症例・導⼊事例
※ご紹介する症例は臨床症例の一部を紹介したもので、全ての症例が同様な結果を示すわけではありません。
下大静脈腫瘍栓診断におけるslow infusion造影とTrue FISP(3D-SSFP)の役割
施設名: 公立大学法人 横浜市立大学附属市民総合医療センター
執筆者: 放射線診断科 関川 善二郎 先生 / 放射線部 出川 輝浩 先生
作成年月:2023年1月
※ 効能又は効果、用法及び用量、警告・禁忌を含む注意事項等情報等については、電子添文をご参照ください。
ガドビストを用いたMRI検査の方法
撮像パラメータ
表は横スクロールでご覧いただけます。
| 撮像名 | 撮像 シーケンス | 撮像時間 (sec) | TE (msec) | TR (msec) | FA (deg) | Fat Sat (種類) | P-MRI (Reduction Factor) | 息止め (有無) | NEX (加算回数) | k-space | 面内分解能 (mm) |
| Loca 3R | 2D FLASH gre | 9 | 5 | 15 | 40 | ー | 2 | 有 | 1 | linear | 1.8×1.8 |
| Ax T2 | 2D tse BLADE | 276 | 93 | 7830 | 143 | ー | 2 | 無 | 1 | radial | 1.1×1.1 |
| Ax DWI b50 , b800 | 2D se EPI | 183 | 75 | 3500 | 180 | chess | 4 | 無 | 2/10 | linear | 1.1×1.1 |
| Ax T1fs pre CE | 3D VIBE gre | 15 | 2 | 4.6 | 13 | chess | 2 | 有 | 1 | linear | 1.1×1.1 |
| Ax SSFP pre | 3D True FISP | 20 | 1.4 | 224 | 68 | ー | 2 | 有 | 1 | linear | 1.5×1.5 |
| Ax T1fs free breath +CE | 3D Star VIBE gre | 225 | 1.4 | 3 | 10 | SPAIR | ー | 無 | 1 | radial | 1.1×1.1 |
| Ax SSFP +CE | 3D True FISP | 20 | 1.4 | 224 | 68 | ー | 2 | 有 | 1 | linear | 1.5×1.5 |
| Ax T1fs breath hold +CE | 3D VIBE gre | 15 | 2 | 4.6 | 13 | chess | 2 | 有 | 1 | linear | 1.1×1.1 |
| Cor T1fs +CE | 3D VIBE gre | 15 | 2.2 | 4.8 | 14 | chess | 4 | 有 | 1 | linear | 1.1×1.1 |
表は横スクロールでご覧いただけます。
| 撮像名 | Slice厚 (mm) | FOV (mm) | Rectangular FOV(%) | 位相方向 (step数) | リード方向 (matrix数) | 実scan% | Slice Gap (mm) | Slice 枚数 | 3D partition (数) | 3D実ス キャン (%) | 3D over sampling (%) |
| Loca 3R | 10 | 450 | 100 | 128 | 256 | 100 | 5 | 6 | ー | ー | ー |
| Ax T2 | 5 | 340 | 100 | 320 | 320 | 100 | 1 | 40 | ー | ー | ー |
| Ax DWI b50 , b800 | 5 | 380 | 81 | 143 | 178 | 88 | 1 | 44 | ー | ー | ー |
| Ax T1fs pre CE | 4 | 340 | 81 | 166 | 320 | 88 | ー | 48 | 1 | 75 | 25 |
| Ax SSFP pre | 2 | 380 | 75 | 154 | 256 | 100 | ー | 60 | 2 | 100 | 46 |
| Ax T1fs free breath +CE | 2 | 360 | 100 | 320 | 320 | 100 | ー | 128 | 1 | 88 | 25 |
| Ax SSFP +CE | 2 | 380 | 75 | 154 | 256 | 100 | ー | 60 | 2 | 100 | 46 |
| Ax T1fs breath hold +CE | 4 | 340 | 81 | 166 | 320 | 88 | ー | 48 | 1 | 75 | 25 |
| Cor T1fs +CE | 3 | 340 | 100 | 240 | 320 | 100 | ー | 60 | 1 | 75 | 20 |
| MRI装置 | MAGNETOM Avanto fit(SIEMENS) |
| 自動注入器 | Snoic shot 7(Nemoto) |
| ワークステーション | ー |
表は横スクロールでご覧いただけます。
| 造影条件 | 投与量 | 投与速度(mL/sec) | 撮像タイミング(造影剤注入開始後/sec) | |
| ガドビスト | 0.1mL/kg | 0.1 | Ax T1fs free breath +ce:60sec Ax SSFP breath hold +ce:300sec Ax T1fs breath hold +ce:330sec Cor T1fs breath hold +ce:360sec | |
| 後押し用 生理食塩水 | ー | ー |
症例
症例背景と造影MRI検査の目的
70歳代、男性、60kg、転移性下大静脈内腫瘍、転移性肝腫瘍、転移性肺腫瘍
十二指腸乳頭部癌術後。転移性肝、肺腫瘍術後。ヨード造影剤アレルギー歴あり。肺生検前の心臓超音波検査で下大静脈内腫瘍が疑われ、腫瘍進展範囲確認のため造影MRI検査を施行。
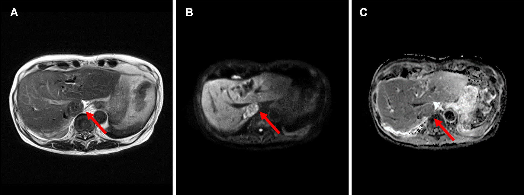
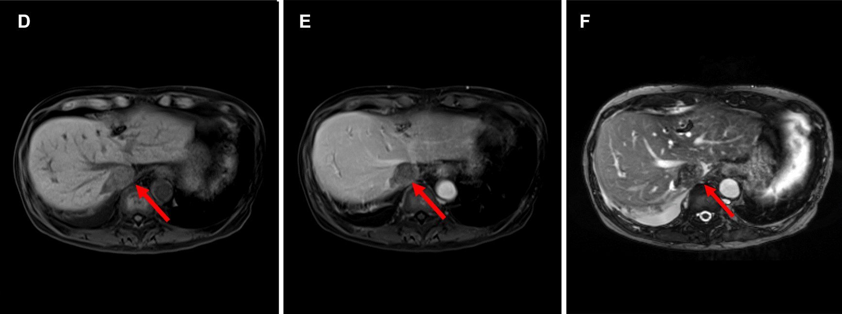
図2.ガドビスト造影MRI (A:T2WI B:DWI(b=800) C:ADCmap D:造影前脂肪抑制T1WI E:造影後脂肪抑制T1WI F:造影後True FISP G:造影後TrueFISP冠状断像)
(A-F→)下大静脈内の腫瘍はT2WI低信号で、DWIで不均一な高信号、ADCは軽度低下している。hypovascularであり、造影True FISP冠状断像で頭側は右房内(➤)、尾側は右腎静脈起始部(⇒)、左腎静脈(➔)に及んでいることがわかる。
症例解説
十二指腸乳頭部癌術後。転移性肺、肝腫瘍のため左肺下葉、肝S6亜区域切除術後(いずれも30年ほど前)。ヨード造影剤アレルギー歴あり、近年造影CTは行っていない。新たな肺結節が出現し、肺部分切除による生検予定となったが、心臓超音波検査で下大静脈内腫瘍が指摘された。
本症例における造影 MRI の役割
転移性肝腫瘍の経過観察でプリモビストMRIを行っており、心臓超音波後、hypovascularな下大静脈内腫瘍がプリモビストMRIでも確認された。腫瘍進展範囲の精査としてガドビストMRIを施行。Slow infusion造影(6倍希釈した造影剤を6分間流し続ける)のTrue FISPを加え、腫瘍周囲の血管を乱流の影響を抑え、常に高信号に描出することでhypovascularな腫瘍の正確な進展範囲が評価可能であった。
9.特定の背景を有する患者に関する注意【電子添文より抜粋】
9.8 高齢者
患者の状態を十分に観察しながら慎重に投与すること。一般に生理機能が低下している。