症例・導⼊事例

※ご紹介する症例は臨床症例の一部を紹介したもので、全ての症例が同様な結果を示すわけではありません。

フォトンカウンティングCTを用いた肺癌術前検査の1例

施設名: 名古屋市立大学
執筆者: 名古屋市立大学大学院医学研究科 放射線医学分野 中島 雅大 先生、樋渡 昭雄 先生
作成年月:2023年8月

※ 効能又は効果、用法及び用量、警告・禁忌を含む注意事項等情報等については、電子添文をご参照ください。

はじめに

症例背景

70歳代、男性、44kg、肺癌

検査目的

左上葉肺癌に対して左上葉切除術予定。術前検査目的に胸上腹部CT施行

使用造影剤

イオプロミド300注シリンジ「BYL」/ 92mL

症例解説

気管支鏡検査後、adenocarcinoma疑いの診断であった。手術施行されたが、癒着強く切除困難で審査開胸のみで終了した。化学放射線療法施行中である。

画像所見

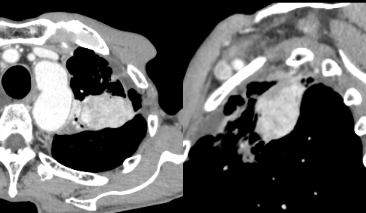
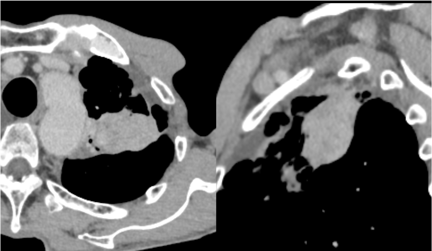
図1.単純CT縦隔条件
左肺上葉に腫瘤を認める。

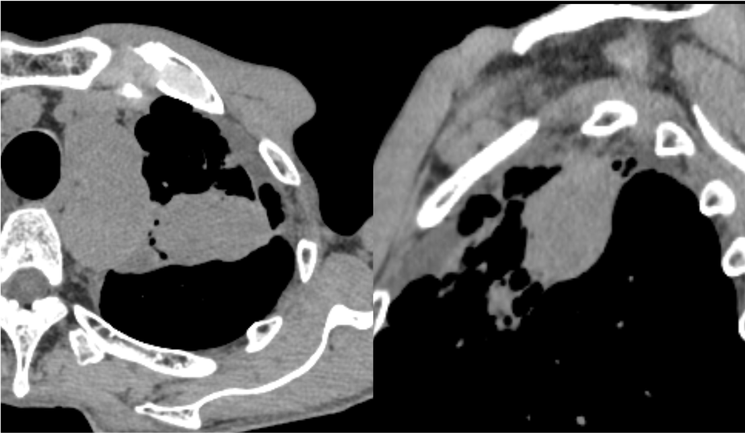
図2.造影CT早期相
早期相では腫瘤の造影効果は不明瞭である。

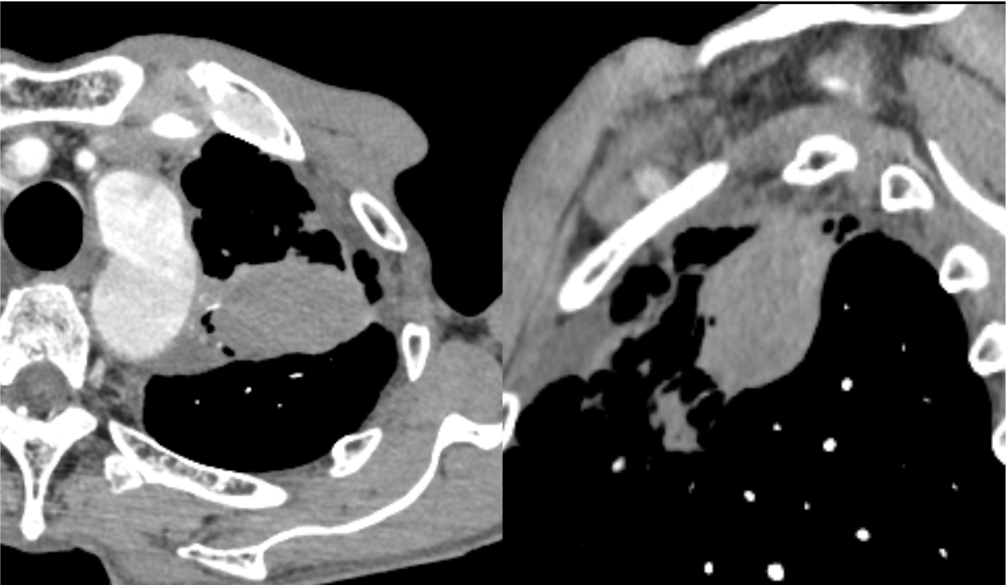
図3.造影CT後期相(Virtual Monoenergetic Image 40keV表示)
40keV表示では、腫瘤の造影効果が図4に比して強調されている。

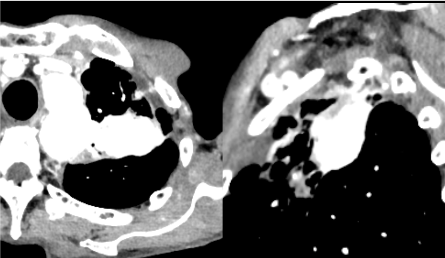
図4.造影CT後期相(Virtual Monoenergetic Image 70keV表示)
70keV表示は、一般的な後期相の造影効果を表している。

図5.造影CT後期相(Virtual Monoenergetic Image 100keV表示)
100keV表示では、造影効果は減弱しているが、ノイズは軽減している。

図6.keVと腫瘤のROI値の関係を示したグラフ
keVを下げるほど、腫瘤の吸収値は大きく上昇する。

撮影プロトコル

表は横スクロールでご覧いただけます。

使用機器CT機種名/メーカー名NAEOTOMα / Siemens Healthineer
CT検出器の列数/スライス数288 x 0.2
ワークステーション名/メーカー名Syngo Via / Siemens Healthineer

撮影条件

表は横スクロールでご覧いただけます。

撮影時相単純早期相後期相
管電圧 (kV)140140140
AECIQ level: 190IQ level: 190IQ level: 190
管電流時間 (Eff.mAs)747474
ビーム幅 (mm)57.657.657.6
撮影スライス厚 (mm)111
焦点サイズlargelargelarge
スキャンモードHelicalHelicalHelical
スキャン速度(sec/rot)0.50.50.5
ピッチ0.850.850.85
スキャン範囲胸部~上腹部胸部胸部~上腹部
撮影時間 (sec)31.093
撮影方向頭→足頭→足頭→足

再構成条件

表は横スクロールでご覧いただけます。

 単純早期相後期相
ルーチン:再構成スライス厚/間隔 (mm/mm)515
ルーチン:再構成関数/逐次近似応用法Qr40 / QIR2Qr40 / QIR2Qr40 / QIR2

造影条件

自動注入器機種名/メーカー名Dual Shot GX7 / Nemoto
造影剤名イオプロミド300注シリンジ

表は横スクロールでご覧いただけます。

 早期相後期相
造影剤:投与量(mL)92 mL
造影剤:注入速度、注入時間注入速度4mL/sec、注入時間23sec
スキャンタイミング固定法
ディレイタイム造影剤注入開始20 sec後造影剤注入開始90sec後
留置針サイズ (G)22
注入圧リミット (kg/cm2)12

当該疾患の診断における造影CTの役割

術前検査として、腫瘍の造影効果、浸潤の程度、血管走行、気管支走行との関係について評価することが主たる目的である。また胸上腹部の広範囲を撮影し、遠隔転移の評価も目的の一つである。胸部X線や超音波、MRIではその評価は困難で、CTでのみ評価できる。造影剤量および注入速度、撮像タイミングには注意が必要である。造影剤量は100mL程度使用し、腫瘍の造影効果を担保する必要がある。また血管の評価も重要な項目であり、4mL/sec程度の高速注入が必要で、早期相の撮影が必須である。早期相と後期相の2相以上の撮影で、肺癌の造影パターン、リンパ節評価、肝臓に腫瘤があれば造影パターンの評価に有用である。

CT技術や撮像プロトコル設定について

今回使用したフォトンカウンティングCTであるNAEOTOMαは、従来型のCTと異なる点として、仮想単色X線画像(Virtual Monoenergetic Image: VMI)が撮影後に使用できる点が挙げられる。70keVでの表示が基本設定だが、40keVの低エネルギー画像、100keV以上の高エネルギー画像も任意に取得できる。体重が少ない患者や腎機能低下患者で造影剤量を減量せざるを得ない状況でも、低エネルギー画像によって造影効果を持ち上げ、評価を可能にする。また金属アーチファクトが強い部位などでは、高エネルギー画像を取得し、アーチファクト低減に役立てることも可能である。またkeVの値によってどの程度の吸収値を呈するか、グラフ化することも容易である。留意している点としては、ヨード量を担保するために体重別に造影剤使用量、造影剤注入速度を変更して運用している。

使用上の注意【電子添文より抜粋】

  • 9.特定の背景を有する患者に関する注意

    9.8 高齢者
    患者の状態を観察しながら使用量を必要最小限にするなど慎重に投与すること。本剤は主として、腎臓から排泄されるが、高齢者では腎機能が低下していることが多いため、高い血中濃度が持続するおそれがある。[8.6、9.2.1、9.2.2 参照]