症例・導⼊事例

※ご紹介する症例は臨床症例の一部を紹介したもので、全ての症例が同様な結果を示すわけではありません。

右冠動脈起始異常の一例

施設名: 横浜市立大学附属病院
執筆者: 放射線診断科 加藤 真吾 先生 / 放射線部 泉 敏治 先生
作成年月:2023年9月

※ 効能又は効果、用法及び用量、警告・禁忌を含む注意事項等情報等については、電子添文をご参照ください。

はじめに

症例背景

50歳代、女性、50kg、右冠動脈起始異常

検査目的

心電図異常の原因検査で冠動脈CTを施行

使用造影剤

イオプロミド300注シリンジ「BYL」/ 57ml

症例解説

心電図異常(Ⅱ、Ⅲ、aVF, V4-6の新規の陰性T波)の精査目的に冠動脈CTが施行された。明らかな胸痛や心疾患の既往歴はない。冠動脈CTでは右冠動脈の起始異常が認められ、大動脈と肺動脈の間を走行することが確認された。

画像所見

図1.冠動脈CT volume rendering像
右冠動脈は右冠尖のやや上方から起始している。(矢印)

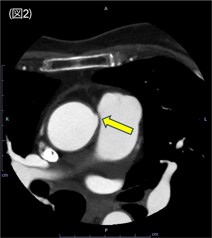
図2.冠動脈CT axial 像
右冠動脈は大動脈と肺動脈の間を走行している。

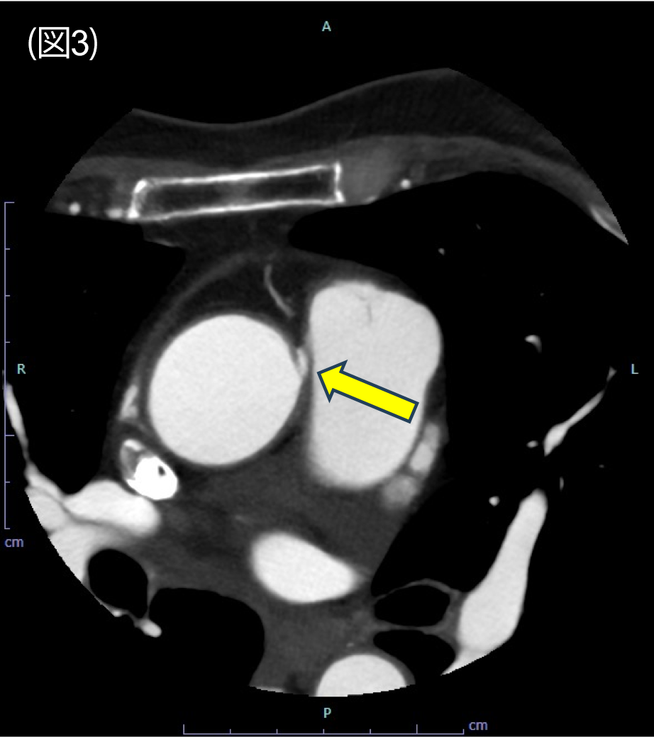
図3.冠動脈CT axial 像
右冠動脈は大動脈と肺動脈の間を走行している。

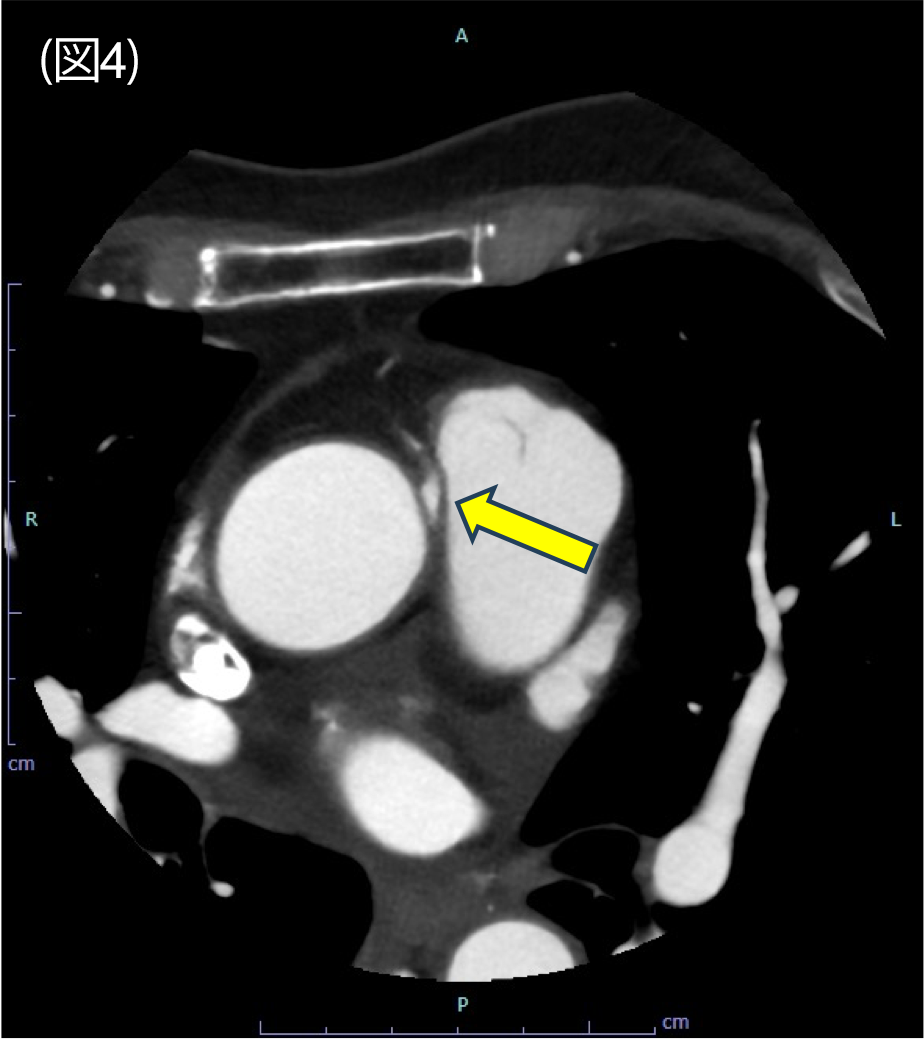
図4.冠動脈CT axial 像
右冠動脈は大動脈と肺動脈の間を走行している。

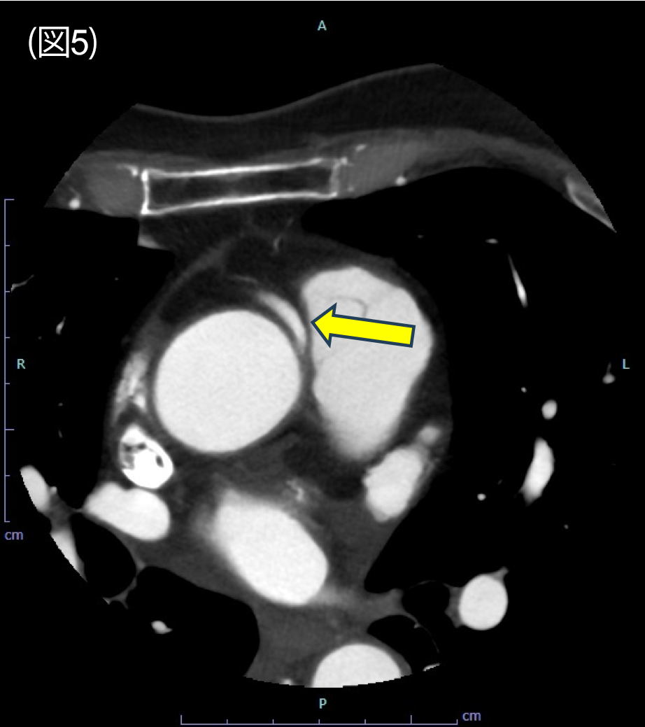
図5.冠動脈CT axial 像
右冠動脈は大動脈と肺動脈の間を走行している。

撮影プロトコル

表は横スクロールでご覧いただけます。

使用機器CT機種名/メーカー名Aquilion ONE PRISM Edition / CANON
ワークステーション名/メーカー名Zaiostation / ZAIO

撮影条件

表は横スクロールでご覧いただけます。

撮影時相単純動脈相
管電圧 (kV)120120
AEC1219
ビーム幅 (mm)0.50.5×280
撮影スライス厚 (mm)0.50.5
焦点サイズLL
スキャンモードhelicalVolume
スキャン速度(sec/rot)0.50.275
ピッチ65
スキャン範囲胸部心臓
撮影時間 (sec)70.275
撮影方向頭⇒足固定

再構成条件

表は横スクロールでご覧いただけます。

 単純動脈相
ルーチン:再構成スライス厚/間隔 (mm/mm)5 / 52 / 2
ルーチン:再構成関数/逐次近似応用法AiCE Body Sharp MildPIQE Cardiac Mild
3D/MPR用:再構成スライス厚/間隔 (mm/mm)1 / 0.80.5 / 0.25
3D/MPR用:再構成関数/逐次近似応用法AiCE Body Sharp MildPIQE Cardiac Mild

造影条件

自動注入器機種名/メーカー名デュアルショット GX7 / 根本杏林堂
造影剤名イオプロミド300注シリンジ

表は横スクロールでご覧いただけます。

 動脈相
造影剤:投与量 (mgI/sec/kg)24.5
造影剤:注入時間 (sec)12
生食:投与量4:6混合注入(造影剤8mL:生食12mL)
生食:注入速度、注入時間4ml/sec、5sec
スキャンタイミングlsalva洞(200)
ディレイタイム (sec)0
留置針サイズ (G)20
注入圧リミット (kg/cm2)12

CT検査室入室時の心拍が70bpmであった。よってランジオロール塩酸塩を使用し撮影を行った。撮影時の心拍は60bpmであった。
ワークステーションによる心機能解析を行えることを目的に生理食塩水単独の注入ではなく造影剤との混合注入をを行っている。
それに伴い検査時のデータ収集はModulation法を用い収縮期から拡張期までの撮影を行った。

当該疾患の診断における造影CTの役割

冠動脈の起始異常は稀な病態で、0.3~1%の頻度で見られると報告されている1。通常は無症状であり、冠動脈造影や冠動脈CTにより偶然発見されることが多い。基本的には予後の良い疾患であるが、心筋虚血との関連も報告されている2。その原因として、異常走行する冠動脈が大血管(大動脈と肺動脈)に挟まれることによる圧迫、冠動脈の異常起始部の強い屈曲、冠動脈起始部の大動脈壁内走行による入口部狭窄などが考えられている。

冠動脈起始異常の予後などの臨床像は不明な点が多いが、近年、日本国内の多施設共同研究が行われ、冠動脈起始異常の心臓突然死発症の高リスク群の特徴が検討された3。突然の心停止、急性心筋梗塞、狭心症、失神を経験した40施設の65例を対象とした。異常血管は右冠動脈が72%、左冠動脈が28%であった。年齢40歳以下、男性、スポーツ活動、acute take-off angle(分岐角度30度以下)が突然の心停止の危険因子であることが示された。

CTやMRIによる画像診断は、診断や治療計画の一環としても重要である。冠動脈の入口部狭窄の強い場合や動脈硬化の合併例では冠動脈バイパス術が考慮される。また、異常起始の冠動脈近位部の屈曲角や大動脈壁内走行の距離を正確に計測が可能であり、リスク評価にも有用である。

参考文献

  1. Namgung J et al. BMC Cardiovasc Disord. 2014;14:48.
  2. WM Gersony et al. J Am Coll Cardiol. 2007;50:2083-4.
    ZrKCttnuEFA%3D&reserved=0" https://www.sciencedirect.com/science/article/pii/S0735109707027933?via%3Dihub
  3. Nagashima K et al. Eur Heart J Cardiovasc Imaging. 2020;21:222-230.