症例・導⼊事例
※ご紹介する症例は臨床症例の一部を紹介したもので、全ての症例が同様な結果を示すわけではありません。
胃癌に対する術前腹部造影CT検査
施設名: 神戸大学医学部附属病院
執筆者: 祖父江 慶太郎 先生 / 医療技術部放射線部門 根宜 典行 先生
作成年月:2023年11月
※ 効能又は効果、用法及び用量、警告・禁忌を含む注意事項等情報等については、電子添文をご参照ください。
はじめに
症例背景
60歳代、女性、60kg、胃癌
検査目的
進行胃癌の症例、術前解剖評価を含めた腹部造影CTによる精査
使用造影剤
イオプロミド370注シリンジ「BYL」/ 89mL
症例解説
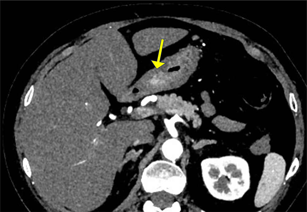
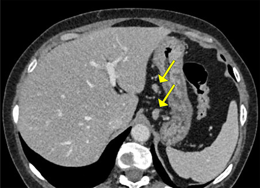
胃体下部小弯側に早期動脈相で他の粘膜面と比較して造影効果の強い領域が認められる。指摘されている胃癌病変を見ているものと考えられる。
胃周囲にはリンパ節と考えられる13mm程度の結節病変を複数個認め、リンパ節転移が疑われる。腹部傍大動脈域に病的有意なリンパ節腫大は認められない。本症例は、腹腔鏡下幽門側胃切除術が施行され、進行胃癌および領域リンパ節転移と診断された。
撮影プロトコル
表は横スクロールでご覧いただけます。
| 使用機器 | CT機種名/メーカー名 | SOMATOM Force / SIEMENS |
| CT検出器の列数/スライス数 | 96列 / 192スライス | |
| ワークステーション名/メーカー名 | Ziostation2 Plus / AMIN |
撮影条件
表は横スクロールでご覧いただけます。
| 撮影時相 | 単純 | 早期動脈相 | 門脈相 |
|---|---|---|---|
| 管電圧 (kV) | A管球:100/B管球:150(Sn) | 70 | A管球:100/B管球:150(Sn) |
| AEC | CARE Dose4D | CARE Dose4D | CARE Dose4D |
| (AECの設定) | Quality ref. A管球: 240mAs/B管球:120mAs | Quality ref. 240mAs, Ref.120kV | Quality ref. A管球: 240mAs/B管球:120mAs |
| ビーム幅 (mm) | 38.4 | 38.4 | 38.4 |
| 撮影スライス厚 (mm) | 0.6 | 0.6 | 0.6 |
| 焦点サイズ (mm) | 0.8×1.1 | 0.8×1.1 | 0.8×1.1 |
| スキャンモード | Dual Energy | Dual Source(DSXXLモード) | Dual Energy |
| スキャン速度(sec/rot) | 0.7 | 0.6 | 0.7 |
| ピッチ | 0.5 | 0.5 | 0.5 |
| スキャン範囲 | 腹部~骨盤まで | 上腹部まで | 腹部~骨盤まで |
| 撮影時間 (sec) | 10.28 | 7.63 | 10.28 |
| 撮影方向 | 頭→足 | 頭→足 | 頭→足 |
再構成条件
表は横スクロールでご覧いただけます。
| 単純 | 早期動脈相 | 門脈相 | |
|---|---|---|---|
| ルーチン:再構成スライス厚/間隔 (mm/mm) | 5 / 5 | 5 / 5 | 5 / 5 |
| ルーチン:再構成関数/逐次近似応用法 | Br40 / ADMIRE 2 | Br40 / ADMIRE 2 | Br40 / ADMIRE 2 |
| 3D/MPR用:再構成スライス厚/間隔 (mm/mm) | ー | 0.6 / 0.4 | 1 / 1 |
| 3D/MPR用:再構成関数/逐次近似応用法 | ー | Bv40 / ADMIRE 3 | Br40 / ADMIRE 2 |
造影条件
| 自動注入器機種名/メーカー名 | DualShotGX7(Rev.3) / 根本杏林堂 |
|---|---|
| 造影剤名 | イオプロミド370注シリンジ |
表は横スクロールでご覧いただけます。
| 早期動脈相 | 門脈相 | |
|---|---|---|
| 造影剤:投与量 (mgI/kg) | 510 | ー |
| 造影剤:注入時間 (sec) | 25 | ー |
| 生食:投与量 (mL) | 無 | ー |
| 生食:注入速度 (mL/sec)、注入時間 (sec) | 無 | ー |
| スキャンタイミング | BT法(下行大動脈/CT値+150HUでScan Start) | ー |
| ディレイタイム | trigger+5秒後 | 造影剤注入開始80秒後 |
| 留置針サイズ (G) | 20 | |
| 注入圧リミット (psi or kg/cm2) | 15 | |
当院の胃癌に対する術前検査目的は、遠隔転移の有無、リンパ節転移の有無、腫瘍近傍の胃壁肥厚や周囲臓器への浸潤の有無および血管走行などの解剖の把握である。
早期動脈相では、血管走行(動脈)の把握のため、高い造影効果を期待し低管電圧(70kV)を用いている。また低管電圧によるノイズの増加に対しては、2管球(Dualpower)を使用し高出力で撮影し、更に画像再構成はMBIRを用いている。
門脈相ではDualEnergyを用いており、血管走行(門脈)の造影効果が低い場合は、仮想単色X線画像にて低keV画像を作成できるように備えている。また単純もDualEnergyで撮影することで、同一の120kVp相当の画像を再構成することで臓器や病変の造影効果を確認できるようにしている。
当該疾患の診断における造影CTの役割
胃癌術前の腹部造影CT検査の役割は、画像診断ガイドラインにおいて、病期診断に有用であり推奨されている。
胃癌において、腫瘍は切除できるか、進行癌か早期癌か、病変の広がりなど術前診断を正確に行うためには画像診断は必要不可欠である。腹部造影CT検査では遠隔転移の有無、リンパ節転移の有無、腫瘍近傍の胃壁肥厚や周囲臓器への浸潤の有無を確認する。
胃癌に対する根治切除のアプローチ法はこの数年で大きく変わり、早期胃癌を中心に内視鏡治療や腹腔鏡下胃切除、ロボット支援手術が普及しつつある。これらの手術は拡大された術野での出血の少ない精緻なリンパ節廓清が特徴であるが、俯瞰した術野での病変進展範囲の把握が困難になるという課題もある。そのため、術前に十分なシミュレーションを行うために造影CTによる3D画像は有用である。正確な3D画像を作成することで外科医は血管走行を事前に把握でき、出血の回避や多臓器損傷のリスクを減少させることが可能になる。
CT技術や撮像プロトコル設定について
今回、使用したSIEMENS社製SOMATOM ForceはX線管を2個搭載した高出力が特徴のCT装置である。撮像プロトコルは単純、早期動脈相、門脈相の3相としている。早期動脈相は胃癌術前に重要な動脈走行の把握のため、高い造影効果が必要と考える。そのため70kVpを使用した低管電圧撮影を行っている。また低管電圧によるノイズの増加に対しては,2管球のDual powerを使用することで高体重の症例においても十分な線量を確保できノイズの押さえられた画像が得られている。さらに造影剤注入速度を高め(25sec注入)、再構成にMBIRを用いることで高画質な画像を得ている。平衡相はDual Energyを用い、3D作成時の門脈系の造影効果が低い場合には低keV画像を再構成している。
3D画像は、息止めによる早期動脈相と門脈相の位置ずれがあった場合は、非剛体補正による位置合わせを行う。動脈は腹腔動脈からの左胃動脈、右胃動脈の起始部や大網動脈の走行、門脈では左胃静脈の流入位置を描出することが求められる。また、膵臓や脾臓の実質臓器も3D画像に含めることで、手術時の視野をイメージできるよう配慮している。