症例・導⼊事例

※ご紹介する症例は臨床症例の一部を紹介したもので、全ての症例が同様な結果を示すわけではありません。

BPE(background parenchymal enhancement)がmildである浸潤性乳管癌(IDC)

施設名: 名古屋大学医学部附属病院
執筆者: 佐竹 弘子 先生
作成年月:2024年1月

※ 効能又は効果、用法及び用量、警告・禁忌を含む注意事項等情報等については、電子添文をご参照ください。

はじめに

症例背景

40歳代、54kg、浸潤性乳管癌(IDC)

検査目的

病変の広がり診断のため造影MRIを施行

使用造影剤

ガドブトロール 0.1mL/kg / 5.4mL

生食後押し

45mL×1mL/sec

乳房MRIプロトコル一覧はこちら

症例解説

DCE-MRIで、乳癌の病変のステージングを行い、腫瘍の広がりを診断する。更には、他の乳腺区域や対側乳房に病変が検出されないか観察を行う。BPEによって、病変の広がり診断が困難な場合があるが、BPEは乳腺の辺縁域に認められやすいことや、造影パターンが乳癌とは異なることなどを参考にして鑑別をすすめる。本症例では、主病変以外には、腫瘍の広がりや副病変の検出はなく、乳房部分切除術を選択し切除範囲が決定された。手術病理標本でも腫瘍は主病変(浸潤性乳管癌)のみに限局していた。

※BPE:背景の乳腺組織の造影効果

撮影の順番と撮像時間

表は横スクロールでご覧いただけます。

DWI脂肪抑制T2WIT1WIDCE-MRI造影前Ultrafast DCEDCE-MRI早期相造影後高分解能T1WIDCE-MRI遅延相
174 sec218 sec35 sec70 sec3.4 sec×2070 sec127sec×270 sec

撮像画像

b=1000 (s/mm2)

ADCマップ( b=0、1000 (s/mm2) から作成)

1.拡散強調画像 (造影前)
乳癌の病変は拡散強調像で高信号を示し、ADC値は低値(0.84×10-3mm2/s)であった

2. T2強調画像 (造影前)
乳癌の病変は、背景乳腺より軽度高信号の腫瘤を示している。明らかな腫瘍内壊死や周囲の浮腫は認めない

3. T1強調画像 (造影前)
乳癌の病変は、辺縁不整な腫瘤(Mass)を示している。

造影前

早期相

早期相サブトラクション画像

遅延相

後期相サブトラクション画像

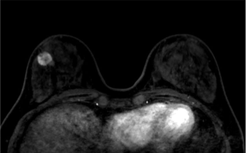
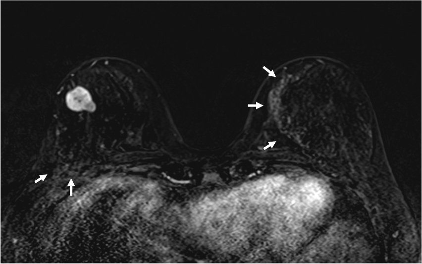
4. ダイナミックMRI (造影前 早期相 遅延相)
早期相で、乳腺の辺縁にBPE(矢印)を認めるが、その範囲は広くなくmildと判定する。乳癌の病変は、早期相から急速に造影され、遅延相でwash outがみられる。BPEは、遅延相で拡大し増強している。

10相目
(造影剤注入32.5秒後)

11相目
(造影剤注入35.9秒後)

12相目
(造影剤注入39.3秒後)

17相目
(造影剤注入約60秒後)

5. Ultrafast DCE
乳癌の病変は、超早期(10相目: 造影剤注入32.5秒後)から急速に造影されている。背景乳腺は超早期では、ほとんど造影されていないが、17相目では軽度増強されている。

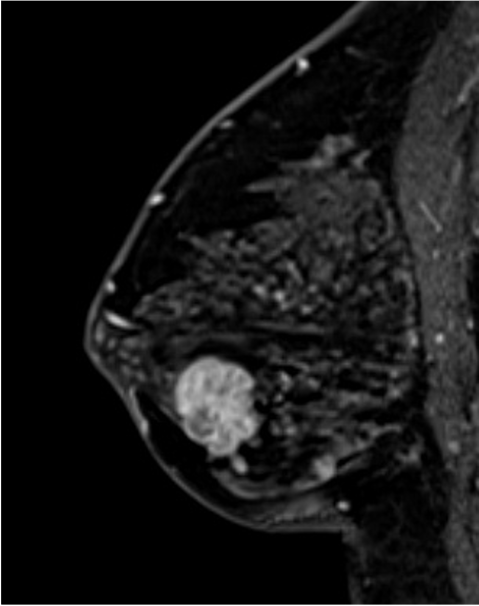
6. 造影後高分解能画像
乳癌の病変の形態は、不整形で、rim 状の造影域を認める。高分解能画像では形態的な性状を鮮明に観察できる。