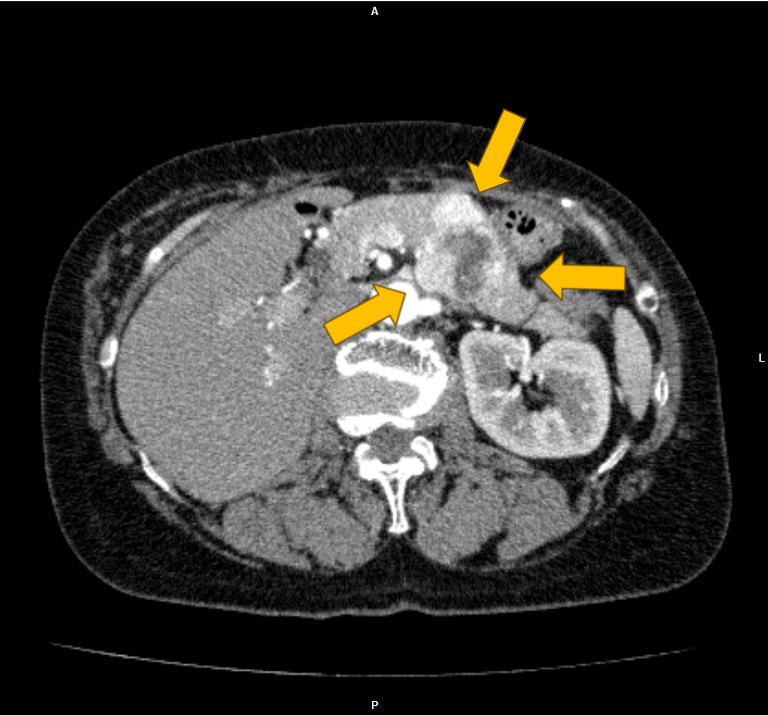
右腎癌術後(淡明細胞型腎細胞癌)、左腎、膵体部、胸骨背側に腫瘤を認める。造影CTにおいての膵実質との増強効果の違いにより膵腫瘍を描出することができる。膵腫瘤はDynamic造影で早期濃染色、washoutパターンを呈しており、乏血性の造影パターンを呈す通常の膵癌との鑑別は容易である。
CT技術や撮像プロトコル設定について
造影剤は600mgI/kgを使用し、動脈相はボーラストラッキング法を使用している。腹腔動脈分岐レベルの大動脈にROIを置き220HUに達してから8s後に撮影している。実質相は動脈相の55s後に撮影している。