症例・導⼊事例

※ご紹介する症例は臨床症例の一部を紹介したもので、全ての症例が同様な結果を示すわけではありません。

特殊型乳がん:粘液がん

施設名: 東京医科歯科大学病院
執筆者: 放射線診断科 藤岡 友之 先生
作成年月:2024年1月

※ 効能又は効果、用法及び用量、警告・禁忌を含む注意事項等情報等については、電子添文をご参照ください。

はじめに

症例背景

50歳代、58kg、粘液がん

検査目的

病変の広がり診断のため造影MRIを施行

使用造影剤

ガドブトロール 0.1mL/kg / 5.8 mL

生食後押し

30mL×1mL/sec

乳房MRIプロトコル一覧はこちら

症例解説

本症例は不整形、境界不明瞭な腫瘤で不均一に造影されていることから乳がんとして矛盾しない所見である。また、漸増性(fast-persistent)の造影パターンを示し、脂肪抑制T2WIで明瞭な高信号を示すことは粘液がんを疑う所見である。粘液がんは内部に含まれる粘液を反映し脂肪抑制T2WIで明瞭な高信号を示すとされている。本症例は乳頭側に豊富な充実成分、それ以外の部分で豊富な粘液成分から構成される粘液癌であった。

撮影の順番と撮像時間

表は横スクロールでご覧いただけます。

T1WI脂肪抑制T2WIDWIDCE-MRI造影前Ultrafast DCEDCE-MRI早期相造影後高分解能T1WIDCE-MRI遅延相
72 sec132 sec60sec72 sec5.2sec×17=88.4 sec72 sec95 sec72 sec

撮像画像

1. T1強調画像(造影前)
左乳房DB区域にT1強調画像低信号を示す不整形腫瘤を認める。

2. 脂肪抑制T2強調画像(造影前)
脂肪抑制T2強調像では腫瘤の乳頭側は軽度高信号を示すが、それ以外の部分は明瞭な高信号を示す。

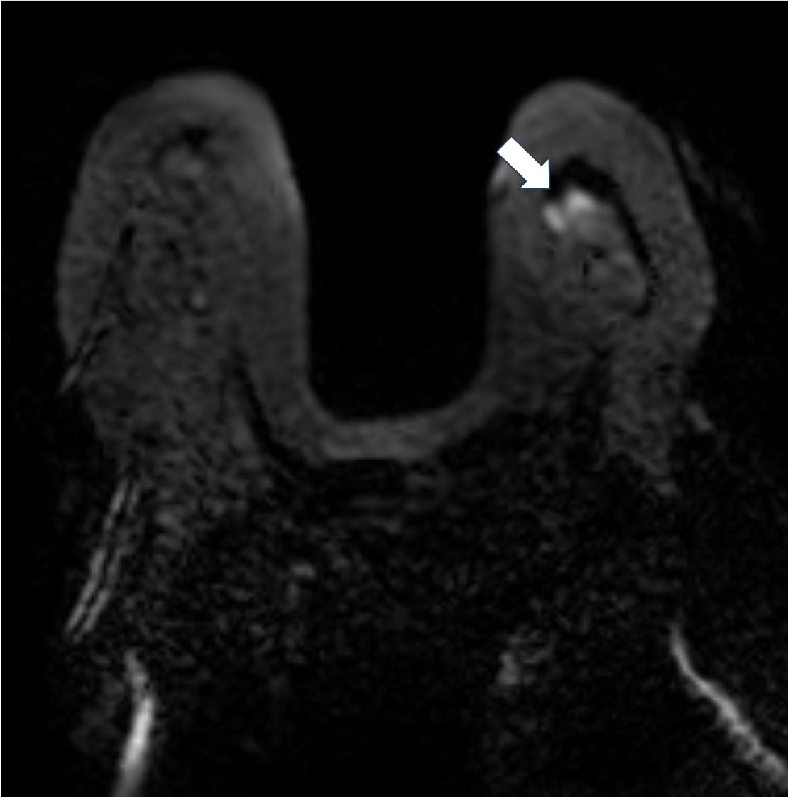
3. 拡散強調画像 b=1000(s/mm2)(造影前)
拡散強調像では腫瘤の乳頭側が高信号を示すが、それ以外の部分は周囲の乳腺組織と同等の信号を示す。乳頭側に細胞密度の高い腫瘍の存在が示唆される。

4. Ultrafast DCE (11phase目)
Ultrafast DCEでは乳頭側が早期から造影されている。

5. ダイナミックMRI 早期相
ダイナミックMRIでは不整形、境界不明瞭な腫瘤で不均一に造影されている。乳頭側が強く造影されておりfast-plateauのパターン、それ以外の部分は漸増性のfast-persistentパターンの造影効果を示す。

6. ダイナミックMRI 早期相 MIP像
左乳房に不整形腫瘤を認める。MIP像は一目で病変全体を把握することができる。MIP像でも乳頭側の造影効果が強いことが分かる。

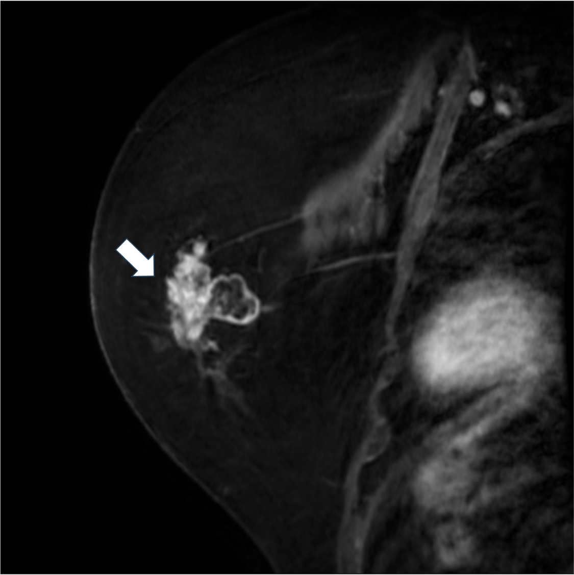
7. 造影後高分解能T1強調画像
造影後高分解能T1強調画像は不整な腫瘤の形状や不均一な内部構造が明瞭に描出されている。乳頭側に強い造影効果がある豊富な充実成分の存在が示唆される。

8. ダイナミックMRI 遅延相
ダイナミックMRIでは不整形、境界不明瞭な腫瘤で不均一に造影されている。乳頭側が強く造影されておりfast-plateauのパターン、それ以外の部分は漸増性のfast-persistentパターンの造影効果を示す。