症例・導⼊事例
はじめに
症例背景
60歳代、男性、57kg、肝細胞癌
検査目的
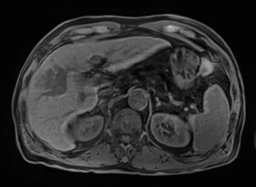
前医よりB型慢性肝炎に対して核酸アナログ投与し定期フォローを継続されていた.AFP上昇,腹部USでの画像異常を指摘され精査加療目的に当院紹介受診となり,EOB-MRIを施行した.
使用造影剤
EOB・プリモビスト注 0.1mL/kg
症例解説
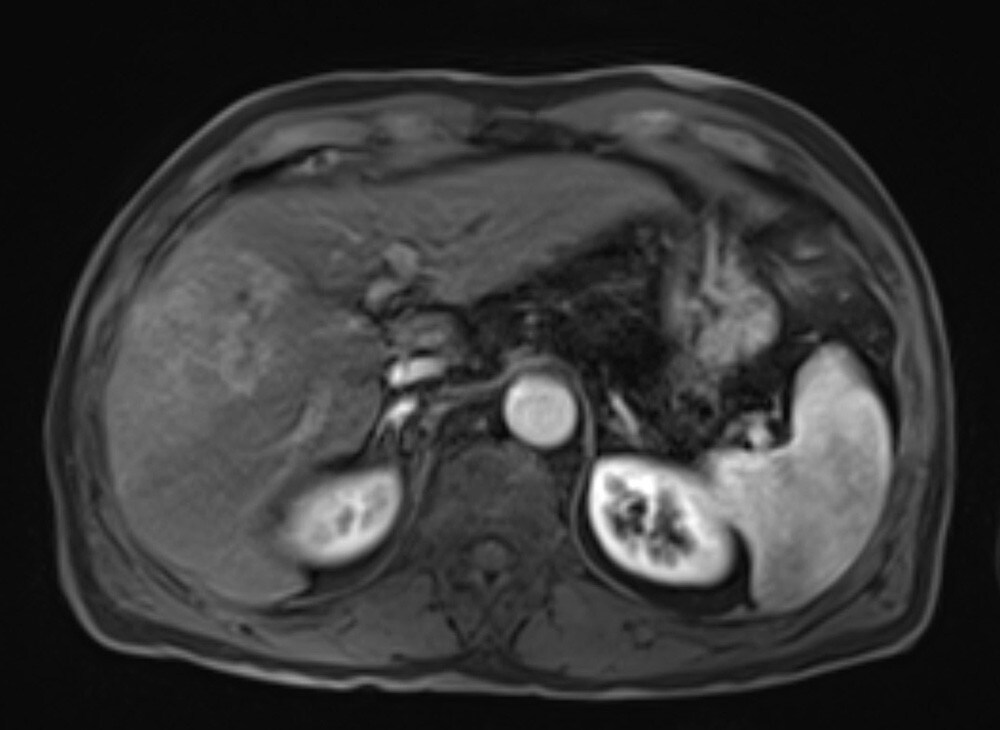
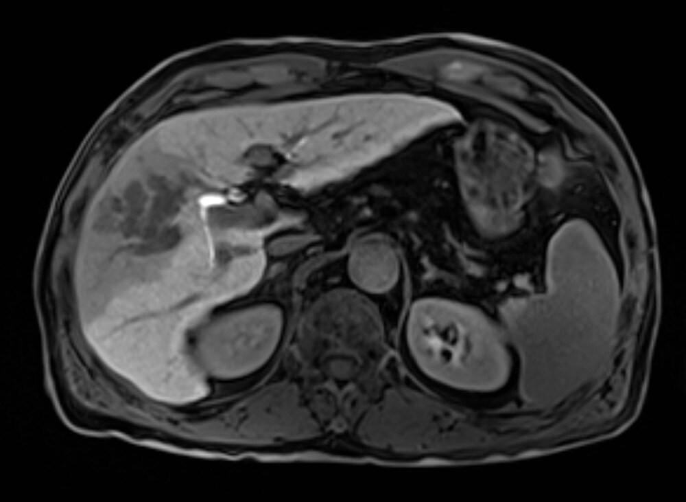
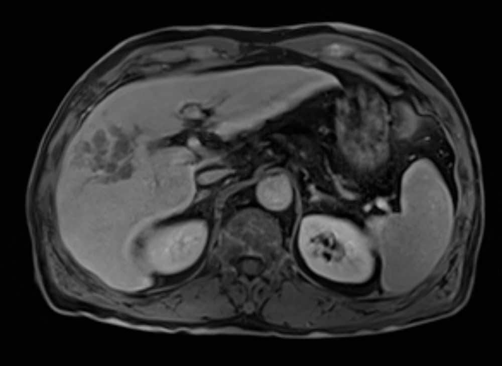
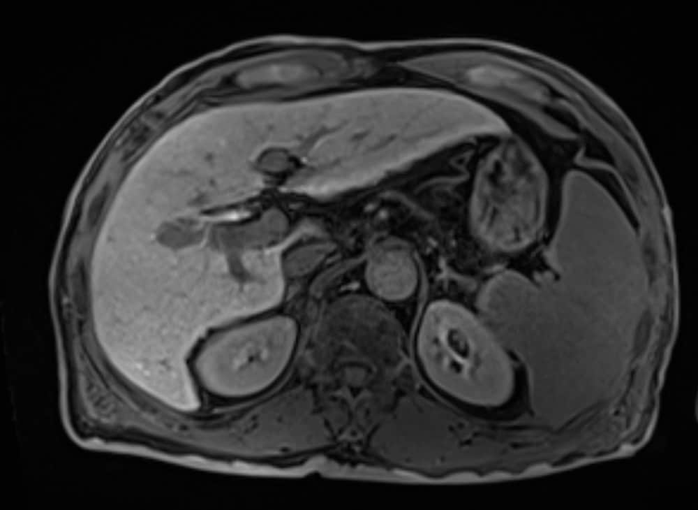
EOB-MRIの結果から門脈本幹までの腫瘍栓を伴う肝細胞癌と診断した.EOB-MRI肝細胞相で不均一高信号を呈する病変ではなく,均一低信号を呈しており複合免疫療法が奏効する可能性があると考えられた.Vp4の門脈腫瘍栓を伴う切除不能進行肝癌に対し複合免疫療法(Atezolizumab/Bevacizumab併用療法)を開始した.4コース終了後には門脈腫瘍栓一部残存を認めるも肝腫瘤は著明に縮小し,5コース終了後に根治切除術(肝右葉切除術+門脈血栓除去術)を施行した.術後は薬物療法の再開なく現在までの約14ヶ月無再発で経過観察継続中である.
撮影プロトコル
表は横スクロールでご覧いただけます。
| 撮像名 | 撮像シーケンス | 撮像時間 (sec) | TE (msec) | TR (msec) | FA (deg) | Flipback (有無) | Fat Sat (種類) | ETL (数) | P-MRI (Reduction Factor) |
| 冠状断T2WI | HASTE | 17 | 80.00 | 728.0 | 120 | 無 | ー | ー | GRAPPA 3 |
| DualEcho | FLASH(3D-VIBE) | 18 | 1.38 2.46 | 4.2 | 10 | ー | ー | ー | CAIPIRINHA3 (p1s3) |
| 造影剤投与 | |||||||||
| Dynamic (artery) | FLASH(3D-VIBE) | 10 | 1.00 | 2.8 | 9 | ー | Fast Fat Ssturation | ー | CAIPIRINHA3 (p1s3) |
| Dynamic (venous) | FLASH(3D-VIBE) | 16 | 1.09 | 3.1 | 10 | ー | Fast Fat Ssturation | ー | CAIPIRINHA3 (p1s3) |
| T2WI | HASTE | 18 | 96.00 | 700.0 | 120 | 無 | ー | ー | GRAPPA 2 |
| 脂肪抑制T2WI | TSE | 15 x 2 | 76.00 | 3000.0 | 120 | 無 | SPAIR | 21 | GRAPPA 3 |
| DWI | EPI | 横隔膜同期 | 52.00 | 2500.0 | ー | ー | SPAIR | ー | GRAPPA 2 |
| 肝細胞相 | FLASH(3D-VIBE) | 18 | 1.19 | 3.2 | 10 | ー | Fast Fat Ssturation | ー | CAIPIRINHA3 (p1s3) |
| 冠状断肝細胞相 | FLASH(3D-VIBE) | 18 | 1.13 | 3.0 | 10 | ー | Fast Fat Ssturation | ー | GRAPPA 4 (p4) |
| 矢状断肝細胞相 | FLASH(3D-VIBE) | 17 | 1.13 | 3.0 | 10 | ー | Fast Fat Ssturation | ー | CAIPIRINHA3 (p1s3) |
表は横スクロールでご覧いただけます。
| 撮像名 | 息止め (有無) | NEX (加算回数) | k-space | 面内分解能 (mm) | Slice厚 (mm) | FOV (mm) | Rectangular FOV(%) | 位相方向 (step数) |
| 冠状断T2WI | 有 | 1 | Linear | 0.94 x 0.94 | 6.0 | 360 | 75.0 | 288 |
| DualEcho | 有 | 1 | Linear | 1.13 x 1.13 | 3.0 | 360 | 75.0 | 168 |
| 造影剤投与 | ||||||||
| Dynamic (artery) | 有 | 1 | Centric | 1.25 x 1.25 | 3.0 | 360 | 75.0 | 162 |
| Dynamic (venous) | 有 | 1 | Centric | 1.13 x 1.13 | 3.0 | 360 | 75.0 | 180 |
| T2WI | 有 | 1 | Linear | 0.94 x 0.94 | 6.0 | 360 | 75.0 | 173 |
| 脂肪抑制T2WI | 有 | 1 | Linear | 1.13 x 1.13 | 6.0 | 360 | 75.0 | 195 |
| DWI | 無 | 4 | Linear | 2.43 x 2.43 | 6.0 | 360 | 75.0 | 78 |
| 肝細胞相 | 有 | 1 | Centric | 1.13 x 1.13 | 2.0 | 360 | 75.0 | 168 |
| 冠状断肝細胞相 | 有 | 1 | Linear | 1.13 x 1.13 | 3.0 | 360 | 75.0 | 240 |
| 矢状断肝細胞相 | 有 | 1 | Centric | 1.13 x 1.13 | 3.0 | 360 | 75.0 | 168 |
表は横スクロールでご覧いただけます。
| 撮像名 | リード方向 (matrix数) | 実scan (%) | Slice Gap (mm) | Slice 枚数 | 3D partition (数) | 3D実スキャン (%) | 3D over sampling(%) |
| 冠状断T2WI | 384 | 75 | 1.5 | 23 | ー | ー | ー |
| DualEcho | 320 | 70 | ー | ー | 80 | 60 | 20.0 |
| 造影剤投与 | |||||||
| Dynamic (artery) | 288 | 75 | ー | ー | 80 | 50 | 20.0 |
| Dynamic (venous) | 320 | 75 | ー | ー | 80 | 60 | 20.0 |
| T2WI | 384 | 60 | 1.8 | 26 | ー | ー | ー |
| 脂肪抑制T2WI | 320 | 81 | 1.8 | 26 | ー | ー | ー |
| DWI | 148 | 70 | 1.8 | 26 | ー | ー | ー |
| 肝細胞相 | 320 | 70 | ー | ー | 120 | 50 | 33.3 |
| 冠状断肝細胞相 | 320 | 75 | ー | ー | 72 | 65 | 11.1 |
| 矢状断肝細胞相 | 320 | 70 | ー | ー | 104 | 64 | 23.1 |
使用装置と造影条件
| MRI装置 | SIEMENS MAGNETOM Vida |
|---|---|
| 自動注入器 | 根本杏林堂 ソニックショット7 |
| ワークステーション | FUJIFILM SYNAPSE VINCENT |
表は横スクロールでご覧いただけます。
| 造影条件 | 投与量(mL) | 投与速度(mL/sec) | 撮像タイミング | |
| EOB・プリモビスト | 5.7 | 1.5 | Bolus Tracking詳細は備考欄 | |
| 後押し用 生理食塩水 | 20 | 1.5 |
Dynamicは冠状断Care Bolusシーケンスを撮像開始し、続いて造影剤の注入を開始。リアルタイムでモニタリングし、造影剤が肺動脈へ到達してから約7秒後よりarterial phase(1回の息止め中に10秒×2相連続)を撮像、引き続きvenous phase(arterial phaseが終了した直後、60秒後、120秒後の3相)を撮像。肝細胞相は造影剤注入から20分後以降に撮像。
本症例におけるEOB・プリモビスト造影MRIの役割について
EOB-MRIで門脈腫瘍栓を伴う肝細胞癌であること,不均一高信号を呈する病変で無いことを確認し複合免疫療法(Atezolizumab/Bevacizumab併用療法)を開始した.EOB-MRI肝細胞相は肝細胞癌におけるWnt/βカテニン変異のイメージングバイオマーカーとなることが知られており(Ueno A et al. J Hepatol 61:1080-1087,2014),不均一高信号な病変は複合免疫療法の治療効果が乏しい可能性が指摘されている(Sasaki et al. Cancers,14,827,2022).必ずしも治療奏効を保障するものでは無いが,本症例では肝細胞相で均一低信号を呈しており,複合免疫療法の治療効果が期待される症例であった.
EOB・プリモビスト®注シリンジの効能又は効果は以下の通りであり、薬剤の治療効果を予測する適応はありません。
- 【電子添文より抜粋】
4.効能又は効果
磁気共鳴コンピューター断層撮影における肝腫瘍の造影