症例・導⼊事例
※ご紹介する症例は臨床症例の一部を紹介したもので、全ての症例が同様な結果を示すわけではありません。
肺動脈血栓の検出に有用であった一例
施設名: 東京医科大学八王子医療センター
執筆者: 放射線科 池永 翔一 先生
作成年月:2023年7月
※ 効能又は効果、用法及び用量、警告・禁忌を含む注意事項等情報等については、電子添文をご参照ください。
はじめに
症例背景
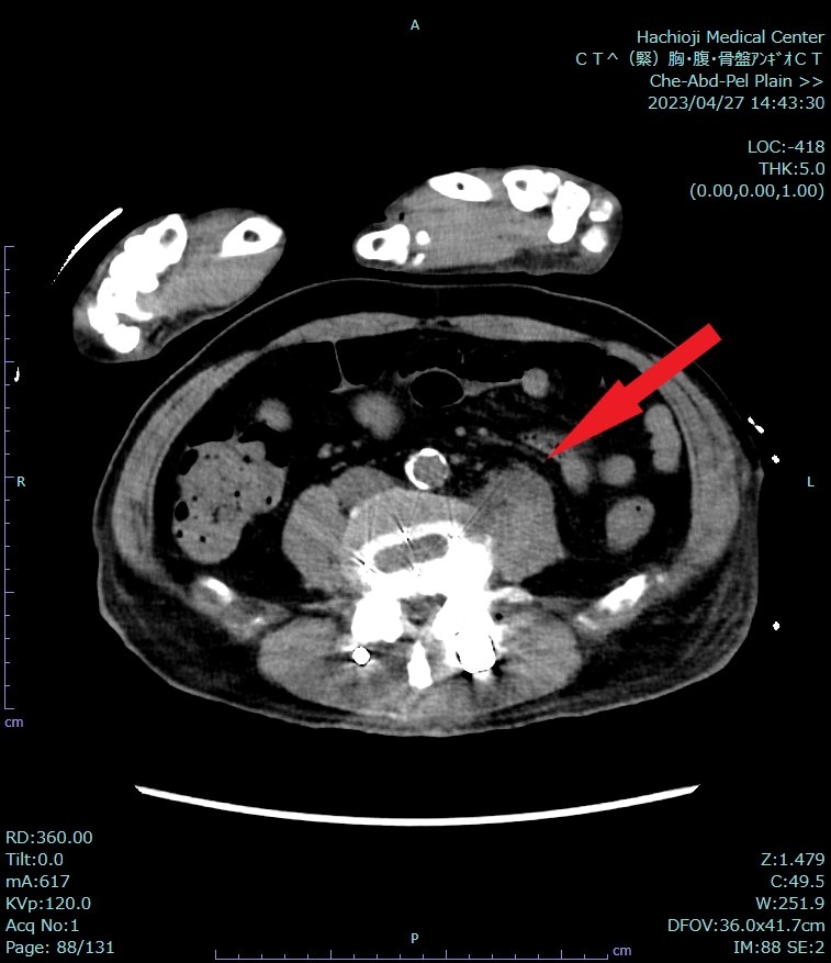
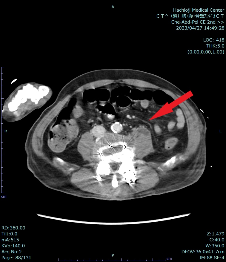
80歳代、男性、右腸腰筋膿瘍
検査目的
呼吸困難精査
使用造影剤
イオプロミド370注シリンジ「BYL」/ 100ml
症例解説
症例は80歳代男性。他院にて腰部脊柱管狭窄症に対して手術後、CTにて肺炎を認め、抗生剤加療を開始した。しかし呼吸器症状の増悪あり、CTでARDSを疑う陰影を認めたため、呼吸管理目的に当院に搬送となった。入院時のスクリーニングCTにて、左大腰筋に偶発的に膿瘍を認めた。すでに肺炎治療のため、抗生剤は投与されており、腸腰筋膿瘍に関しては経過観察の方針となった。第12病日に呼吸状態の改善を認めたため、退院となった。なお、腸腰筋膿瘍に関しては入院中に明らかな増悪を認めなかった。
撮影プロトコル
表は横スクロールでご覧いただけます。
| 使用機器 | CT機種名/メーカー名 | Revolution Apex / GE |
| CT検出器の列数/スライス数 | 256 / 256 | |
| ワークステーション名/メーカー名 | SYNAPSE VINCENT / 富士フィルム |
撮影条件
表は横スクロールでご覧いただけます。
| 撮影時相 | CTA+Delay | Plain |
| 管電圧 (kV) | Dual 80-140 | 120 |
| AEC | on | on |
| AECの設定 | 5mm:SD10 12 | 5mm:SD12 |
| ビーム幅 (mm) | 80 | 80 |
| 撮影スライス厚 (mm) | 5.0 | 5.0 |
| 焦点サイズ | L | L |
| スキャンモード | Helical | Helical |
| スキャン速度(sec/rot) | 0.5sec | 0.5 |
| ピッチ | 0.508 | 0.9921 |
| スキャン範囲 | 胸腹骨盤部 | 胸腹骨盤部 |
| 撮影時間 (sec) | 7 | 3.5 |
| 撮影方向 | 頭→足 | 頭→足 |
再構成条件
表は横スクロールでご覧いただけます。
| CTA+Delay | Plain | |
| ルーチン:再構成スライス厚/間隔 (mm/mm) | 5.0 | ー |
| ルーチン:再構成関数/逐次近似応用法 | std/DLIR:Low | ー |
| 3D/MPR用:再構成スライス厚/間隔 (mm/mm) | 1.25 / 1.25 | ー |
| 3D/MPR用:再構成関数/逐次近似応用法 | std / DLIR:Medium | ー |
造影条件
| 自動注入器機種名/メーカー名 | GX7 / 根本杏林堂 |
| 造影剤名 | イオプロミド370注シリンジ |
表は横スクロールでご覧いただけます。
| CTA+Delay | Plain | |
| 造影剤:投与量 | 74ml Fractional Dose=24mgI/kg/sec | ー |
| 造影剤:注入速度 、注入時間 | 22sec 固定(3.2ml/sec) | ー |
| 生食:投与量(mL) | 30 | ー |
| 生食:注入速度 、注入時間 | 3.2ml/sec 造影剤と同じ | ー |
| スキャンタイミング | BT法(心臓中心 manual start) | ー |
| ディレイタイム (sec) | ー | ー |
| 留置針サイズ (G) | 22 | |
| 注入圧リミット (kg/cm2) | 15 | |
当該疾患の診断における造影CTの役割
来院時には呼吸困難の他、CRP20mg/dlと炎症反応高値を認めていたため、熱源精査もかねて造影CTを施行した。炎症があれば血流が増加することから、炎症を生じている部位の増強効果がみられるため、異常所見が明瞭化する。特に膿瘍はある程度時間が経つと辺縁がよく造影される低吸収域がみられることが知られている。したがって、炎症反応が高く、腹腔内や骨盤腔内に炎症性疾患が疑われる場合は、造影CTによる熱源の検索が望まれる。本症例では、単純CTでは感染源の同定は困難であったが、造影することによって、右大腰筋に膿瘍があることがわかった。本症例のように、入院直後であり、情報が少ない場合はある程度すべての疾患も網羅できるように撮像する必要がある。ただし、単純CTに加え、造影CTでは動脈相と実質相の撮像を必要となり、被ばく量が増加するため、本当にその撮像が必要かはよく考えなければならない。
CT技術や撮像プロトコル設定について
歯科治療後の口腔領域,整形外科的手技等による金属インプラントなど体内金属に遭遇する機会は多く,金属アーチファクトにより周囲の評価が不良となる例はしばしば経験される。これに対して金属アーチファクト低減アルゴリズム(MAR: metal artifact reduction algorithm)の有用性が知られているが、これに高エネルギーレベルの仮想単色X線画像を併用することで、さらにノイズ低減とビームハードニング効果の抑制が可能となり画質の改善が望める。造影CTの場合にその造影効果も同時に低下することに注意が必要であるが、逆にMARに低エネルギーレベルの仮想単色X線画像を併用することで造影効果を保ったまま金属アートファクトを抑制することも可能である。本症例も腰部脊柱管狭窄症の術後ということもあって、腹骨盤腔内にはアーチファクトがみられた。指摘された膿瘍は微小病変であり、従来であればアーチファクトによりマスクされていたであろうが、MARを利用することにより、本疾患の指摘に至った。
使用上の注意【電子添文より抜粋】
1.慎重投与(次の患者には慎重に投与すること)
(11)高齢者(「高齢者への投与」の項参照)5.高齢者への投与
本剤は主として、腎臓から排泄されるが、高齢者では腎機能が低下していることが多いため、高い血中濃度が持続するおそれがあるので、患者の状態を観察しながら使用量を必要最小限にするなど慎重に投与すること。