症例・導⼊事例

※ご紹介する症例は臨床症例の一部を紹介したもので、全ての症例が同様な結果を示すわけではありません。

BPE(background parenchymal enhancement)がmildである良性疾患(adenosis)

施設名: 佐賀大学医学部附属病院
執筆者: 放射線科 山口 健 先生
作成年月:2024年1月

※ 効能又は効果、用法及び用量、警告・禁忌を含む注意事項等情報等については、電子添文をご参照ください。

はじめに

症例背景

70歳代、50.6kg、良性疾患(adenosis)

検査目的

肛門管癌術後の経過観察CTで右乳房結節を指摘、精査目的にMRIを施行

使用造影剤

ガドブトロール 0.1mL/kg / 5mL

生食後押し

20mL×2.5mL/sec

乳房MRIプロトコル一覧はこちら

症例解説

肛門管癌術後の経過観察CTで指摘された右乳房結節に対しMRI精査を行った症例。BPEはmildで病変の同定は容易であったため、読影はダイナミックMRIと高分解能矢状断像をまず観察し、病変の同定と性状評価を行った。その後病変の補助的診断のために拡散強調像、T2強調像、T1強調像を観察した。ultrafast画像は画像再構成に時間がかかるため、いったん読影した後に再構成を行い。追加する所見はないかを観察した。

撮影の順番と撮像時間

表は横スクロールでご覧いただけます。

拡散強調像脂肪抑制T2WIT1WIDCE-MRI造影前Ultrafast DCEDCE-MRI早期相造影後高分解能T1WIDCE-MRI遅延相
229sec201sec88sec69sec2.9sec×3069sec120sec69sec

撮像画像

拡散強調像
1. 拡散強調画像、ADCmap
病変は拡散強調像で高信号、ADCmapでは低信号である。
ADC値は1.01x10-3mm2/sであった。

ADCmap

2. T2強調画像
病変は周囲乳腺実質と比較して軽度低信号を呈している。

3. T1強調画像
病変は周囲乳腺実質と等信号で同定が困難である。

ダイナミックMRI 造影前
4. ダイナミックMRI 造影前 早期相 遅延相
病変は扁平な形状で均一に増強される。ダイナミックMRIの増強パターンはfast and plateauであった。

ダイナミックMRI 早期相

ダイナミックMRI 遅延相

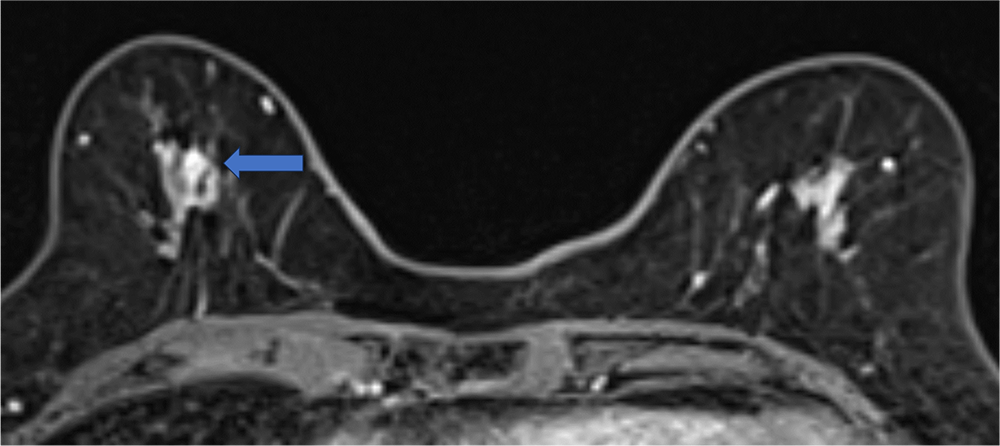
5. Ultrafast DCE (20相目、造影剤投与開始から58秒後)
病変は周囲乳腺実質よりやや強く増強されている。

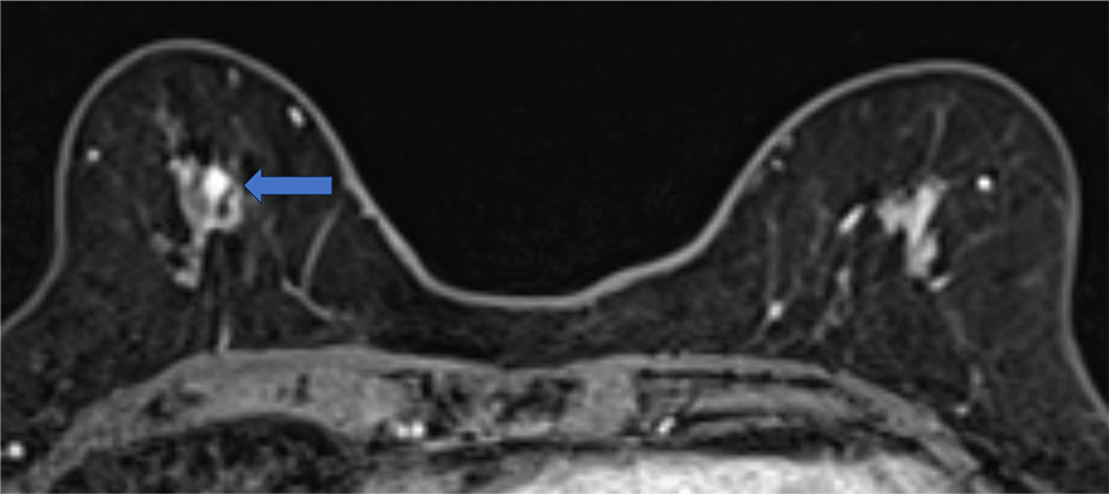
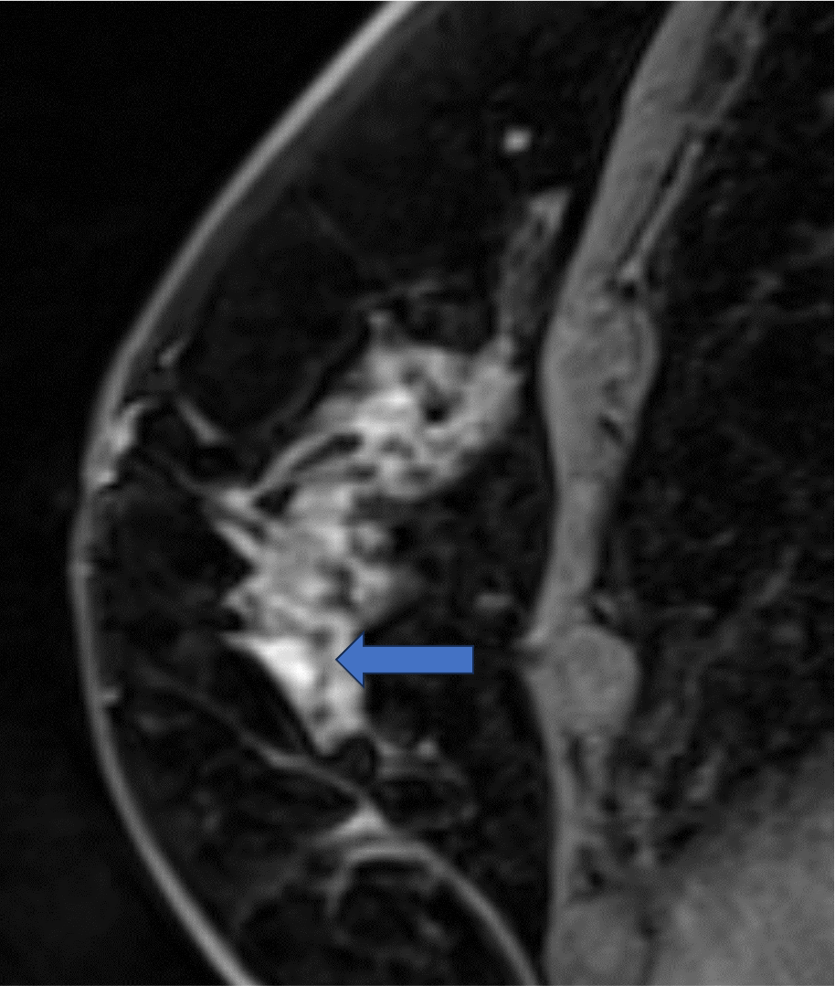
6. 造影後高分解能画像
病変は扁平な形状で内部にはdark internal septation様の構造が見られる。

  • 9.特定の背景を有する患者に関する注意【電子添文より抜粋】

    9.8 高齢者
    患者の状態を十分に観察しながら慎重に投与すること。一般に生理機能が低下している。