症例・導⼊事例

※ご紹介する症例は臨床症例の一部を紹介したもので、全ての症例が同様な結果を示すわけではありません。

ダイナミック造影CTを用いた膵癌術前精査の1例

施設名: 神戸大学医学部附属病院
執筆者: 放射線診断・IVR科 矢部 慎二 先生 / 放射線部 前林 知樹 先生
作成年月:2023年11月

※ 効能又は効果、用法及び用量、警告・禁忌を含む注意事項等情報等については、電子添文をご参照ください。

はじめに

症例背景

70歳代、女性、45kg、膵癌

検査目的

近医で膵頭部癌と閉塞性黄疸を指摘され、胆管ステントが留置された。精査加療のために当院へ紹介となり、ダイナミック造影CTが施行された。

使用造影剤

イオプロミド300注シリンジ「BYL」/ 86mL

症例解説

本症例では膵頭部に28mm大の膵癌病変を認めた。40keVの仮想単色X線画像では、70keVと比較して病変部がより明瞭に描出されている。病変部は門脈と半周以上接触しており、切除可能境界膵癌と診断された。術前化学療法を行った後に、膵頭十二指腸切除が施行された。

画像所見

図1.造影CT 膵実質相 Coronal像 70keV
膵体尾部で主膵管の拡張と膵実質の萎縮(矢印)あり。主膵管は膵頭部で途絶しており、主膵管の途絶部には膵実質相で低吸収の膵癌病変(矢頭)を認める。

図2.造影CT 膵実質相 Coronal像 40keV
40keVの仮想単色X線画像では70keVの画像と比較して、膵癌病変(矢頭)と正常膵実質(矢印)のコントラストはより明瞭に描出されている。

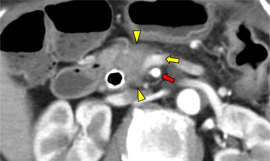
図3.造影CT 膵実質相 Axial像 70keV
膵頭部の膵癌病変(矢頭)は門脈 (矢印:黄)と半周を超える接触あり。上腸間膜動脈(矢印:赤)および、その他の主要な動脈との明らかな接触は認めなかった。

図4.造影CT 平衡相 Axial像 70keV
膵頭部の膵癌病変(矢頭)は平衡相では遷延性の造影効果がみられている。

図5.造影CT 膵実質相 Axial像 40keV
40keVの仮想単色X線画像では、70keVの画像と比較して膵癌病変(矢頭)と正常膵実質(矢印)の境界はより明瞭に描出されている。

図6.造影CT 平衡相 Axial像 40keV
平衡相では、背景の正常膵実質(矢印)と比較して膵癌病変(矢頭)には遷延性の造影効果がみられる。40keVの画像ではこの遷延性の造影効果がより明瞭に描出されている。

撮影プロトコル

表は横スクロールでご覧いただけます。

使用機器CT機種名/メーカー名Revolusion CT Apex / GE HealthCare
CT検出器の列数/スライス数256列 / 512スライス
ワークステーション名/メーカー名Advantage Workstation volumeShare 7

撮影条件

表は横スクロールでご覧いただけます。

撮影時相単純早期動脈相膵実質相(後
期動脈相)
門脈相平衡相
管電圧 (kV)80-14080-14080-14080-14080-140
AECnoise index 9.0
(AISR 30%)
noise index 9.0
(AISR 30%)
noise index 9.0
(AISR 30%)
noise index 9.0
(AISR 30%)
noise index 9.0
(AISR 30%)
ビーム幅 (mm)8080808080
撮影スライス厚 (mm)0.6250.6250.6250.6250.625
焦点サイズ (mm)1.2×1.61.2×1.61.2×1.61.2×1.61.2×1.6
スキャンモードGemstone Spec-
tral Imaging (GSI)
GSIGSIGSIGSI
スキャン速度(sec/rot)0.50.50.50.50.5
ピッチ0.5070.5070.5070.5070.507
スキャン範囲上腹部から骨盤上腹部上腹部上腹部上腹部から骨盤
撮影時間 (sec)5.815.55.55.55.81
撮影方向頭⇒足頭⇒足頭⇒足頭⇒足頭⇒足

再構成条件

表は横スクロールでご覧いただけます。

 単純早期動脈相膵実質相(後
期動脈相)
門脈相平衡相
ルーチン:再構成スライス厚/間隔 (mm/mm)5 / 55 / 55 / 55 / 55 / 5
ルーチン:再構成関数/逐次近似応用法Standard/True-
Fidelity Medium
Standard/True-
Fidelity Medium
Standard/True-
Fidelity Medium
Standard/True-
Fidelity Medium
Standard/True-
Fidelity Medium
3D/MPR用:再構成スライス厚/間隔 (mm/mm)0.625 / 0.6250.625 / 0.6250.625 / 0.625
3D/MPR用:再構成関数/逐次近似応用法Standard/TrueFi-
delity Medium
Standard/TrueFi-
delity Medium
Standard/TrueFi-
delity Medium

造影条件

自動注入器機種名/メーカー名Dual Shot GX7(Rev.3) / 根本杏林堂
造影剤名イオプロミド300注シリンジ

表は横スクロールでご覧いただけます。

 早期動脈相膵実質相(後期動脈相)門脈相平衡相
造影剤:投与量86ml (600 mgI/kg)
造影剤:注入速度 (mL/sec)、注入時間 (sec)2.8、31
生食:投与量 (mL)
生食:注入速度 (mL/sec)、注入時間 (sec)
スキャンタイミングBT法(下行大動脈/80HU
でScan Start(140kV))
ディレイタイムtrigger+5.4s前回のスキャン後5.7s前回のスキャン後30s前回スキャン後150s
留置針サイズ (G)22
注入圧リミット (kg/cm2)15

当院では膵臓癌の初回精査や術前検査目的に4相ダイナミック造影CTを行っている。
今回の症例はDual EnergyであるGemstone Spectral Imaging (GSI)を用いて撮影を行った。GSIで撮影することで、造影効果が低い場合やコントラスト強調をしたい場合に低keV画像の作成が可能となるようにした。
また、画像再構成法にDeep Learning ReconstructionであるTrueFidelityを用いることで、ノイズの低減した画像の作成を行っている。薄いスライス厚の画像や低keV画像では、さらにノイズの影響を受けるが、TrueFidelityによってクオリティーの高い画像を提供できるようにしている。

当該疾患の診断における造影CTの役割

膵癌の唯一の根治的治療は外科的な完全切除であり、正確な診断および切除可能性の評価は、画像診断における重要な役割である。膵癌取り扱い規約で規定されている切除可能性分類は、本邦における膵癌の治療方針決定に広く用いられている。切除可能性の評価においては、膵癌病変と主要動脈(上腸間膜動脈/腹腔動脈/総肝動脈)、主要静脈(上腸間膜静脈/門脈)との関係が特に重要であり、この詳細な評価においてダイナミック造影CTは必須のモダリティである。

一般的に膵癌は豊富な線維性間質を反映し、膵実質相で乏血性を呈し、平衡相にかけて遷延性の造影効果がみられる。膵癌病変は膵実質相における低吸収域として最も同定されやすいが、一部の症例では膵実質相で背景の正常膵実質と等吸収を呈することがあり、膵実質相と平衡相とを併せた評価が望ましい。臨床的には,特にサイズの小さな膵癌病変で、背景膵とのコントラストが不明瞭な場合に、膵癌病変の同定が困難となる場合がある。

造影コントラスト向上の技術は、このような小病変の描出能向上において期待される。特に近年ではDual energy CTの臨床的な普及が広がっており、仮想単色X線画像を用いることで、従来画像に類似した70keV程度の画像に加え、より造影効果を強調した40-50keVの画像なども追加で作成することができる。このような技術を活用することで、より正確な膵癌診断および適切な治療方針の決定につながることが期待される。

CT技術や撮像プロトコル設定について

膵腫瘍精査のダイナミック造影CTにおいて、当院では早期動脈相、膵実質相(後期動脈相)、門脈相、平衡相の4相で撮影を行っている。膵癌の術前評価においては、thin slice画像や水平断像などの再構成画像なども併せて、膵癌病変の進展範囲や血管解剖の詳細な評価を行っている。

今回使用したRevolution CTには、深層学習による画像再構成法Deep learning image reconstruction (DLIR)が実装されている。Dual energy CTにおける低keVでの仮想単色X線画像では、しばしばノイズによる画質低下が問題となるが、DLIRによるノイズ低減効果により、提示症例のように画質を保った上で効果的な造影効果の増強が得られている。

使用上の注意【電子添文より抜粋】

  • 1.慎重投与(次の患者には慎重に投与すること)

    (11)高齢者(「高齢者への投与」の項参照)
  • 5.高齢者への投与

    本剤は主として、腎臓から排泄されるが、高齢者では腎機能が低下していることが多いため、高い血中濃度が持続するおそれがあるので、患者の状態を観察しながら使用量を必要最小限にするなど慎重に投与すること。