症例・導⼊事例

※ご紹介する症例は臨床症例の一部を紹介したもので、全ての症例が同様な結果を示すわけではありません。

S状結腸癌、異時性肝転移診断における EOB-MRI の役割

施設名: 帝京大学医学部附属溝口病院
執筆者: 放射線科 東田 智彦 先生
作成年月:2022年5月

※ 効能又は効果、用法及び用量、警告・禁忌を含む注意事項等情報等については、電子添文をご参照ください。

はじめに

症例背景

70歳代、男性、70kg、S状結腸癌、異時性肝転移診断

検査目的

血便を主訴に来院。CTおよび内視鏡でS状結腸癌と診断、切除術が施行された。術後化学療法としてTS-1開始されたが、下痢のため1クールのみで中止。その後CTで経過観察となり、明らかな再発は指摘されていなかったが、術後1年のPET-CTで肝臓に軽度の集積部位が散在していたため、EOB-MRIが施行された。

使用造影剤

EOB・プリモビスト注 0.1mL/kg

症例解説

肝左葉転移と診断され、化学療法としてFOLFOX 2クール施行。その後FOLFOX+Bmabが開始された。9クール終了後、肝転移の増大は認めなかったが、発熱、SpO2低下で入院。薬剤性間質性肺炎の診断で3日間のソル・メドロールのパルス療法を行い、プレドニンでテーパリングし、退院となった。その後、化学療法は行わず経過観察となっているが、肝転移のサイズは著明な変化を認めていない。

画像所見

図1.単純脂肪抑制T2WI
肝S2に8mm大の軽度T2WI高信号結節を認める。肝右葉に小さな血管腫疑いあり。

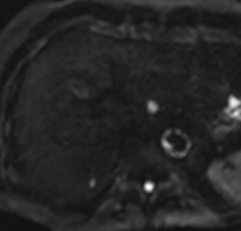
図2.DWI
肝S2結節に著明なDWI高信号域を認める。

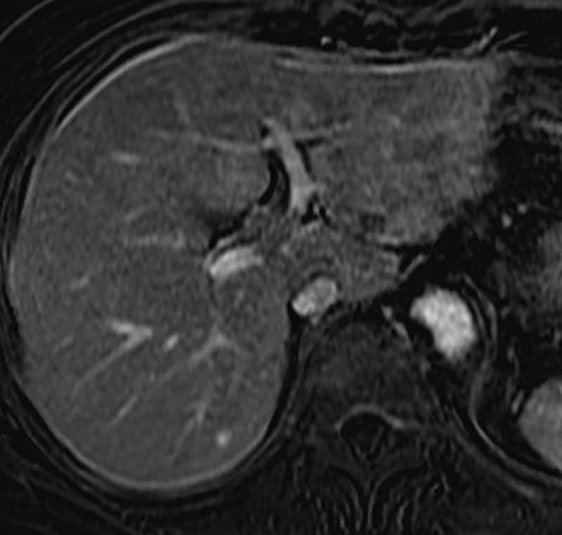
図3.造影T1WI後期相
肝S2結節は早期から後期相にかけて増強効果は乏しい。

図4.造影T1WI肝細胞相
肝S2結節に明瞭なEOB取り込み低下を認める。

撮影プロトコル

表は横スクロールでご覧いただけます。

撮像名撮像シーケンス撮像時間
(min:sec)
TE
(msec)
TR
(msec)
FA
(deg)
Flipback
(有無)
Fat Sat
(種類)
ETL
(数)
P-MRI
(Reduction 
Factor)
息止め
(有無)
Dual echo

FSPGR

16sec

1.1
2.3

5.3

12

Phase 1.75
Slice 1.0

造影剤投与
Dynamic

LAVA-Flex

14sec

1.7

5.6

15

SPECIAL

Phase 2.0
Slice 1.5

DWI

SE/EPI

3:54

68

8000

SPECIAL

Phase 2.0
Slice 1.0

T2WI

FR-PROPELLER

3:20

57,4

8000

90

CHESS

20

Phase 2.0
Slice 1.0

HBP

LAVA-Flex

12sec

1.7

5.6

15

SPECIAL

Phase 2.0
Slice 1.5

表は横スクロールでご覧いただけます。

撮像名NEX
(加算回数)
NEX
(加算回数)
面内分解能
(mm)
Slice厚
(mm)
FOV
(mm)
Rectangu-lar
FOV(%)
位相方向
(step数)
リード方向
(matrix数)
Slice Gap
(mm)
Slice
枚数
3D partition
(数)
Dual echo

1.2*1.8

5.0

360

80

292

200

76*2

1

造影剤投与
Dynamic

Sequential

1.1*1.9

4.0

360

80

320

192

104

4

DWI

3.1*3.1

5.0

420

100

128

128

0.5

72

T2WI

24

0.9*0.9

5.0

360

100

384

384

0.5

36

HBP

Sequential

1.1*1.9

4.0

360

80

320

192

104

1

使用装置と造影条件

MRI装置DISCOVERY MR750w 3.0T
自動注入器ソニックショット7
ワークステーションAW VolumeShare7

表は横スクロールでご覧いただけます。

造影条件 投与量 (mL)投与速度 (mL/sec)撮像タイミング
(造影剤注入後/sec)
EOB・プリモビスト73.035
70
110
後押し用
生理食塩水
402

本症例におけるEOB・プリモビスト造影MRIの役割について

CTでは指摘困難かつ、PET-CTで軽度集積を認めるのみの肝転移病変に対して、EOB-MRIでは拡散低下とともに肝細胞造影相において明瞭なEOB取り込み低下を認め、化学療法再開に繋がった。PET-CTでは肝臓の生理的集積により判断が難しい病変においても、当症例において EOB-MRI は肝転移病変を鋭敏に検出することができたため、肝転移の確定診断に有用であった。

使用上の注意【電子添文より抜粋】

  • 9.特定の背景を有する患者に関する注意

    9.8 高齢者
    患者の状態を十分に観察しながら慎重に投与すること。一般に生理機能が低下している。