症例・導⼊事例
※ご紹介する症例は臨床症例の一部を紹介したもので、全ての症例が同様な結果を示すわけではありません。
Photon Counting CTを用いた肺動脈+下肢静脈CT
施設名: 名古屋市立大学
執筆者: 放射線医学分野 鈴木 一史 先生 / 中央放射線部 木寺 信夫 先生
作成年月:2023年11月
※ 効能又は効果、用法及び用量、警告・禁忌を含む注意事項等情報等については、電子添文をご参照ください。
はじめに
症例背景
70歳代、女性、40kg、深部静脈血栓症
検査目的
下肢しびれ、Dダイマー高値、PE/DVT検索目的の造影CT
使用造影剤
イオプロミド300注シリンジ「BYL」/ 80mL
症例解説
卵巣癌術後再発、化学療法中。下肢しびれのため救急外来受診。
採血でDダイマー高値、担癌患者のため深部静脈血栓が疑われ造影CTが撮影された。
撮影プロトコル
表は横スクロールでご覧いただけます。
| 使用機器 | CT機種名/メーカー名 | NAEOTOM Alpha / シーメンスヘルスケア |
| CT検出器の列数/スライス数 | 288 | |
| ワークステーション名/メーカー名 | syngo.via / シーメンスヘルスケア |
撮影条件
表は横スクロールでご覧いただけます。
| 撮影時相 | 肺動脈相 | 下肢静脈相 |
| 管電圧 (kV) | 140 | 140 |
| AEC | IQ level-60 | IQ level-200 |
| ビーム幅 (mm) | 144x0.4 | 144x0.4 |
| 撮影スライス厚 (mm) | 0.4 | 0.4 |
| 焦点サイズ | 0.6×0.7 | 0.6×0.7 |
| スキャンモード | Quantum plus Flash spiral | Quantum plus |
| スキャン速度(sec/rot) | 0.5 | 0.5 |
| ピッチ | 0.6 | 0.6 |
| スキャン範囲 | 胸部 | 上腹部~下肢 |
| 撮影時間 (sec) | 2 | 15 |
| 撮影方向 | 足⇒頭 | 頭⇒足 |
再構成条件
表は横スクロールでご覧いただけます。
| 肺動脈相 | 下肢静脈相 | |
| ルーチン:再構成スライス厚/間隔 (mm/mm) | 5 / 5, 2 / 2 | 5 / 5, 2 / 2 |
| ルーチン:再構成関数/逐次近似応用法 | Qr40 / Q2 | Qr40 / Q2 |
| 3D/MPR用:再構成スライス厚/間隔 (mm/mm) | 2 / 2 | ー |
| 3D/MPR用:再構成関数/逐次近似応用法 | Qr40 / Q3 | ー |
造影条件
| 自動注入器機種名/メーカー名 | Dual Shot GX 7 / 根本杏林堂 |
| 造影剤名 | イオプロミド300/370注シリンジ |
表は横スクロールでご覧いただけます。
| 肺動脈相 | 下肢静脈相 | |
| 造影剤:投与量 (mgI/kg) | 600 | |
| 造影剤:注入速度 (mL/sec)、注入時間 (sec) | 20mgI/kg/sec 15sec + 2.0ml/sec | |
| 生食:投与量 (mL) | 40 | |
| 生食:注入速度 (mL/sec)、注入時間 (sec) | 造影剤と同じ速度 | |
| スキャンタイミング | BT法(ROI位置:肺動脈本幹、閾値:100H.U.) | 固定法 |
| ディレイタイム | prep後 6sec | 造影剤注入開始240sec後 |
| 留置針サイズ (G) | 20 or 22 | |
| 注入圧リミット (kg/cm2) | 12 | |
当該疾患の診断における造影CTの役割
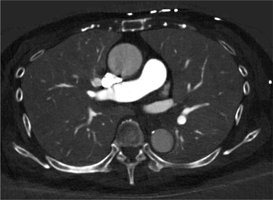
深部静脈血栓症(Deep Vein Thrombosis:DVT)と肺血栓塞栓症(Pulmonary Embolism:PE)は静脈血栓塞栓症(Venous Thromboembolism:VTE)として一つの連続した病態として捉えられる。致死的PEの剖検検討において塞栓源の70-90%以上が下肢静脈内血栓であると報告されている(1,2。肺血栓塞栓症および深部静脈血栓症の診断、治療、予防に関するガイドライン(2017年改訂版)においても、CTは静脈造影、下肢静脈超音波検査と同様にClass I に分類されている。超音波検査のように術者のテクニックに左右されず安定した情報が得られる点でCTは優位であるが、コントラストの不足は常につきまとう問題である。造影CTにおいて動脈と異なり静脈は十分なコントラストが得られにくい。特に下肢静脈ではそれが顕著で、症例によっては造影効果がほとんど得られない場合もあり、診断に苦慮することも少なくない。Photon Counting CTは検出器の素材や構造、カウンティングメカニズムによって従来CTよりもコントラストの改善、高分解能、ノイズ低減、低被ばく撮影が可能となっており、DVT検索において有利と考えられる。
(1
Tadlock M et al. Am J Surg. 2015;209:959-68.
The origin of fatal pulmonary emboli: a postmortem analysis of 500 deaths from pulmonary embolism in trauma, surgical, and medical patients
(2
呂 彩子 脈管学 43 627-632, 2003
院外発症の肺動脈血栓塞栓症による突然死51例の病理形態学的検討
CT技術や撮像プロトコル設定について
当院では右上肢にルート確保し造影剤を15秒間注入し、肺動脈prep法(閾値=100 H.U.)で肺動脈相を撮影している。腋窩から鎖骨下静脈および上大静脈内の造影剤によるアーチファクトを低減する目的で造影剤注入後に生食後押しを行っている。さらに肺動脈相の撮影は足⇒頭方向とすることで肺尖部のアーチファクト低減を図っている。また、Flash spiralモードを使用することで非常に短時間での撮影が可能となっており、通常体型の患者であれば肺動脈相の撮影時間は約2秒程度である。
その後、総量600mgI/kgに到達するまで造影剤を追加注入し、240秒後に横隔膜から下肢までを撮影している。下肢静脈はコントラストが得られにくいため60keVの仮想単色X線画像を基本として作成している。60keV画像では100kVp撮影よりもヨード値の向上が得られ、より正確な診断に寄与すると考えている。
使用上の注意【電子添文より抜粋】
9.特定の背景を有する患者に関する注意
9.8 高齢者
患者の状態を観察しながら使用量を必要最小限にするなど慎重に投与すること。本剤は主として、腎臓から排泄されるが、高齢者では腎機能が低下していることが多いため、高い血中濃度が持続するおそれがある。[8.6、9.2.1、9.2.2 参照]