症例・導⼊事例
※ご紹介する症例は臨床症例の一部を紹介したもので、全ての症例が同様な結果を示すわけではありません。
膀胱癌術後の尿道断端再発の診断にガドビスト造影MRIが有用であった1例
施設名: 埼玉医科大学病院
執筆者: 放射線科 原 佑樹 先生、小澤 栄人 先生、工藤 いづみ 先生
作成年月:2022年1月
※ 効能又は効果、用法及び用量、警告・禁忌を含む注意事項等情報等については、電子添文をご参照ください。
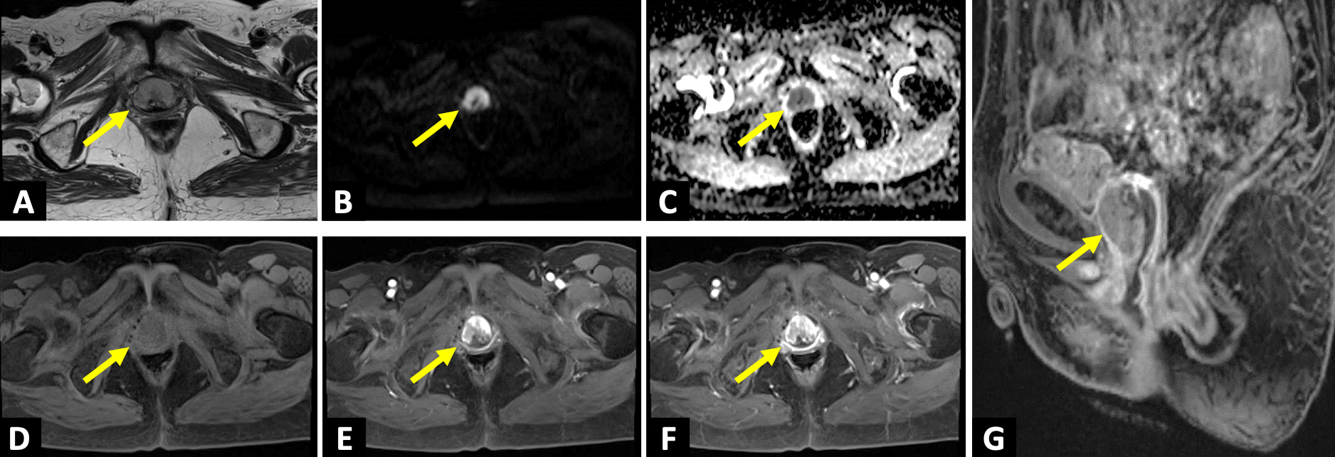
ガドビストを用いたMRI検査の方法
撮像パラメータ
表は横スクロールでご覧いただけます。
| 撮像名 | 撮像 シーケンス | 撮像時間 | TE (msec) | TR (msec) | FA (deg) | Fat Sat (種類) | ETL(数) | P-MRI (Reduction Factor) | NEX (加算回数) | k-space |
|---|---|---|---|---|---|---|---|---|---|---|
| T2WI | TSE | 2 min 50s | 99 | 4000 | 150 | ー | 15 | GRAPPA 2 | 2 | cartesian |
| DWI | EPI | 3 min 2s | 68 | 650 | ー | SPAIR strong | 1 | GRAPPA 2 | ー | ー |
| Dynamic | VIBE | 1 min 22s | 1.54 | 4.2 | 15 | Fast Fat Sat- uration | ー | ー | 1 | cartesian |
表は横スクロールでご覧いただけます。
| 撮像名 | 面内分解能 (mm) | Slice厚 (mm) | FOV (mm) | 位相方向 (step数) | リード方向 (matrix数) | Slice Gap (mm) | Slice 枚数 | 3D partition (数) | 3D実スキャン (%) | 3D over sampling (%) |
|---|---|---|---|---|---|---|---|---|---|---|
| T2WI | 0.6×0.6×3.0 | 3 | 200 | 224 | 320 | 0.6 | 29 | 29 | 67 | 30 |
| DWI | 1.2×1.2×3.0 | 3 | 300 | 89.6 | 128 | 0.6 | 29 | 29 | ー | 0 |
| Dynamic | 0.9×0.9×3.6 | 3.6 | 280 | 160.8 | 320 | 0.72 | 28 | 28 | ー | 7.1 |
使用装置と造影条件
| MRI装置 | MAGNETOM Skyra |
|---|---|
| 自動注入器 | ソニックショットGX |
| ワークステーション | ー |
表は横スクロールでご覧いただけます。
| 造影条件 | 投与量 | 投与速度 | 撮像タイミング | |
| ガドビスト | 5.2mL | 1mL/sec | テストボーラス | |
| 後押し用 生理食塩水 | 20mL | 2mL/sec |
症例
症例背景と造影MRI検査の目的
70歳代、女性、体重52kg、膀胱癌の尿道再発
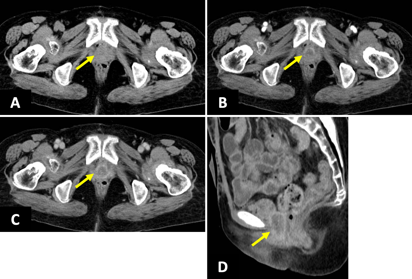
膀胱上皮内癌に対し膀胱全摘+回腸導管造設後。術後2年目に残存尿道から出血が出現したため造影CTを施行。尿道再発を疑う所見を認め、さらなる精査目的でガドビスト造影MRIを施行した。
症例解説
臨床および画像所見から、膀胱癌の尿道再発の術前診断のもと腫瘍切除が施行された。病理診断では、神経内分泌分化を伴う尿路上皮癌との結果であり、膀胱癌再発として矛盾しなかった。
本症例におけるガドビスト造影MRIの役割について
本例では残存尿道に比較的粗大な腫瘤が形成されていたものの、CTでは若干所見が不明瞭であった。しかし、MRIを追加で撮像したことで病変を容易に検出することができた。骨盤内には複数の臓器が隣接して存在しているため、MRIの高いコントラスト分解能が診断に有用であった。なお、当施設には尿道専用のプロトコルが無かったため、今回の症例では前立腺のプロトコルを転用して撮像している。
使用上の注意【電子添文より抜粋】
9.特定の背景を有する患者に関する注意
9.8 高齢者
患者の状態を十分に観察しながら慎重に投与すること。一般に生理機能が低下している。