症例・導⼊事例

※ご紹介する症例は臨床症例の一部を紹介したもので、全ての症例が同様な結果を示すわけではありません。

非多血性病変の経過観察

施設名: 岩手医科大学
執筆者: 放射線医学講座 田村 明生 先生 / 中央放射線部 阿部 俊 先生
作成年月:2022年6月

※ 効能又は効果、用法及び用量、警告・禁忌を含む注意事項等情報等については、電子添文をご参照ください。

はじめに

症例背景

60歳代、女性、77kg、NAFLD、肝細胞癌

検査目的

肝細胞癌(S8)の術前EOB-MRIにて肝S4に肝細胞相で低信号を示す結節が見られた。肝S8の部分切除が施行され、以降経過観察目的にEOB-MRIが定期的に撮像されている。

使用造影剤

EOB・プリモビスト注 0.1mL/kg

症例解説

経過中に肝S4病変は増大し、26ヶ月後のMRIでは門脈相でのwashoutが出現したが、早期相での濃染は見られなかった。46ヶ月後には早期相での濃染が出現し、T2WIでも淡い高信号病変として認識された。確定的なHCCの所見としてRFAが施行された。なお、経過観察中に肝内に同様の非多血性病変や、典型的な早期濃染を伴う病変が複数出現した。

画像所見

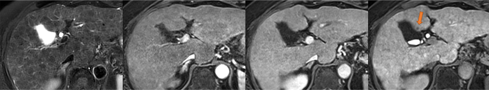
図1.初診時EOB-MRI画像(左から脂肪抑制T2強調画像、動脈相、門脈相、肝細胞相)
肝細胞相で肝S4に小径の低信号結節が見られる(矢印)。早期濃染やwashoutは見られず、T2WIでの所見も明瞭ではない。背景には再生結節が散見される。

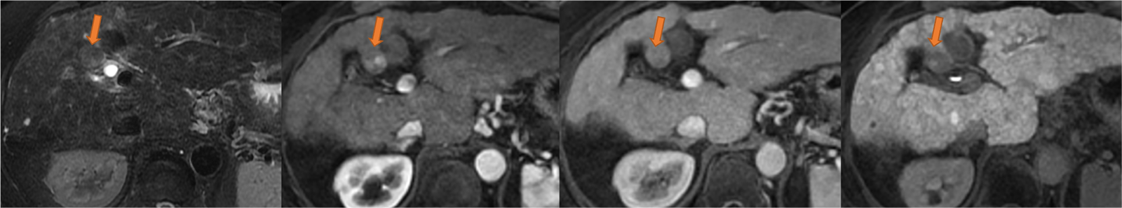
図2.26ヶ月後のEOB-MRI画像(左から脂肪抑制T2強調画像、動脈相、門脈相、肝細胞相)
S4病変には増大が見られ、門脈相でのwashoutが観察されるようになっている(矢印)。早期濃染は明らかではなく、T2WIでも周囲肝実質と等信号を示す。同じくS4に肝細胞相で低信号を示し、早期濃染を伴う病変が出現している(矢頭)。

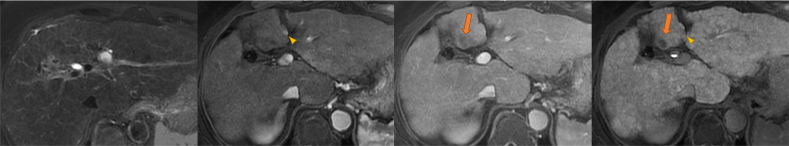
図3.46ヶ月後のEOB-MRI画像(左から脂肪抑制T2強調画像、動脈相、門脈相、肝細胞相)
S4病変は膨張性増大とともに、内部にnodule-in-nodule様の早期濃染やT2WIで高信号域が観察される(矢印)。

撮像プロトコル

表は横スクロールでご覧いただけます。

撮像名撮像シーケンス撮像時間
(min:sec)
TE
(msec)
TR
(msec)
FA
(deg)
Fat Sat
(種類)
ETL
(数)
P-MRI
(Reduction 
Factor)
息止め
(有無)
Dual echo

3D-GRE(LAVA)

20

Minimum
(1.1 2.2)

5.0

60

2.0

 造影剤投与
Dynamic

3D-GRE(LAVA)

20

2.0

4.6

12

Chem SAT
(Special)

2.0

DWI

EPI

1:48

Minimum
(74.6)

effective TR
(4000~7000)

Chem SAT
(Special)

2.0

T2WI

PROPELLER

3:28

91.7

effective TR
(4000~7000)

140

Chem SAT
(Fat)

28

肝細胞造影相

3D-GRE(LAVA)

18

1.9

4.1

12

Chem SAT
(Special)

2.0

肝細胞造影相
Cor

3D-GRE(LAVA)

18

1.9

4.1

12

Chem SAT
(Special)

2.0

表は横スクロールでご覧いただけます。

撮像名NEX
(加算回数)
k-space面内分解能
(mm)
Slice厚
(mm)
FOV
(mm)
Rectangular
FOV(%)
位相方向
(step数)
リード方向
(matrix数)
Slice Gap
(mm)
Slice
枚数
Dual echo

1.0

sequential

1.3×1.5

4.0

380

80

256

288

2.0

50

 造影剤投与
Dynamic

1.0

sequential

1.3×1.5

4.0

380

80

256

288

50(ZIP使用)

DWI

2.0

sequential

2.7×2.4

8.0

380

100

160

140

2.0

20

T2WI

1.0

radial

1.3×1.3

8.0

380

288

288

2.0

20

肝細胞造影相

1.0

sequential

1.3×1.5

4.0

380

80

256

288

50(ZIP使用)

肝細胞造影相
Cor

1.0

sequential

1.3×1.5

4.0

380

80

256

288

50(ZIP使用)

使用装置と造影条件

MRI装置Signa Architect
自動注入器Sonic Shot 7
ワークステーション

表は横スクロールでご覧いただけます。

造影条件
 
投与量投与速度撮像タイミング
EOB・プリモビスト0.1mL/kg10秒注入左心室に造影剤が到達したときにスタート(約30秒、約70秒、約135秒)
後押し用
生理食塩水
30mL造影剤と同じ速度

本症例におけるEOB・プリモビスト造影MRIの役割について

EOB-MRIにおいて早期濃染を伴わず肝細胞相で低信号を示す病変には進行肝癌、早期肝癌、高度異型結節、軽度異型結節、再生結節が含まれるとされる1) 。非多血性病変の多くは年次的に多血化していくことも知られており、EOB-MRIはこの過程を捉えることが可能なモダリティである2) 。また、非多血性病変に対してどの時点から治療介入すべきかは施設によって様々と思われるが、少なくとも経過観察中に明らかに治療対象となる肝細胞癌の出現を検出する上でEOB-MRIは必要不可欠と考えられる。

  1. Joo I, et al. Radiologic-Pathologic Correlation of Hepatobiliary Phase Hypointense Nodules without Arterial Phase Hyperenhancement at Gadoxetic Acid-enhanced MRI: A Multicenter Study. Radiology. 2020 Aug;296(2):335-345.
  2. Suh CH, et al. Hypervascular Transformation of Hypovascular Hypointense Nodules in the Hepatobiliary Phase of Gadoxetic Acid-Enhanced MRI: A Systematic Review and Meta-Analysis. AJR Am J Roentgenol. 2017 Oct;209(4):781-789.

使用上の注意【電子添文より抜粋】

  • 9.特定の背景を有する患者に関する注意
  • 9.8 高齢者
    患者の状態を観察しながら使用量を必要最小限にするなど慎重に投与すること。本剤は主として、腎臓から排泄されるが、高齢者では腎機能が低下していることが多いため、高い血中濃度が持続するおそれがある。[8.6、9.2.1、9.2.2 参照]