症例・導⼊事例

※ご紹介する症例は臨床症例の一部を紹介したもので、全ての症例が同様な結果を示すわけではありません。

脳動脈奇形に対する術前3DCTA

施設名: 神戸大学医学部附属病院
執筆者: 祖父江 慶太郎 先生 / 医療技術部放射線部門 根宜 典行 先生
作成年月:2023年11月

※ 効能又は効果、用法及び用量、警告・禁忌を含む注意事項等情報等については、電子添文をご参照ください。

はじめに

症例背景

10歳代、男性、67kg、脳動静脈奇形

検査目的

脳動脈奇形に対し、脳動脈・静脈の走行など形態評価

使用造影剤

イオプロミド370注シリンジ「BYL」/ 58mL

症例解説

右頭頂葉から側頭葉に既知の出血を伴う脳動静脈奇形(AVM)を疑う病変を認める。AVM周囲に消退傾向の血腫と思われる高吸収域が認められ、周囲に浮腫性変化が拡大している。CT-AngiographyのVolume rendering画像では右内頚動脈~中大脳動脈を流入動脈として蛇行したナイダスが認められ、高度に拡張した導出静脈を介して下矢状静脈洞に還流していることが分かる。

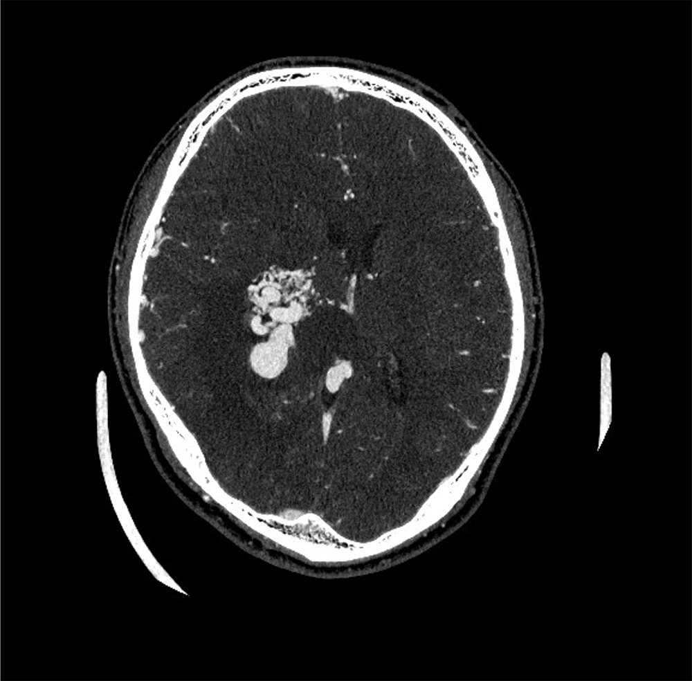
画像所見

図1.Axial画像
AVMに高い造影効果が得られてる。

図2.3D画像
精度の高い位置合わせを行ったCTとAngioのFusion image

図3.3D画像
Draine本体が明瞭に描出されている。

図4.3D画像
CT(静脈・骨)、Angio(動脈)、MR(血栓)のFusion image

撮影プロトコル

表は横スクロールでご覧いただけます。

使用機器CT機種名/メーカー名Aquilion Precision / Canon
CT検出器の列数/スライス数160列 / 320スライス
ワークステーション名/メーカー名Ziostation2 Plus / AMIN

撮影条件

表は横スクロールでご覧いただけます。

撮影時相単純動脈相
管電圧 (kV)120120
AECVolume ECVolume EC
(AECの設定)SD 2.5, FBP, FC21(4mm)SD 6, FBP, FC21(0.5mm)
ビーム幅 (mm)4040
撮影スライス厚 (mm)0.250.25
焦点サイズ (mm)0.6×0.60.6×0.6
スキャンモードSHR(Helical)SHR(Helical)
スキャン速度(sec/rot)11
ピッチPF 0.569/HP 91PF 0.569/HP 91
スキャン範囲頭部(18.8cm)頭部(18.8cm)
撮影時間 (sec)10.8610.86
撮影方向足→頭足→頭

再構成条件

表は横スクロールでご覧いただけます。

 単純動脈相
ルーチン:再構成スライス厚/間隔 (mm/mm)4 / 44 / 4
ルーチン:再構成関数/逐次近似応用法FC21 / AIDR 3D WeakFC21 / AIDR 3D Weak
3D/MPR用:再構成スライス厚/間隔 (mm/mm)0.25 / 0.250.25 / 0.25
3D/MPR用:再構成関数/逐次近似応用法AiCE Body Sharp MildAiCE Body Sharp Mild

造影条件

自動注入器機種名/メーカー名DualShotGX7(Rev.3) / 根本杏林堂
造影剤名イオプロミド370注シリンジ

表は横スクロールでご覧いただけます。

 動脈相
造影剤:投与量26mgI/kg/sec×18sec
造影剤:注入速度 (mL/sec)、注入時間 (sec)4.7、18
生食:投与量 (mL)30
生食:注入速度 (mL/sec)、注入時間 (sec)4.7、6
スキャンタイミングBT法(頭蓋底/CT値+150HUでScan Start)
ディレイタイムtrigger+0秒後
留置針サイズ (G)20
注入圧リミット (psi or kg/cm2)15

撮影での注意点は、まず動きによるアーチファクトが微細血管の描出に影響することから、検査前(頭部固定前)に造影剤の熱感等の説明を行い、患者さんに協力をお願いする。
造影条件での注意点は、AVMなどのシャント疾患は血流速度が早いことから、BT法のモニタリングレベルを撮影開始位置付近とし、設定したROIが閾値に到達したら、Delay timeを0秒としてすぐに撮影としている。ちなみに脳動脈瘤術前はDelay timeを4secとしている。

当該疾患の診断における造影CTの役割

頭部に対する造影CT検査には頭部CT-Angiography(CTA)や4D撮影がある。頭部CTAは脳血管障害の原因診断や腫瘍周辺の血管構造を把握する目的で施行される。一方4D撮影は血流評価に有用な撮影方法であり、脳動静脈奇形などシャント疾患において、流入動脈ーナイダスー導出静脈を正確に把握することが重要であるが、そのためには高い時間分解能と空間分解能が必要であり、装置性能や患者因子(血行動態)によっては描出が困難なこともある。また放射線被ばく増加の観点から、検査適応には十分な検討が必要と考える。今回の症例においては、血管造影を行う予定であり、形態評価としてナイダスと導出静脈、骨との関係性を把握する目的であったため4D撮影を選択せず、頭部CTAを実施した。当院では、術前の頭部CTAは微細な頭部血管描出のため高精細CTを用いて撮影を行っている。また、近年の3Dワークステーションは複数モダリティ画像のFusionが可能であり、位置合わせの精度も向上しているため、各モダリティの特徴を活かした3D画像作成も可能となっている。

CT技術や撮像プロトコル設定について

頭部血管は微細な血管が多く、3D画像での病変部およびその周辺の情報が術前シミュレーションに有用となるので、元画像であるCTデータが重要である。

使用したCT装置Aquilian Precision(キヤノンメディカルシステムズ)の特徴を説明する。最小の検出器幅が0.25mm、従来のCTと比べ画素サイズのチャンネル幅とスライス幅が半分となり、チャンネル数は1792channel(ch)と2倍になっている。またX線管焦点サイズも従来よりも小さく、最小で0.4×0.5mmとなっている。スキャンモードは3種類あり0.5mm×856chのNormal mode、0.5mm×1792chのHigh resolution modeと0.25mm1792chのSuper high resolution modeがある。再構成では装置のもつ分解能を最大限に生かすため、再構成マトリックスは従来の512×512に加え1024×1024、更には2048×2048に対応し、約4~8倍の情報量を得ることができる。また画像再構成技術であるDeep Learning Reconstruction(DLR)を用い、高いノイズ低減効果、高い空間分解能を達成できている。

造影条件は、造影用ルートは右手20Gのルート確保を行った。フラクショナルドーズ26mgI/kg/sec、注入時間:18secとし、ボーラストラッキング法を用いて動静脈の造影効果が高い時相を目標に1相撮影としている。画像処理にも微細な血管表示を考慮し、1024マトリクス画像対応の3Dワークステーションを用いた。

使用上の注意【電子添文より抜粋】

  • 9.特定の背景を有する患者に関する注意
  • 9.8 高齢者
    患者の状態を観察しながら使用量を必要最小限にするなど慎重に投与すること。本剤は主として、腎臓から排泄されるが、高齢者では腎機能が低下していることが多いため、高い血中濃度が持続するおそれがある。[8.6、9.2.1、9.2.2 参照]