症例・導⼊事例
はじめに
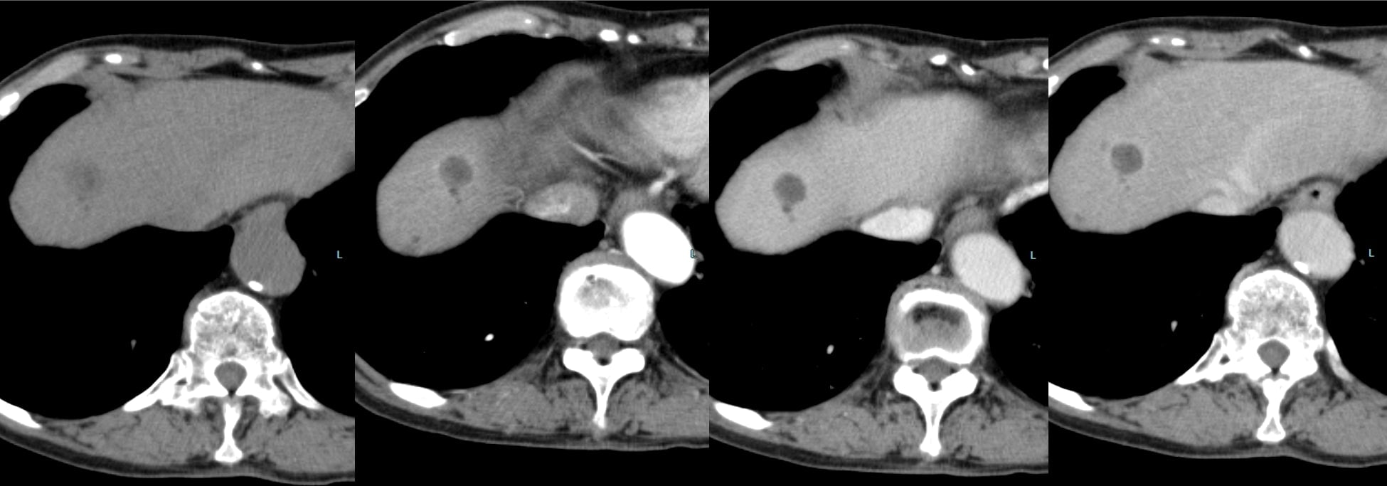
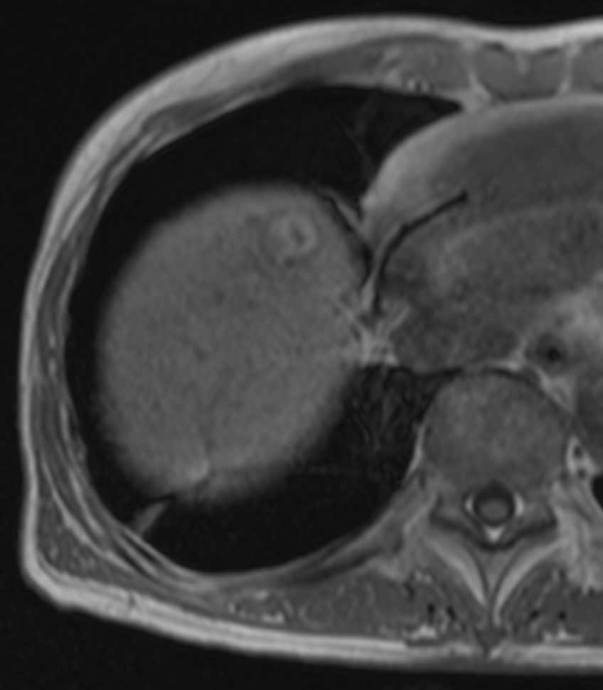
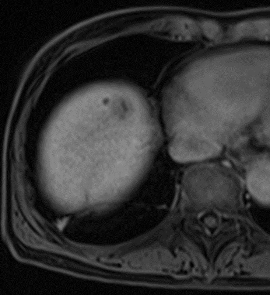
症例背景
60歳代、女性、53kg、HCC
検査目的
C型肝炎でフォロー中に肝腫瘍の指摘あり。前医CTにて肝内胆管癌が疑われ、手術目的に当院紹介。肝腫瘍の術前精査目的に再度造影CTとEOB-MRIを施行した。
使用造影剤
EOB・プリモビスト注 0.1mL/kg
症例解説
Necrotic HCCと診断され、切除術を施行された。病理診断でも No residual carcinoma with necrosisとの診断であった。その後再発を認めず、経過観察となっている。
撮影プロトコル
表は横スクロールでご覧いただけます。
| 撮像名 | 撮像シーケンス | 撮像時間 (min:sec) | TE (msec) | TR (msec) | FA (deg) | Fat Sat (種類) | ETL (数) | P-MRI (Reduction Factor) | 息止め (有無) | NEX (加算回数) | k-space |
| Dual echo | flash | 35.6 | 2.38 4.76 | 122 | 70 | ー | ー | GRAPPA 2 | 有 | 1 | cartesian |
| 造影剤投与 | |||||||||||
| Dynamic | vibe | 15.0 | 2.39 | 6.55 | 15 | Q-fatsat (CHESS) | ー | CS 8.5 | 有 | 1 | cartesian |
| DWI | EPI | 2:24 | 60 | 呼吸 同期 | 90 | fat-sat (CHESS) | 29 | GRAPPA 2 | 無 | 4 | cartesian |
| T2WI | TSE | 19.2 | 75 | 1900 | 180 | ー | 16 | GRAPPA 3 | 有 | 1 | cartesian |
| HBP | flash | 20.0 | 1.32 | 2.75 | 10 | Q-fatsat (CHESS) | ー | GRAPPA 4 | 有 | 1 | cartesian |
表は横スクロールでご覧いただけます。
| 撮像名 | 面内分解能 (mm) | Slice厚 (mm) | FOV (mm) | Rectangular FOV(%) | 位相方向 (step数) | リード方向 (matrix数) | 実scan% | Slice Gap (mm) | Slice 枚数 | 3D partition (数) | 3D実ス キャン (%) | 3D over sampling (%) |
| Dual echo | 1.45×1.09 (0.5×0.5) | 5.0 | 350 | 81.3 | 195 | 320 | 75 | 0.5 | 30 | ー | ー | ー |
| 造影剤投与 | ||||||||||||
| Dynamic | 1.76×1.36 | 3.0 | 350 | 81.3 | 165 | 256 | 80 | ー | 60 | 1 | 2 | 20 |
| DWI | 1.80×1.36 | 5.0 | 350 | 81.3 | 160 | 256 | 76 | 0.5 | 30 | ー | ー | ー |
| T2WI | 1.45×1.09 (0.5×0.5) | 5.0 | 351 | 81.3 | 195 | 320 | 75 | 0.5 | 30 | ー | ー | ー |
| HBP | 1.36×1.36 | 2.0 | 352 | 81.3 | 208 | 256 | 100 | ー | 80 | 1 | 2 | 10 |
使用装置と造影条件
| SIE | MAGNETOM Area 1.5T (SIEMENS) |
|---|---|
| 自動注入器 | ソニックショット (根本杏林堂) |
| ワークステーション | ー |
表は横スクロールでご覧いただけます。
| 造影条件 | 投与量(mL) | 投与速度(mL/sec) | 撮像タイミング | |
| EOB・プリモビスト | 5.3 | 1.0 | Care Bolus torigger 30sec | |
| 後押し用 生理食塩水 | 40 | 1.0 |
本症例におけるEOB・プリモビスト造影MRIの役割について
C型肝炎でフォロー中に出現した肝腫瘤について、前医CTではiCCが疑われたが、EOB-MRIにてNecrotic HCCが疑われた。肝切除を施行し、病理学的にもNecrotic HCCが証明された。EOB-MRIは,肝腫瘍の質的診断において有用であることが、あらためて確認された。