症例・導⼊事例

※ご紹介する症例は臨床症例の一部を紹介したもので、全ての症例が同様な結果を示すわけではありません。

特殊型乳癌:浸潤性小葉癌

施設名: 京都府立医科大学附属病院
執筆者: 放射線科 後藤 眞理子 先生
作成年月:2024年1月

※ 効能又は効果、用法及び用量、警告・禁忌を含む注意事項等情報等については、電子添文をご参照ください。

はじめに

症例背景

40歳代、55kg、浸潤性小葉癌

検査目的

右乳癌広がり診断のため造影MRIを施行

使用造影剤

ガドブトロール 0.1mL/kg / 5.5mL

生食後押し

20mL×2mL/sec

乳房MRIプロトコル一覧はこちら

症例解説

本症例は生検にて浸潤性小葉癌と診断され、MRI後、右乳房全切除術とセンチネルリンパ節生検が施行された。術後病理では10cmに及ぶ浸潤性小葉癌診断された。センチネルリンパ節生検陽性で腋窩郭清が行われた。
浸潤性小葉癌は、浸潤性乳管癌と異なる造影MRI所見を示すことが知られ、本例のように腺葉をまたがった分布(regional)のnon-mass enhancementとして認められることがあるTime intensity curveは浸潤性乳管癌に比べpersistent patternを呈することが多い。T1WIは構築の乱れがとらえやすい。

撮影の順番と撮像時間

表は横スクロールでご覧いただけます。

T1WI脂肪抑制T2WIDWIDCE-MRI造影前Ultrafast DCEDCE-MRI早期相造影後高分解能T1WIDCE-MRI後期相
50sec150sec360sec60sec4.7sec/1phase60sec60sec×260sec

撮像画像

1. ダイナミックMRI 早期相MIP画像(正面)
●は乳頭。造影病変は横に長く、腺葉を超えて広がるように見える(regional)。

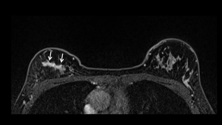
2. T1強調画像(造影前)
左に比較し、右乳腺上部には収縮性の変化(構築の乱れ)が認められる(矢印)。

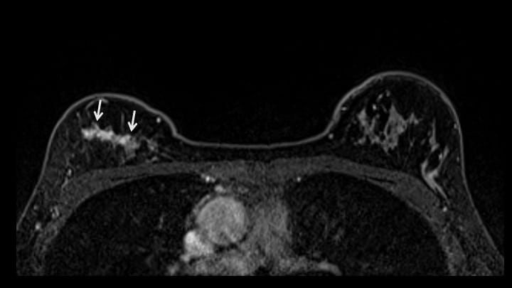
3. 脂肪抑制T2強調画像(造影前)
T1WIと同様構築の乱れが認められる(矢印)。

4. ダイナミックMRI(造影前)

5. ダイナミックMRI 早期相
右乳腺上部にnon-mass enhancementを認める(矢印)。

6. 造影後高分解能T1強調画像
造影病変の一部は小さな腫瘤(spiculaあり)のようにも見える。

7. Time intensity curve
Medium-persistentを示す。

8. ダイナミックMRI 後期相
早期相と同様に右乳腺上部にnon-mass enhancementあり。